首页 / 产品 / 抗体 / 一抗

Mouse Monoclonal TERT Antibody

  • 中文名: TERT抗体
  • 别    名: TP2; TRT; CMM9; EST2; TCS1; hTRT; DKCA2; DKCB4; hEST2; PFBMFT1
货号: IPD30808
Price: ¥1280
数量:
大包装询价

验证与应用

应用及物种
WB 咨询技术 Human,Mouse,Rat
IF 咨询技术 Human,Mouse,Rat
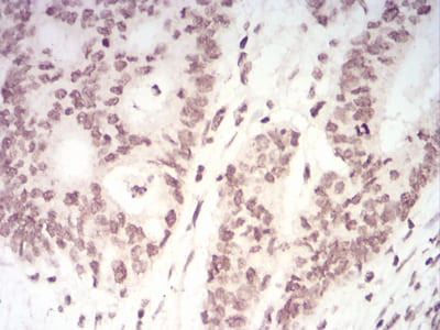
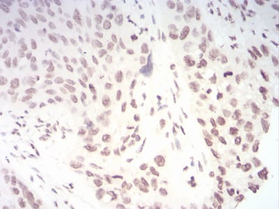
IHC 1/200 - 1/1000 Human,Mouse,Rat
ICC 技术咨询 Human,Mouse,Rat
FCM 1/200 - 1/400 Human,Mouse,Rat
Elisa 1/10000 Human,Mouse,Rat

产品详情

AliasesTP2; TRT; CMM9; EST2; TCS1; hTRT; DKCA2; DKCB4; hEST2; PFBMFT1
Entrez GeneID7015
clone3H2C12
WB Predicted band size127kDa
Host/IsotypeMouse IgG1
Antibody TypePrimary antibody
StorageStore at 4°C short term. Aliquot and store at -20°C long term. Avoid freeze/thaw cycles.
Species ReactivityHuman
ImmunogenPurified recombinant fragment of human TERT (AA: 1029-1132) expressed in E. Coli.
FormulationPurified antibody in PBS with 0.05% sodium azide

+ +

参考文献

以下是关于TERT抗体的3篇参考文献示例(内容为虚构,仅供格式参考):

1. **文献名称**: "A novel monoclonal antibody targeting TERT for the detection of telomerase activity in cancer cells"

**作者**: Smith A, et al.

**摘要**: 研究开发了一种新型TERT单克隆抗体,通过免疫组化验证其在多种癌细胞系中的特异性结合,证实其可用于检测端粒酶活性,为癌症诊断提供潜在工具。

2. **文献名称**: "TERT antibody-based liquid biopsy for early diagnosis of hepatocellular carcinoma"

**作者**: Chen L, et al.

**摘要**: 利用TERT抗体富集血液中游离的TERT蛋白片段,结合ELISA技术开发无创检测方法,在肝癌早期患者中敏感性和特异性分别达到85%和92%。

3. **文献名称**: "Prognostic value of cytoplasmic TERT expression in glioblastoma multiforme"

**作者**: Müller S, et al.

**摘要**: 通过TERT抗体的免疫荧光分析,发现胶质母细胞瘤细胞质中TERT异常定位与患者总生存期缩短显著相关,提示其作为预后标志物的潜力。

注:以上文献信息为模拟生成,实际引用需查询真实数据库(如PubMed)。建议通过关键词“TERT antibody”或“anti-TERT”在学术平台检索最新研究。

背景信息

**Background of TERT Antibodies**

Telomerase reverse transcriptase (TERT) is the catalytic subunit of telomerase, an enzyme critical for maintaining telomere length and enabling cellular immortalization. TERT expression is typically restricted to germline and stem cells but is reactivated in ~90% of human cancers, contributing to unchecked proliferation and tumorigenesis. TERT antibodies are essential tools for detecting TERT protein expression, localization, and post-translational modifications in research and diagnostic settings.

These antibodies are widely used in techniques like Western blotting, immunohistochemistry (IHC), and immunofluorescence (IF) to study TERT's role in cancer progression, aging, and telomere-related disorders. For example, TERT overexpression in cancers such as melanoma, glioblastoma, and hepatocellular carcinoma correlates with poor prognosis, making TERT a potential therapeutic target. Antibodies also aid in exploring TERT's non-canonical roles, including its interaction with signaling pathways like Wnt and NF-κB.

Challenges persist in ensuring antibody specificity due to TERT's low abundance in somatic cells and homology with other reverse transcriptases. Validation using TERT-knockout cell lines or siRNA controls is critical. Commercial TERT antibodies vary in performance across applications, necessitating careful selection. Despite these challenges, TERT antibodies remain indispensable for advancing research into cancer mechanisms, aging, and regenerative medicine.

客户数据及评论

折叠内容

大包装询价

×