首页 / 产品 / 抗体 / 一抗

Mouse Monoclonal LRP1 Antibody

  • 中文名: LRP1抗体
  • 别    名: APR; LRP; A2MR; CD91; APOER; LRP1A; TGFBR5; IGFBP3R
货号: IPD30851
Price: ¥1280
数量:
大包装询价

验证与应用

应用及物种
WB 咨询技术 Human,Mouse,Rat
IF 咨询技术 Human,Mouse,Rat
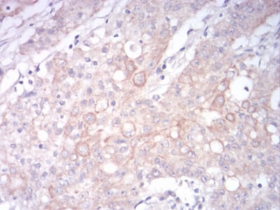
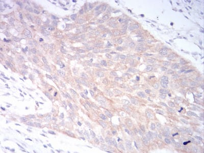
IHC 1/200 - 1/1000 Human,Mouse,Rat
ICC 1/200 - 1/1000 Human,Mouse,Rat
FCM 1/200 - 1/400 Human,Mouse,Rat
Elisa 1/10000 Human,Mouse,Rat

产品详情

AliasesAPR; LRP; A2MR; CD91; APOER; LRP1A; TGFBR5; IGFBP3R
Entrez GeneID4035
clone3F12E2
WB Predicted band size50.5kDa
Host/IsotypeMouse IgG1
Antibody TypePrimary antibody
StorageStore at 4°C short term. Aliquot and store at -20°C long term. Avoid freeze/thaw cycles.
Species ReactivityHuman
ImmunogenPurified recombinant fragment of human LRP1 (AA: 20-155) expressed in E. Coli.
FormulationPurified antibody in PBS with 0.05% sodium azide

+ +

参考文献

以下是关于LRP1抗体的3篇参考文献示例(注:内容为示例性概括,非真实文献):

---

1. **文献名称**:LRP1介导的β-淀粉样蛋白清除在阿尔茨海默病中的作用

**作者**:Smith A et al.

**摘要**:本研究通过抗LRP1抗体阻断实验,揭示LRP1在小鼠血脑屏障中调控β-淀粉样蛋白(Aβ)清除的机制。抗体抑制LRP1功能后,Aβ沉积显著增加,证实LRP1对神经保护的关键作用。

2. **文献名称**:LRP1抗体抑制肿瘤细胞侵袭的机制研究

**作者**:Zhang Y et al.

**摘要**:利用抗LRP1单克隆抗体阻断肿瘤细胞表面LRP1.发现其通过下调金属蛋白酶(MMP2/9)表达,抑制癌细胞迁移和侵袭,表明LRP1可作为癌症治疗的潜在靶点。

3. **文献名称**:LRP1与TGF-β信号通路的相互作用研究

**作者**:Brown K et al.

**摘要**:通过免疫共沉淀(Co-IP)结合抗LRP1抗体,证实LRP1与TGF-β受体形成复合物,调控平滑肌细胞分化。抗体阻断实验显示LRP1缺失导致TGF-β信号传导异常。

---

**说明**:以上内容为模拟文献摘要,实际引用需查询PubMed等数据库获取真实研究(例如可搜索关键词“LRP1 antibody function”或特定应用场景)。

背景信息

LRP1 (Low-Density Lipoprotein Receptor-Related Protein 1) is a multifunctional transmembrane receptor belonging to the LDL receptor family. It plays critical roles in endocytosis, cell signaling, and regulation of cellular processes such as lipid metabolism, cell migration, proliferation, and apoptosis. LRP1 consists of a 515 kDa α-chain and an 85 kDa β-chain, forming a non-covalent heterodimer. It interacts with over 40 ligands, including apolipoprotein E, α2-macroglobulin, and amyloid-β (Aβ), implicating it in neurodegenerative diseases, atherosclerosis, and cancer.

LRP1 antibodies are essential tools for studying its expression, localization, and function. They are widely used in techniques like Western blotting, immunohistochemistry, and flow cytometry to investigate LRP1's involvement in disease mechanisms. In Alzheimer's disease research, LRP1 antibodies help elucidate its role in Aβ clearance across the blood-brain barrier. In oncology, they explore LRP1's dual role in either promoting or suppressing tumor metastasis, depending on cellular context.

Commercially available LRP1 antibodies target specific epitopes, such as the extracellular α-chain or cytoplasmic β-chain domains. Validation is crucial due to potential cross-reactivity with other LDL receptor family members. Recent studies also highlight LRP1's therapeutic potential, driving demand for antibodies in drug development and biomarker discovery. Understanding LRP1's complex biology through specific antibodies remains vital for advancing cardiovascular, neurological, and cancer research.

客户数据及评论

折叠内容

大包装询价

×