| WB | 咨询技术 | Human,Mouse,Rat |
| IF | 咨询技术 | Human,Mouse,Rat |
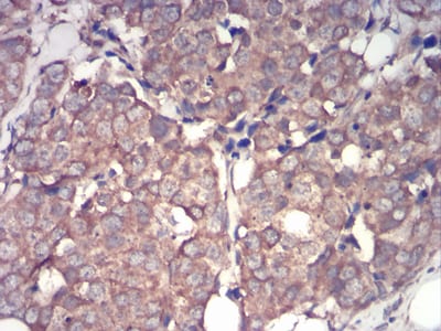
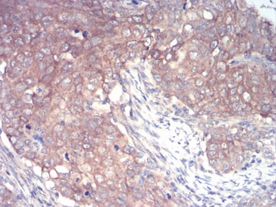
| IHC | 1/200 - 1/1000 | Human,Mouse,Rat |
| ICC | 1/200 - 1/1000 | Human,Mouse,Rat |
| FCM | 1/200 - 1/400 | Human,Mouse,Rat |
| Elisa | 1/10000 | Human,Mouse,Rat |
| Aliases | ASRT5; IRAKM |
| Entrez GeneID | 11213 |
| clone | 6G9G2 |
| WB Predicted band size | 67.8kDa |
| Host/Isotype | Mouse IgG1 |
| Antibody Type | Primary antibody |
| Storage | Store at 4°C short term. Aliquot and store at -20°C long term. Avoid freeze/thaw cycles. |
| Species Reactivity | Human |
| Immunogen | Purified recombinant fragment of human IRAK3 (AA: 454-596) expressed in E. Coli. |
| Formulation | Purified antibody in PBS with 0.05% sodium azide |
+ +
以下是关于IRAK3抗体的3篇参考文献及其简要摘要:
---
1. **标题**:*IRAK3 modulates downstream immune signaling pathways in sepsis through kinase activity-independent mechanisms*
**作者**:Zhu J, et al.
**摘要**:该研究利用IRAK3特异性抗体进行免疫印迹和免疫组化,发现IRAK3通过非激酶依赖性机制抑制TLR/IL-1R信号通路,降低脓毒症中过度炎症反应,为免疫调节治疗提供潜在靶点。
---
2. **标题**:*Expression and functional characterization of IRAK3 in colorectal cancer progression*
**作者**:Li H, et al.
**摘要**:通过IRAK3抗体检测结直肠癌组织中蛋白表达水平,发现IRAK3高表达与患者不良预后相关,并证实其通过NF-κB通路促进肿瘤细胞侵袭,提示其作为生物标志物的潜力。
---
3. **标题**:*Structural insights into IRAK3 pseudokinase domain stabilization by small-molecule inhibitors*
**作者**:Wang Q, et al.
**摘要**:研究结合IRAK3抗体进行共结晶和质谱分析,揭示IRAK3假激酶结构域与小分子抑制剂的相互作用机制,为开发靶向IRAK3的炎症性疾病药物提供结构基础。
---
这些文献涵盖了IRAK3在信号通路调控、疾病关联及结构机制中的研究,均涉及抗体的实验应用(如Western blot、免疫组化或结构分析)。如需具体文章链接或补充信息,可进一步说明。
**Background of IRAK3 Antibody**
IRAK3 (Interleukin-1 Receptor-Associated Kinase 3), also known as IRAK-M, is a member of the IRAK family of serine/threonine kinases involved in toll-like receptor (TLR) and interleukin-1 receptor (IL-1R) signaling pathways. Unlike other IRAK family members, IRAK3 lacks kinase activity and acts as a negative regulator of innate immune responses. It inhibits TLR/IL-1R-mediated signaling by preventing the dissociation of IRAK1 and IRAK4 from receptor complexes, thereby dampening NF-κB activation and pro-inflammatory cytokine production.
IRAK3 antibodies are essential tools for studying its expression, localization, and regulatory roles in immune homeostasis and inflammatory diseases. These antibodies are widely used in techniques like Western blotting, immunohistochemistry, and flow cytometry to detect IRAK3 in cells and tissues. Research has linked IRAK3 dysregulation to chronic inflammation, autoimmune disorders (e.g., rheumatoid arthritis), and cancer, where its overexpression may promote tumor immune evasion or metastasis.
Commercial IRAK3 antibodies are often validated for specificity across human, mouse, or rat models, with applications in both basic research and drug development. Studies targeting IRAK3 aim to explore its therapeutic potential in modulating excessive inflammation or enhancing anti-tumor immunity. However, variability in antibody performance (e.g., cross-reactivity) necessitates careful validation for experimental accuracy.
×