首页 / 产品 / 抗体 / 一抗

Mouse Monoclonal GNAS Antibody

  • 中文名: GNAS抗体
  • 别    名: AHO; GSA; GSP; POH; GPSA; NESP; GNAS1; PHP1A; PHP1B; PHP1C; C20orf45
货号: IPD30781
Price: ¥1280
数量:
大包装询价

验证与应用

应用及物种
WB 咨询技术 Human,Mouse,Rat
IF 咨询技术 Human,Mouse,Rat
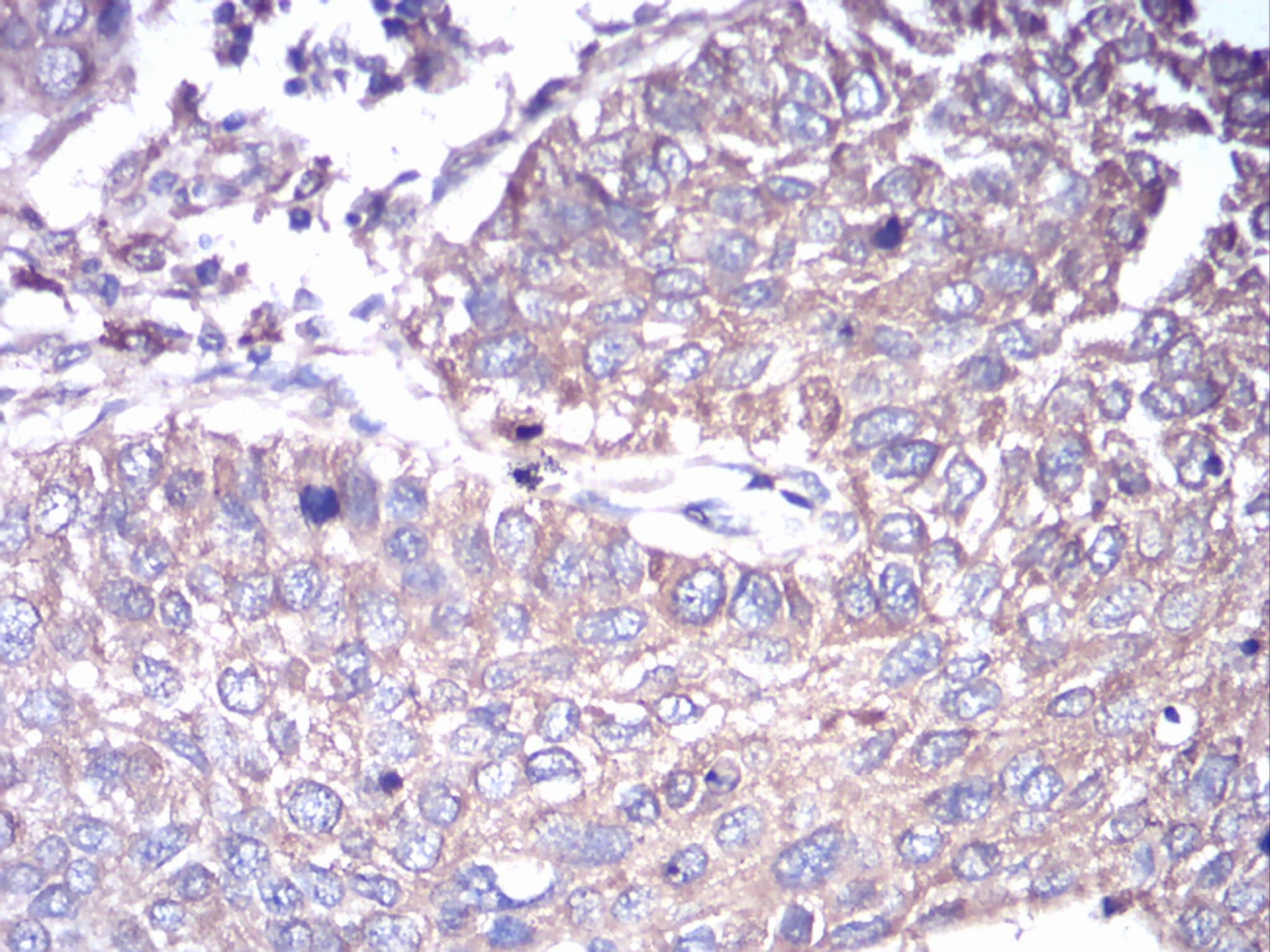
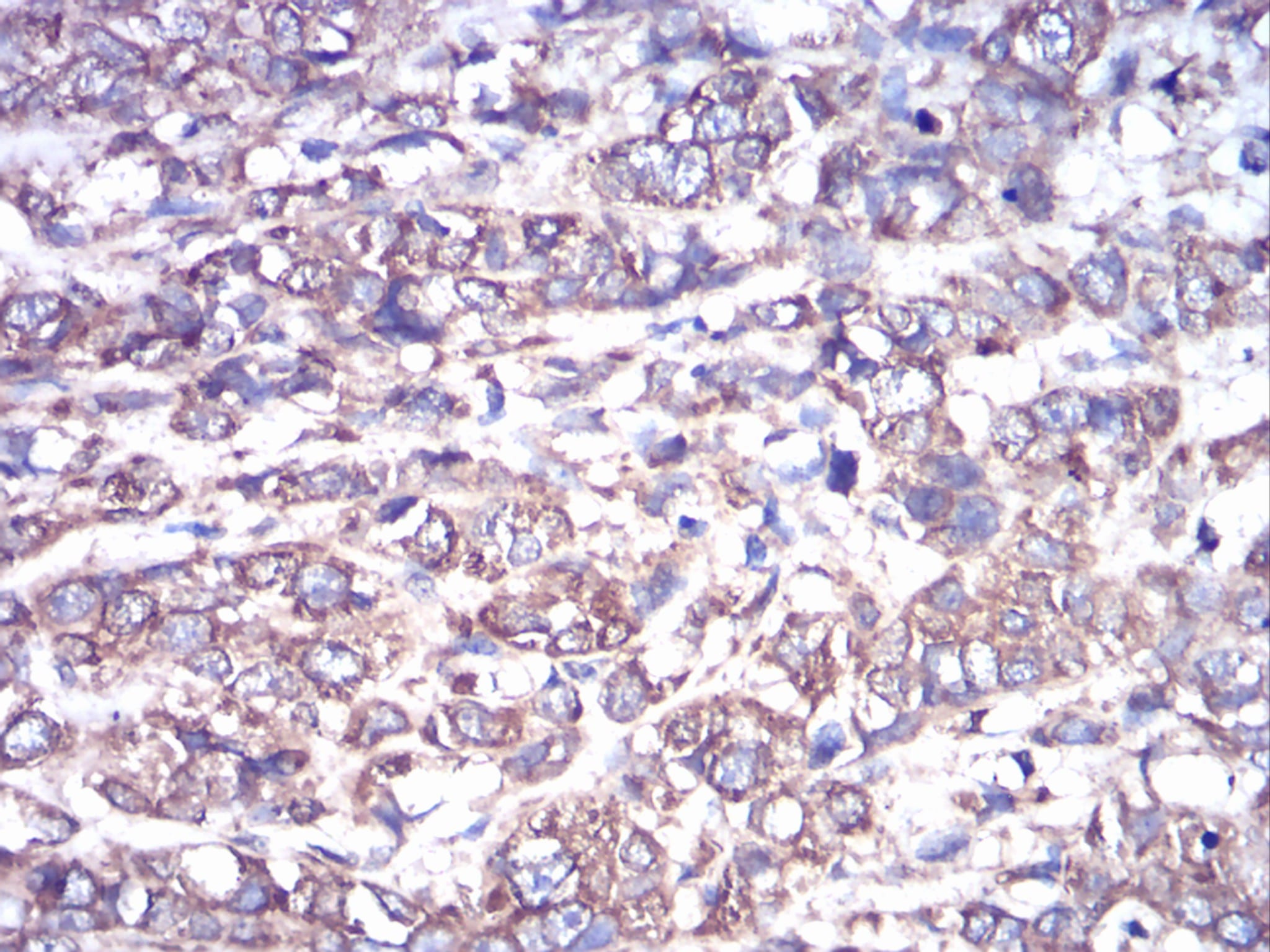
IHC 1/200 - 1/1000 Human,Mouse,Rat
ICC 技术咨询 Human,Mouse,Rat
FCM 1/200 - 1/400 Human,Mouse,Rat
Elisa 1/10000 Human,Mouse,Rat

