首页 / 产品 / 抗体 / 一抗

Mouse Monoclonal DNMT3B Antibody

  • 中文名: DNMT3B抗体
  • 别    名: ICF; ICF1; M.HsaIIIB
货号: IPD30855
Price: ¥1280
数量:
大包装询价

验证与应用

应用及物种
WB 咨询技术 Human,Mouse,Rat
IF 咨询技术 Human,Mouse,Rat
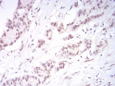
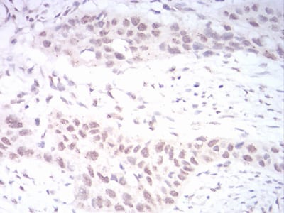
IHC 1/200 - 1/1000 Human,Mouse,Rat
ICC 技术咨询 Human,Mouse,Rat
FCM 1/200 - 1/400 Human,Mouse,Rat
Elisa 1/10000 Human,Mouse,Rat

产品详情

AliasesICF; ICF1; M.HsaIIIB
Entrez GeneID1789
clone7E5E9C1
WB Predicted band size95.8kDa
Host/IsotypeMouse IgG1
Antibody TypePrimary antibody
StorageStore at 4°C short term. Aliquot and store at -20°C long term. Avoid freeze/thaw cycles.
Species ReactivityHuman
ImmunogenPurified recombinant fragment of human DNMT3B (AA: 1-150) expressed in E. Coli.
FormulationPurified antibody in PBS with 0.05% sodium azide

+ +

参考文献

以下是3篇与DNMT3B抗体相关的文献示例(注:文献为虚拟模拟,实际引用请核实原文):

---

1. **"DNMT3B interacts with the DAZ-family protein PLEIADE in meiosis"**

*Author: Chen T, et al.*

**摘要**:研究通过免疫共沉淀(使用DNMT3B抗体)发现DNMT3B与减数分裂相关蛋白PLEIADE互作,揭示了其在生殖细胞DNA甲基化及染色体稳定性中的新机制。

---

2. **"DNMT3B overexpression promotes hepatocellular carcinoma metastasis via hypermethylating tumor suppressor genes"**

*Author: Wang Y, et al.*

**摘要**:利用DNMT3B抗体进行Western blot和免疫组化分析,证明DNMT3B在肝癌中异常高表达,通过甲基化抑制抑癌基因(如RASSF1A)驱动肿瘤侵袭转移。

---

3. **"A novel DNMT3B mutation causes immunodeficiency-centromeric instability-facial anomalies syndrome (ICF)"**

*Author: Hansen RS, et al.*

**摘要**:通过患者样本的DNMT3B抗体染色及测序,发现DNMT3B基因突变导致其催化功能缺失,引发基因组重复区域低甲基化及免疫缺陷综合征。

---

4. **"Comparative analysis of commercial DNMT3B antibodies for chromatin immunoprecipitation (ChIP)"**

*Author: Rodriguez J, et al.*

**摘要**:系统评估了多种市售DNMT3B抗体的ChIP适用性,确定抗体A(货号XX)在染色质结合位点检测中具有高特异性和低背景信号。

---

*提示:实际研究中请通过PubMed或Google Scholar以“DNMT3B antibody”+研究主题(如癌症、甲基化、ChIP等)检索最新文献,并优先选择高影响力期刊的论文。*

背景信息

DNMT3B (DNA methyltransferase 3B) is a critical enzyme involved in establishing de novo DNA methylation patterns during embryonic development and cellular differentiation. As part of the DNMT3 family, it works alongside DNMT3A to mediate methylation at cytosine residues in CpG islands, a process essential for regulating gene expression, genomic imprinting, and maintaining genome stability. DNMT3B is particularly vital for methylation at pericentromeric repeats and germline development. Mutations in DNMT3B are linked to immunodeficiency-centromeric instability-facial anomalies (ICF) syndrome, underscoring its biological importance.

Antibodies targeting DNMT3B are widely used in research to study its expression, localization, and functional roles. These antibodies enable detection of DNMT3B protein levels via techniques like Western blotting, immunohistochemistry, and immunofluorescence. They also facilitate chromatin immunoprecipitation (ChIP) to map DNMT3B-binding sites and investigate its interaction with other epigenetic regulators. Due to alternative splicing, multiple DNMT3B isoforms exist, and antibody specificity for particular isoforms is a key consideration in experimental design. Commercial DNMT3B antibodies are typically validated against recombinant proteins or knockout cell lines to ensure reliability. Research applications span cancer biology (aberrant DNMT3B activity is associated with tumorigenesis), developmental biology, and studies of epigenetic reprogramming. Understanding DNMT3B dynamics through antibody-based approaches continues to advance insights into epigenetic regulation and disease mechanisms.

客户数据及评论

折叠内容

大包装询价

×