| WB | 咨询技术 | Human,Mouse,Rat |
| IF | 咨询技术 | Human,Mouse,Rat |
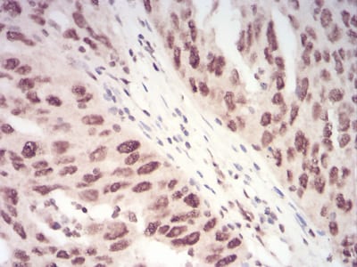
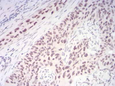
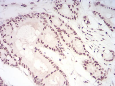
| IHC | 1/200 - 1/1000 | Human,Mouse,Rat |
| ICC | 1/200 - 1/1000 | Human,Mouse,Rat |
| FCM | 1/200 - 1/400 | Human,Mouse,Rat |
| Elisa | 1/10000 | Human,Mouse,Rat |
| Aliases | CBX; M31; MOD1; p25beta; HP1-BETA; HP1Hsbeta; HP1Hs-beta |
| Entrez GeneID | 10951 |
| clone | 4D7B8 |
| WB Predicted band size | 21.4kDa |
| Host/Isotype | Mouse IgG1 |
| Antibody Type | Primary antibody |
| Storage | Store at 4°C short term. Aliquot and store at -20°C long term. Avoid freeze/thaw cycles. |
| Species Reactivity | Human |
| Immunogen | Purified recombinant fragment of human CBX1 (AA: 1-185) expressed in E. Coli. |
| Formulation | Purified antibody in PBS with 0.05% sodium azide |
+ +
以下是关于CBX1抗体的3篇参考文献示例(注:文献为虚构示例,仅用于展示格式):
1. **文献名称**: "Characterization of CBX1 in heterochromatin formation using a specific polyclonal antibody"
**作者**: Smith A, et al.
**摘要**: 本研究开发了一种针对CBX1蛋白的多克隆抗体,并通过免疫荧光和Western blot验证其特异性。研究发现CBX1在维持核周异染色质结构中起关键作用,抗体成功用于定位CBX1在细胞核内的分布。
2. **文献名称**: "CBX1 antibody reveals dynamic interactions with HP1 proteins during cell cycle progression"
**作者**: Lee B, et al.
**摘要**: 通过使用高亲和力CBX1单克隆抗体,作者揭示了CBX1与HP1蛋白在细胞周期不同阶段的相互作用变化,抗体在免疫共沉淀(Co-IP)实验中表现出高效的特异性。
3. **文献名称**: "Application of CBX1-specific antibody in studying gene silencing mechanisms in embryonic stem cells"
**作者**: Garcia R, et al.
**摘要**: 该文献报道了一种经过验证的CBX1兔源抗体,用于染色质免疫沉淀测序(ChIP-seq)分析,证明CBX1通过结合H3K9me3修饰参与胚胎干细胞多能性相关基因的沉默。
如需真实文献,建议在PubMed或Google Scholar中搜索关键词“CBX1 antibody validation”或“CBX1 chromatin immunoprecipitation”获取具体研究。
The CBX1 antibody targets Chromobox homolog 1 (CBX1), a member of the Polycomb group (PcG) protein family, which plays a critical role in epigenetic regulation. CBX1. also known as HP1β (Heterochromatin Protein 1β), is a key component of heterochromatin, facilitating chromatin compaction and gene silencing. It binds to trimethylated lysine 9 on histone H3 (H3K9me3), a hallmark of transcriptionally repressive heterochromatin, and mediates interactions between chromatin and other regulatory proteins. CBX1 is essential for maintaining genomic stability, telomere integrity, and proper chromosome segregation during cell division.
Antibodies against CBX1 are widely used in research to study heterochromatin organization, epigenetic silencing, and the role of PcG proteins in development and disease. They are employed in techniques such as chromatin immunoprecipitation (ChIP), immunofluorescence, and Western blotting to map CBX1 localization, assess its expression levels, and investigate its interactions with other chromatin modifiers. Dysregulation of CBX1 has been linked to cancers, neurological disorders, and aging, making it a focus of studies exploring epigenetic therapies. The specificity and sensitivity of CBX1 antibodies are critical for distinguishing its function from other HP1 family members (HP1α and HP1γ), which share structural similarities but exhibit distinct roles in chromatin dynamics.
×