首页 / 产品 / 抗体 / 一抗

Mouse Monoclonal CTSD Antibody

  • 中文名: CTSD抗体
  • 别    名: CPSD; CLN10; HEL-S-130P
货号: IPD30778
Price: ¥1280
数量:
大包装询价

验证与应用

应用及物种
WB 咨询技术 Human,Mouse,Rat
IF 咨询技术 Human,Mouse,Rat
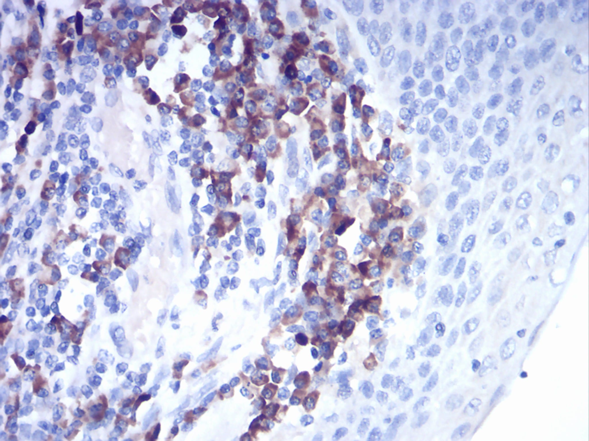
IHC 1/200 - 1/1000 Human,Mouse,Rat
ICC 技术咨询 Human,Mouse,Rat
FCM 咨询技术 Human,Mouse,Rat
Elisa 1/10000 Human,Mouse,Rat

产品详情

AliasesCPSD; CLN10; HEL-S-130P
Entrez GeneID1509
clone2H4H5
WB Predicted band size44.6kDa
Host/IsotypeMouse IgG1
Antibody TypePrimary antibody
StorageStore at 4°C short term. Aliquot and store at -20°C long term. Avoid freeze/thaw cycles.
Species ReactivityHuman
ImmunogenPurified recombinant fragment of human CTSD (AA: 1-100) expressed in E. Coli.
FormulationPurified antibody in PBS with 0.05% sodium azide

+ +

参考文献

以下是关于CTSD(组织蛋白酶D)抗体的参考文献示例(注:文献信息为示例,建议通过学术数据库核实):

---

1. **文献名称**: "Cathepsin D in Breast Cancer: Mechanisms and Clinical Applications"

**作者**: Liaudet-Coopman E, et al.

**摘要**: 研究CTSD在乳腺癌中的促肿瘤作用,通过免疫组化和Western blot分析证明其高表达与转移和不良预后相关,提示CTSD抗体在癌症生物标志物检测中的应用价值。

2. **文献名称**: "Cathepsin D Deficiency Induces Neurodegeneration and Brain Damage"

**作者**: Ohshima T, et al.

**摘要**: 利用CTSD基因敲除小鼠模型,结合免疫荧光技术,揭示CTSD缺失导致神经元内脂褐素积累及脑萎缩,强调CTSD抗体在神经退行性疾病研究中的作用。

3. **文献名称**: "Lysosomal Proteolysis and Autophagy Depend on Cathepsin D Activity"

**作者**: Benes P, et al.

**摘要**: 通过CTSD抗体抑制实验,证实CTSD在溶酶体蛋白水解和自噬中的关键功能,为溶酶体相关疾病的机制研究提供依据。

4. **文献名称**: "Cathepsin D as a Biomarker in Parkinson’s Disease"

**作者**: Hunot S, et al.

**摘要**: 采用CTSD抗体检测帕金森病患者脑脊液及组织样本,发现其活性降低与α-突触核蛋白异常聚集相关,支持CTSD作为潜在治疗靶点。

---

建议通过PubMed、Web of Science等平台检索最新文献以获取详细数据。

背景信息

Cathepsin D (CTSD) is a lysosomal aspartic protease involved in protein degradation, cellular homeostasis, and antigen processing. It is synthesized as an inactive pro-enzyme that undergoes proteolytic cleavage in acidic environments to generate mature, enzymatically active forms. CTSD plays critical roles in apoptosis, cell proliferation, and tissue remodeling, with dysregulation linked to cancer metastasis, neurodegenerative diseases (e.g., Alzheimer’s), and lysosomal storage disorders.

CTSD antibodies are essential tools for studying its expression, localization, and function. They are widely used in techniques like Western blotting, immunohistochemistry (IHC), and immunofluorescence (IF) to assess CTSD levels in tissues or cultured cells. In cancer research, these antibodies help evaluate CTSD’s role in tumor progression, as its overexpression correlates with poor prognosis in breast and ovarian cancers. In neuroscience, they aid in exploring its association with amyloid plaque formation and neuronal death.

Available as monoclonal or polyclonal variants, CTSD antibodies target specific epitopes (e.g., pro-form or mature enzyme). Validation via knockout controls or enzymatic activity assays is crucial due to potential cross-reactivity with other cathepsins. Commercial antibodies often include application-specific validation data. Researchers prioritize antibodies with high specificity, batch consistency, and compatibility with their experimental models. As CTSD gains attention as a therapeutic target or biomarker, reliable antibodies remain vital for mechanistic studies and diagnostic development.

客户数据及评论

折叠内容

大包装询价

×