| WB | 咨询技术 | Human,Mouse,Rat |
| IF | 咨询技术 | Human,Mouse,Rat |
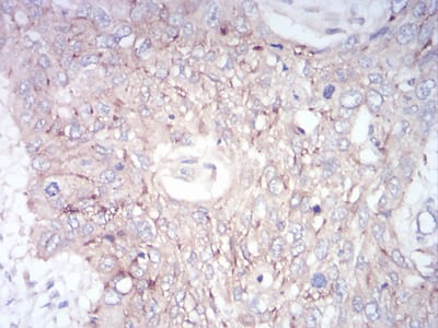
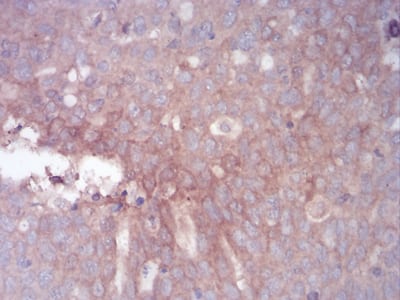
| IHC | 1/200 - 1/1000 | Human,Mouse,Rat |
| ICC | 1/200 - 1/1000 | Human,Mouse,Rat |
| FCM | 1/200 - 1/400 | Human,Mouse,Rat |
| Elisa | 1/10000 | Human,Mouse,Rat |
| Aliases | GLI |
| Entrez GeneID | 2735 |
| clone | 1B9F8 |
| WB Predicted band size | 118kDa |
| Host/Isotype | Mouse IgG1 |
| Antibody Type | Primary antibody |
| Storage | Store at 4°C short term. Aliquot and store at -20°C long term. Avoid freeze/thaw cycles. |
| Species Reactivity | Human |
| Immunogen | Purified recombinant fragment of human GLI1 (AA: 284-449) expressed in E. Coli. |
| Formulation | Purified antibody in PBS with 0.05% sodium azide |
+ +
以下是关于GLI1抗体的3篇参考文献及其简要摘要:
1. **"GLI1-mediated regulation of tumor cell proliferation and apoptosis in basal cell carcinoma"**
- **作者**: Dahmane, N., et al.
- **摘要**: 研究利用GLI1抗体通过免疫组化(IHC)和Western blot技术,揭示了GLI1在基底细胞癌中高表达,并通过调控下游靶基因促进肿瘤细胞增殖和抑制凋亡。
2. **"Characterization of GLI1 antibody specificity in Hedgehog signaling pathway analysis"**
- **作者**: Sasaki, H., et al.
- **摘要**: 通过对比多种GLI1抗体的性能,该文献验证了某特定抗体在染色质免疫沉淀(ChIP)和免疫荧光中的高特异性,为Hedgehog通路相关研究提供了实验依据。
3. **"Role of GLI1 in pancreatic cancer progression and its detection using a novel monoclonal antibody"**
- **作者**: Lauth, M., et al.
- **摘要**: 开发了一种新型GLI1单克隆抗体,用于检测胰腺癌组织中GLI1的核定位,并证实其过表达与患者预后不良及化疗耐药性相关。
如需具体期刊信息或完整引用格式,请进一步说明。
The GLI1 antibody is a crucial tool in studying the Hedgehog (Hh) signaling pathway, a key regulator of embryonic development and tissue homeostasis. GLI1. a zinc finger transcription factor, acts as a primary downstream effector of Hh signaling. It mediates the expression of target genes involved in cell proliferation, differentiation, and survival. Unlike GLI2 and GLI3. which can act as both activators and repressors, GLI1 primarily functions as a transcriptional activator. Dysregulation of GLI1 is implicated in various cancers, including basal cell carcinoma, medulloblastoma, and rhabdomyosarcoma, often due to mutations in Hh pathway components (e.g., PTCH1. SMO) or GLI1 amplification.
GLI1 antibodies are widely used in research to detect GLI1 protein expression and localization via techniques like immunohistochemistry (IHC), Western blotting, and immunofluorescence. They help assess Hh pathway activation status in tumor samples, stem cell studies, and developmental biology research. Commercially available antibodies target specific epitopes, often within the N-terminal or C-terminal regions, and validation includes checks for specificity using knockout controls. Recent therapeutic strategies targeting GLI1 in cancer have further elevated its research relevance, making these antibodies vital for both mechanistic studies and biomarker development.
×