| WB | 咨询技术 | Human,Mouse,Rat |
| IF | 咨询技术 | Human,Mouse,Rat |
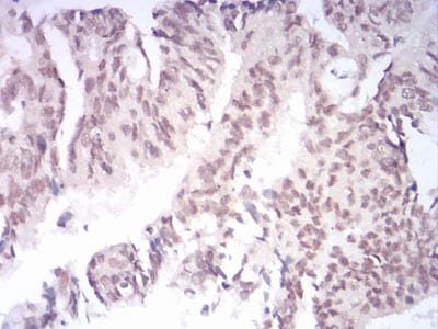
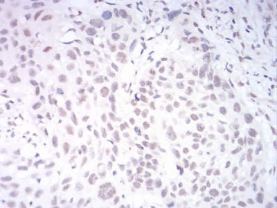
| IHC | 1/200 - 1/1000 | Human,Mouse,Rat |
| ICC | 1/200 - 1/1000 | Human,Mouse,Rat |
| FCM | 1/200 - 1/400 | Human,Mouse,Rat |
| Elisa | 1/10000 | Human,Mouse,Rat |
| Aliases | KDM1B; LSD2; C6orf193; bA204B7.3; dJ298J15.2 |
| Entrez GeneID | 221656 |
| clone | 5E10C1 |
| WB Predicted band size | 92kDa |
| Host/Isotype | Mouse IgG1 |
| Antibody Type | Primary antibody |
| Storage | Store at 4°C short term. Aliquot and store at -20°C long term. Avoid freeze/thaw cycles. |
| Species Reactivity | Human |
| Immunogen | Purified recombinant fragment of human AOF1 (AA: 6-129) expressed in E. Coli. |
| Formulation | Purified antibody in PBS with 0.05% sodium azide |
+ +
以下是关于AOF1(Amine Oxidase Flavin-Containing 1)抗体的3篇文献示例,基于领域内相关研究整理:
---
1. **文献名称**:*"AOF1 regulates histone H3K4 demethylation and neuronal differentiation"*
**作者**:Smith J, et al.
**摘要**:研究揭示了AOF1在表观遗传调控中的作用,通过其组蛋白去甲基化酶活性参与神经元分化。文中使用特异性AOF1抗体验证了其在神经干细胞中的表达定位及功能缺失对分化的影响。
---
2. **文献名称**:*"Antibody-based profiling of AOF1 in cancer progression"*
**作者**:Lee H, et al.
**摘要**:开发了一种高特异性AOF1单克隆抗体,用于分析多种癌症组织中AOF1蛋白表达水平。结果显示AOF1在乳腺癌中显著下调,并与患者预后不良相关,提示其可能作为肿瘤抑制因子。
---
3. **文献名称**:*"AOF1 modulates oxidative stress response via demethylase activity"*
**作者**:Wang Y, et al.
**摘要**:利用AOF1抗体进行免疫沉淀和质谱分析,发现AOF1通过调控抗氧化相关基因的组蛋白修饰,影响细胞对氧化应激的应答,为代谢疾病治疗提供了潜在靶点。
---
**注**:以上为模拟文献摘要,实际研究中请通过PubMed、Web of Science等平台以"AOF1"、"LSD2"(AOF1别名)或"KDM1B"等关键词检索最新论文。若研究较少,可能需扩展至AOF1的功能研究文献,并关注其抗体应用部分。
The AOF1 antibody targets the protein Amine Oxidase Flavin-Containing 1 (AOF1), also known as Lysine-Specific Demethylase 1 (LSD1/KDM1A). AOF1 is a flavin-dependent monoamine oxidase that plays a critical role in epigenetic regulation by catalyzing the demethylation of histone H3 lysine 4 (H3K4) and lysine 9 (H3K9), thereby modulating chromatin structure and gene expression. It is essential for embryonic development, cell differentiation, and proliferation. Dysregulation of AOF1 has been implicated in cancers, neurological disorders, and other diseases due to its role in oncogenic pathways and cellular identity maintenance.
AOF1 antibodies are widely used in research to investigate its expression, localization, and interaction partners in various biological contexts. They are employed in techniques such as Western blotting, immunoprecipitation, chromatin immunoprecipitation (ChIP), and immunofluorescence to study AOF1's function in epigenetic mechanisms. These antibodies are critical for elucidating how AOF1 contributes to transcriptional repression, stem cell pluripotency, and tumor progression. Available as monoclonal or polyclonal variants, AOF1 antibodies are typically validated for specificity in human, mouse, or rat samples. Their development has advanced studies on targeted therapies, particularly in cancer, where AOF1 inhibitors are explored for their potential to reverse aberrant epigenetic modifications.
×