| WB | 咨询技术 | Human,Mouse,Monkey,Rat |
| IF | 咨询技术 | Human,Mouse,Monkey,Rat |
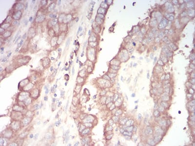
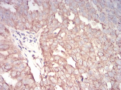
| IHC | 1/200 - 1/1000 | Human,Mouse,Monkey,Rat |
| ICC | 技术咨询 | Human,Mouse,Monkey,Rat |
| FCM | 1/200 - 1/400 | Human,Mouse,Monkey,Rat |
| Elisa | 1/10000 | Human,Mouse,Monkey,Rat |
| Aliases | AP-2; BOFS; AP2TF; TFAP2; AP-2alpha |
| Entrez GeneID | 7020 |
| clone | 7D2B5 |
| WB Predicted band size | 48kDa |
| Host/Isotype | Mouse IgG1 |
| Antibody Type | Primary antibody |
| Storage | Store at 4°C short term. Aliquot and store at -20°C long term. Avoid freeze/thaw cycles. |
| Species Reactivity | Human,Mouse,Monkey,Rat |
| Immunogen | Purified recombinant fragment of human TFAP2A (AA: 1-100) expressed in E. Coli. |
| Formulation | Purified antibody in PBS with 0.05% sodium azide |
+ +
以下是3-4条关于 **TFAP2A抗体** 的参考文献及简要摘要:
---
1. **"TFAP2A regulates craniofacial development and its loss causes craniofacial defects"**
- **作者**:Williams T, et al.
- **摘要**:研究利用特异性TFAP2A抗体在小鼠模型中定位其表达,发现TFAP2A在颅面发育中起关键作用,并证明其缺失导致胚胎颅面部结构异常。
2. **"Mutation analysis of TFAP2A in human cleft lip and palate"**
- **作者**:Moser M, et al.
- **摘要**:通过免疫组化(使用TFAP2A抗体)和基因测序,揭示TFAP2A基因突变与人类唇腭裂相关,并探讨其分子机制。
3. **"TFAP2A as a prognostic marker in breast cancer"**
- **作者**:Eckert D, et al.
- **摘要**:利用TFAP2A抗体进行乳腺癌组织染色,发现其表达水平与患者生存率显著相关,提示其作为预后标志物的潜力。
4. **"TFAP2A-mediated regulation of EMT in cancer metastasis"**
- **作者**:Bogachek MV, et al.
- **摘要**:研究通过Western blot和免疫荧光(依赖TFAP2A抗体)证明,TFAP2A通过调控上皮间质转化(EMT)相关基因抑制肿瘤转移。
---
以上文献可通过PubMed或Google Scholar搜索标题或作者获取全文。
The TFAP2A antibody is a crucial tool for studying the transcription factor AP-2 alpha (TFAP2A), a member of the AP-2 family involved in embryonic development, cell proliferation, and differentiation. TFAP2A, encoded by the TFAP2A gene, regulates gene expression by binding to GC-rich promoter regions, influencing processes like neural crest cell development, craniofacial morphogenesis, and epidermal formation. It plays dual roles in cancer, acting as a tumor suppressor or oncogene depending on context, with dysregulation linked to breast cancer, melanoma, and neuroblastoma.
The antibody detects TFAP2A protein in various applications, including Western blotting, immunohistochemistry (IHC), and immunofluorescence (IF), enabling researchers to map its expression patterns in tissues and study its functional roles. Commercially available TFAP2A antibodies are typically raised in hosts like rabbits or mice, targeting specific epitopes within the protein's conserved regions, particularly the N-terminal transactivation domain or C-terminal dimerization helix-span-helix motif. Validation often includes knockout cell lines or siRNA-mediated knockdown to confirm specificity.
Its use has advanced understanding of TFAP2A's involvement in developmental disorders like branchiooculofacial syndrome and its therapeutic potential in cancer. Researchers also employ it to explore TFAP2A interactions with signaling pathways (e.g., p53. EGFR) and epigenetic regulators, making it vital for both basic research and clinical biomarker studies.
×