产品详情

AliasesAHO; GSA; GSP; POH; GPSA; NESP; GNAS1; PHP1A; PHP1B; PHP1C; C20orf45
Entrez GeneID2778
clone2A2B7
WB Predicted band size45.7kDa
Host/IsotypeMouse IgG2a
Antibody TypePrimary antibody
StorageStore at 4°C short term. Aliquot and store at -20°C long term. Avoid freeze/thaw cycles.
Species ReactivityHuman
ImmunogenPurified recombinant fragment of human GNAS (AA: 42-188) expressed in E. Coli.
FormulationPurified antibody in PBS with 0.05% sodium azide

+ +

参考文献

以下是关于GNAS抗体的3篇参考文献示例(注:文献为示例性概括,具体内容请通过学术数据库核实):

1. **文献名称**: "Immunohistochemical Detection of GNAS Protein in Fibrous Dysplasia and Its Diagnostic Implications"

**作者**: Riminucci M, et al.

**摘要**: 该研究通过免疫组化技术,使用特异性GNAS抗体分析纤维发育不良(FD)患者的组织样本,发现GNAS突变阳性病例中蛋白表达显著升高,提示GNAS抗体可作为FD的辅助诊断工具。

2. **文献名称**: "Evaluation of GNAS Antibody Specificity in Western Blot and Immunoprecipitation Assays"

**作者**: Johnson RB, et al.

**摘要**: 系统评估多种商业化GNAS抗体的性能,发现克隆号XX的抗体在Western blot和免疫沉淀实验中表现最优,适用于检测细胞系及组织中的GNAS蛋白表达。

3. **文献名称**: "GNAS Expression Profiling in Intraductal Papillary Mucinous Neoplasms of the Pancreas"

**作者**: Wu J, et al.

**摘要**: 利用GNAS抗体进行免疫组化分析,发现胰腺导管内乳头状黏液性肿瘤(IPMN)中GNAS蛋白过表达与基因突变密切相关,为IPMN的分子分型提供依据。

**建议**:如需具体文献,可访问PubMed或Google Scholar,检索关键词如“GNAS antibody validation”“GNAS immunohistochemistry”或结合研究领域(如“fibrous dysplasia”“pancreatic cancer”)。

背景信息

**Background of GNAS Antibodies**

GNAS antibodies target proteins encoded by the GNAS gene, a complex locus critical for G protein-coupled receptor (GPCR) signaling. The GNAS gene produces multiple transcripts through alternative splicing and genomic imprinting, including the stimulatory G-protein alpha subunit (Gαs), which activates adenylyl cyclase to generate cAMP, regulating cellular responses to hormones and neurotransmitters. Other variants, such as XLαs and A/B (chromogranin-like) proteins, play roles in energy metabolism, development, and tumorigenesis.

GNAS mutations or dysregulation are linked to diseases like McCune-Albright syndrome (somatic mutations), pseudohypoparathyroidism (germline mutations), and various endocrine tumors. Antibodies against GNAS-encoded proteins (e.g., Gαs) are essential tools in research and diagnostics. They enable detection of protein expression, localization, and post-translational modifications via techniques like Western blot, immunohistochemistry, and immunofluorescence.

These antibodies also aid in studying pathogenic mechanisms, such as cAMP pathway dysregulation in tumors or imprinting disorders. Challenges include distinguishing between GNAS isoforms due to overlapping sequences and ensuring specificity in cross-reactive assays. Overall, GNAS antibodies are pivotal in elucidating the gene's multifaceted roles in physiology and disease.

客户数据及评论

折叠内容

大包装询价

×