| WB | 咨询技术 | Human,Mouse,Rat |
| IF | 咨询技术 | Human,Mouse,Rat |
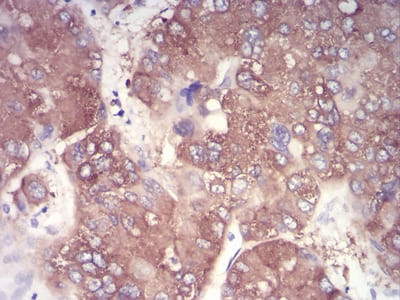
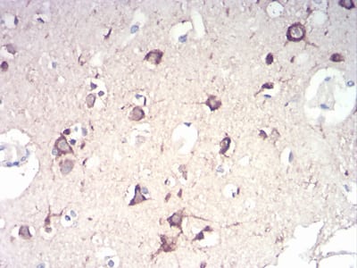
| IHC | 1/200 - 1/1000 | Human,Mouse,Rat |
| ICC | 1/200 - 1/1000 | Human,Mouse,Rat |
| FCM | 1/200 - 1/400 | Human,Mouse,Rat |
| Elisa | 1/10000 | Human,Mouse,Rat |
| Aliases | IKBA; MAD-3; NFKBI |
| Entrez GeneID | 4792 |
| clone | 4D4C4 |
| WB Predicted band size | 35.6kDa |
| Host/Isotype | Mouse IgG1 |
| Antibody Type | Primary antibody |
| Storage | Store at 4°C short term. Aliquot and store at -20°C long term. Avoid freeze/thaw cycles. |
| Species Reactivity | Human |
| Immunogen | Purified recombinant fragment of human NFKBIA (AA: 150-291) expressed in E. Coli. |
| Formulation | Purified antibody in PBS with 0.05% sodium azide |
+ +
以下是关于NFKBIA抗体的参考文献及其摘要概括:
1. **"A novel monoclonal antibody specific to IκBα detects its differential expression in human tissues"**
- 作者:Chen L, et al.
- 摘要:研究开发了一种针对人NFKBIA(IκBα)的新型单克隆抗体,验证了其在Western blot和免疫组化中的特异性,并揭示了IκBα在正常与肿瘤组织中的差异表达。
2. **"NFKBIA phosphorylation and degradation in activated T cells: role of a custom antibody in tracking dynamic changes"**
- 作者:Müller CW, et al.
- 摘要:利用定制NFKBIA抗体研究T细胞激活后IκBα的磷酸化与降解过程,揭示了NF-κB信号通路的动态调控机制。
3. **"Antibody-based profiling of IκBα in inflammatory bowel disease"**
- 作者:Harrison RV, et al.
- 摘要:通过NFKBIA抗体分析炎症性肠病患者肠黏膜中IκBα的表达水平,发现其表达降低与NF-κB过度活化及疾病进展相关。
4. **"Validation of a commercial NFKBIA antibody for flow cytometry applications"**
- 作者:Tanaka K, et al.
- 摘要:评估了一款商业化NFKBIA抗体在流式细胞术中的适用性,证实其可用于检测免疫细胞中IκBα的细胞内表达变化。
以上文献聚焦于抗体的开发、验证及在疾病机制研究中的应用。
The NFKBIA antibody targets IκBα (Inhibitor of Nuclear Factor Kappa B Alpha), a key regulatory protein in the NF-κB signaling pathway. NF-κB is a transcription factor critical for immune responses, inflammation, and cell survival. In resting cells, IκBα binds to NF-κB, sequestering it in the cytoplasm and preventing its activation. Upon stimulation by cytokines, pathogens, or stress signals, IκBα is phosphorylated by the IKK (IκB kinase) complex, leading to its ubiquitination and proteasomal degradation. This releases NF-κB, allowing its translocation to the nucleus to regulate target gene expression.
NFKBIA antibodies are widely used in research to study IκBα expression, phosphorylation, and degradation dynamics. They are essential tools in techniques like Western blotting, immunofluorescence, and immunoprecipitation to investigate NF-κB pathway activation in diseases such as cancer, autoimmune disorders, and chronic inflammation. Aberrant IκBα regulation, due to mutations or altered degradation, is linked to uncontrolled NF-κB activity, contributing to tumor progression and resistance to therapy.
Commercial NFKBIA antibodies are typically validated for specificity and sensitivity across human, mouse, and rat samples. Researchers utilize these antibodies to explore therapeutic interventions targeting the NF-κB pathway, including drug screening and mechanistic studies of anti-inflammatory or anticancer agents. Understanding IκBα's role through antibody-based assays remains pivotal in dissecting cellular responses to pathological and physiological stimuli.
×