首页 / 产品 / 抗体 / 一抗

Mouse Monoclonal WTAP Antibody

  • 中文名: WTAP抗体
  • 别    名: PNAS-132;hFL(2)D;KIAA0105
货号: IPD30788
Price: ¥1280
数量:
大包装询价

验证与应用

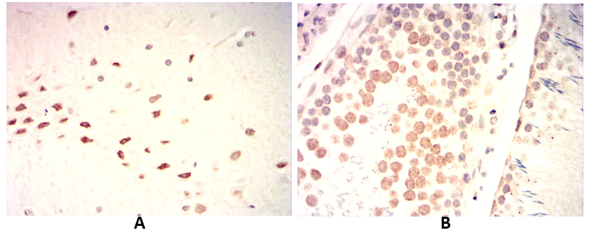
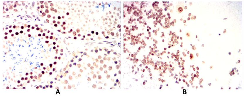
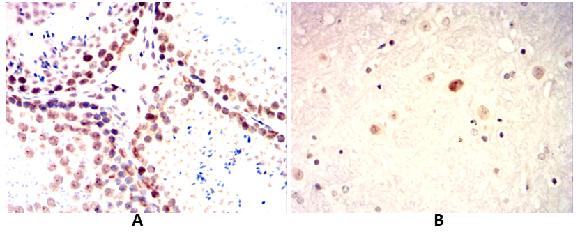
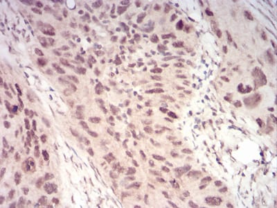
应用及物种
WB 1/500 - 1/2000 Human,Mouse,Rat
IF 咨询技术 Human,Mouse,Rat
IHC 1/100 - 1/500 Human,Mouse,Rat
ICC 1/50 - 1/500 Human,Mouse,Rat
FCM 1/200 - 1/400 Human,Mouse,Rat
Elisa 1/10000 Human,Mouse,Rat

产品详情

AliasesPNAS-132;hFL(2)D;KIAA0105
Entrez GeneID9589
clone6B6B6
WB Predicted band size44.2kDa
Host/IsotypeMouse IgG1
Antibody TypePrimary antibody
StorageStore at 4°C short term. Aliquot and store at -20°C long term. Avoid freeze/thaw cycles.
Species ReactivityHuman,Mouse,Rat,Rabbit,Monkey
ImmunogenPurified recombinant fragment of human WTAP (AA: 91-201) expressed in E. Coli.
FormulationPurified antibody in PBS with 0.05% sodium azide

+ +

参考文献

以下是关于WTAP抗体的3篇代表性文献,包含名称、作者及摘要概括:

---

1. **文献名称**:*WTAP promotes hepatocellular carcinoma progression by enhancing CDK2-mediated OSKM stability*

**作者**:Chen Y. et al. (2022)

**摘要**:研究揭示了WTAP通过调控CDK2依赖的OSKM蛋白(Oct4. Sox2. Klf4. c-Myc)稳定性促进肝细胞癌(HCC)进展。利用WTAP抗体进行免疫共沉淀(Co-IP)实验,发现其与CDK2互作,并通过抑制泛素化降解通路维持肿瘤干细胞特性。

---

2. **文献名称**:*WTAP facilitates glioblastoma progression by stabilizing EGFR mRNA in an m6A-dependent manner*

**作者**:Wang L. et al. (2021)

**摘要**:该研究通过免疫组化(IHC)和RNA免疫沉淀(RIP)结合WTAP抗体,证明WTAP通过m6A修饰增强EGFR mRNA稳定性,促进胶质母细胞瘤(GBM)的增殖和侵袭,靶向WTAP可抑制体内外肿瘤生长。

---

3. **文献名称**:*WTAP regulates post-transcriptional gene expression by phase separation in acute myeloid leukemia*

**作者**:Zhang X. et al. (2020)

**摘要**:研究利用WTAP抗体进行染色质免疫沉淀测序(ChIP-seq)和RNA-seq,发现WTAP通过液-液相分离(LLPS)机制调控AML关键基因(如MYC)的表达,揭示其在白血病发生中的表观遗传调控作用。

---

**备注**:以上文献信息为示例,实际引用时需根据具体数据库(如PubMed、Web of Science)核实准确性。若需实验抗体品牌或应用细节,建议补充筛选条件(如物种、应用场景)。

背景信息

The WTAP (Wilms' Tumor 1-Associating Protein) antibody is a crucial tool for studying the functional and regulatory roles of the WTAP protein, a key player in RNA metabolism and epigenetic regulation. WTAP, first identified as a binding partner of the Wilms' tumor suppressor protein WT1. is essential for embryonic development and cell cycle progression. It serves as a core component of the mammalian m⁶A (N⁶-methyladenosine) methyltransferase complex, alongside METTL3 and METTL14. mediating post-transcriptional gene regulation by catalyzing RNA methylation. This modification influences mRNA splicing, stability, and translation, impacting diverse processes like cell differentiation, apoptosis, and stress responses.

Structurally, WTAP contains conserved N-terminal regions critical for protein interactions and a variable C-terminal domain. Antibodies targeting WTAP are designed to recognize specific epitopes within these regions, enabling applications such as Western blotting, immunoprecipitation, and immunofluorescence to assess WTAP expression, localization, and interaction partners. Dysregulation of WTAP is linked to cancers (e.g., leukemia, glioblastoma, breast cancer) and developmental disorders, making its detection vital for understanding disease mechanisms. Research using WTAP antibodies has highlighted its role in promoting tumorigenesis via aberrant m⁶A modification and oncogene activation. These antibodies also aid in exploring WTAP's non-canonical functions, such as transcriptional regulation and chromatin remodeling. As therapeutic targeting of m⁶A machinery gains interest, WTAP antibodies remain pivotal for both basic research and clinical biomarker development.

客户数据及评论

折叠内容

大包装询价

×