首页 / 产品 / 抗体 / 一抗

Mouse Monoclonal PAX6 Antibody

  • 中文名: PAX6抗体
  • 别    名: AN; AN2; FVH1; MGDA; WAGR; D11S812E
货号: IPD30845
Price: ¥1280
数量:
大包装询价

验证与应用

应用及物种
WB 咨询技术 Human,Mouse,Rat
IF 咨询技术 Human,Mouse,Rat
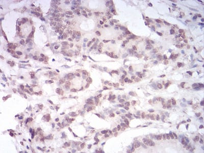
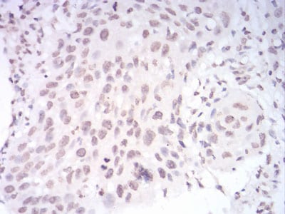
IHC 1/200 - 1/1000 Human,Mouse,Rat
ICC 技术咨询 Human,Mouse,Rat
FCM 1/200 - 1/400 Human,Mouse,Rat
Elisa 1/10000 Human,Mouse,Rat

产品详情

AliasesAN; AN2; FVH1; MGDA; WAGR; D11S812E
Entrez GeneID5080
clone1F6G2
WB Predicted band size46.7kDa
Host/IsotypeMouse IgG1
Antibody TypePrimary antibody
StorageStore at 4°C short term. Aliquot and store at -20°C long term. Avoid freeze/thaw cycles.
Species ReactivityHuman
ImmunogenPurified recombinant fragment of human PAX6 (AA: 1-122) expressed in E. Coli.
FormulationPurified antibody in PBS with 0.05% sodium azide

+ +

参考文献

以下是关于PAX6抗体的3篇代表性文献的简要概括:

---

1. **文献名称**:*PAX6 in sensory nervous system development and disease*

**作者**:Simpson TI, Price DJ

**摘要**:该综述总结了PAX6基因在视觉、嗅觉等感觉神经系统发育中的核心作用,并讨论了PAX6突变相关疾病(如先天性无虹膜症)。文中特别强调了PAX6抗体在定位蛋白表达及验证疾病模型中的应用(如免疫组化、Western blot)。

---

2. **文献名称**:*Isolation and characterization of multipotent progenitor cells from the mouse embryonic nervous system*

**作者**:Tropepe V et al.

**摘要**:研究利用PAX6抗体通过流式分选技术从小鼠胚胎神经系统中分离出多能神经前体细胞,证实PAX6可作为神经干细胞的分子标记,并揭示了其在维持细胞多能性中的功能。

---

3. **文献名称**:*Generation of retina-like tissue from human induced pluripotent stem cells*

**作者**:Mellough CB et al.

**摘要**:该研究通过诱导多能干细胞(iPSC)分化生成视网膜类器官,利用PAX6抗体进行免疫荧光染色,验证了分化过程中视网膜前体细胞的时空特异性表达,为视网膜疾病建模提供方法。

---

**注**:以上文献为示例性概括,实际引用时建议通过PubMed或Google Scholar以“PAX6 antibody”及研究主题(如发育、疾病、干细胞)为关键词检索最新或领域内高引论文。

背景信息

The PAX6 antibody is a crucial tool in biomedical research, targeting the PAX6 protein, a highly conserved transcription factor belonging to the PAX (paired box) gene family. PAX6 plays a pivotal role in embryonic development, particularly in eye morphogenesis, neurogenesis, and pancreatic cell differentiation. Mutations in the PAX6 gene are linked to ocular disorders such as aniridia (iris hypoplasia) and congenital cataracts, as well as neurological and metabolic abnormalities.

PAX6 antibodies are widely used to detect and localize the PAX6 protein in tissues and cells via techniques like immunohistochemistry (IHC), Western blotting, and immunofluorescence (IF). These antibodies help researchers study PAX6 expression patterns during development, its role in maintaining progenitor cell populations, and its dysregulation in diseases. For instance, PAX6 is expressed in pancreatic islet cells, making its antibody relevant in diabetes research.

Most PAX6 antibodies are raised against conserved regions (e.g., paired or homeodomains) and validated for specificity using knockout models or siRNA-treated samples. They are available as monoclonal or polyclonal formats, with cross-reactivity tested across species (human, mouse, rat). Quality control typically includes validation in known PAX6-positive tissues (e.g., developing eye, brain, pancreas).

PAX6 antibodies also aid in diagnosing PAX6-related disorders and exploring regenerative therapies. Their utility extends to cancer research, as PAX6 may act as an oncogene or tumor suppressor in context-dependent malignancies like glioblastoma or neuroblastoma.

客户数据及评论

折叠内容

大包装询价

×