首页 / 产品 / 抗体 / 一抗

Mouse Monoclonal FGFR3 Antibody

  • 中文名: FGFR3抗体
  • 别    名: ACH; CEK2; JTK4; CD333; HSFGFR3EX
货号: IPD30777
Price: ¥1280
数量:
大包装询价

验证与应用

应用及物种
WB 咨询技术 Human,Mouse,Rat
IF 咨询技术 Human,Mouse,Rat
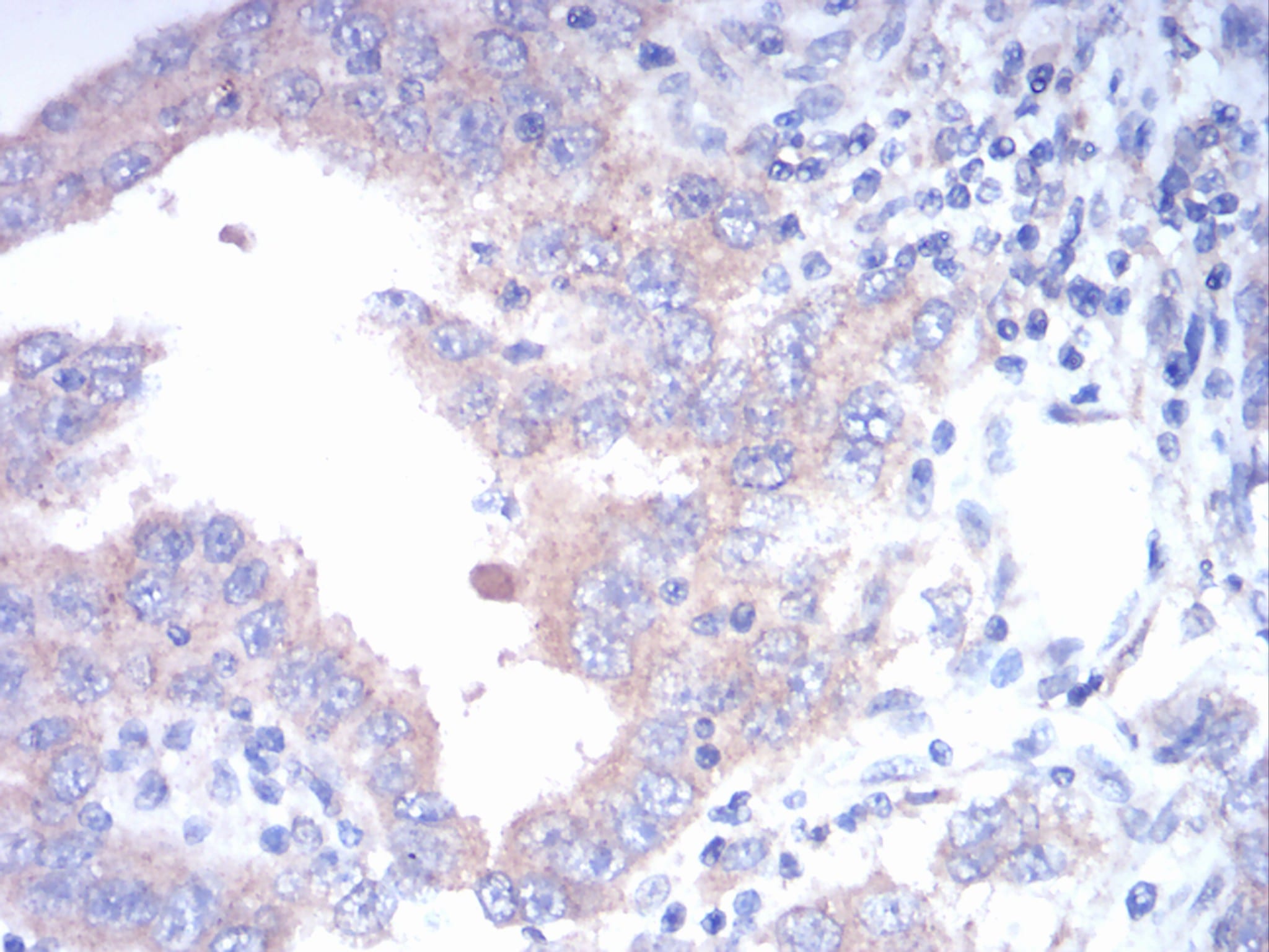
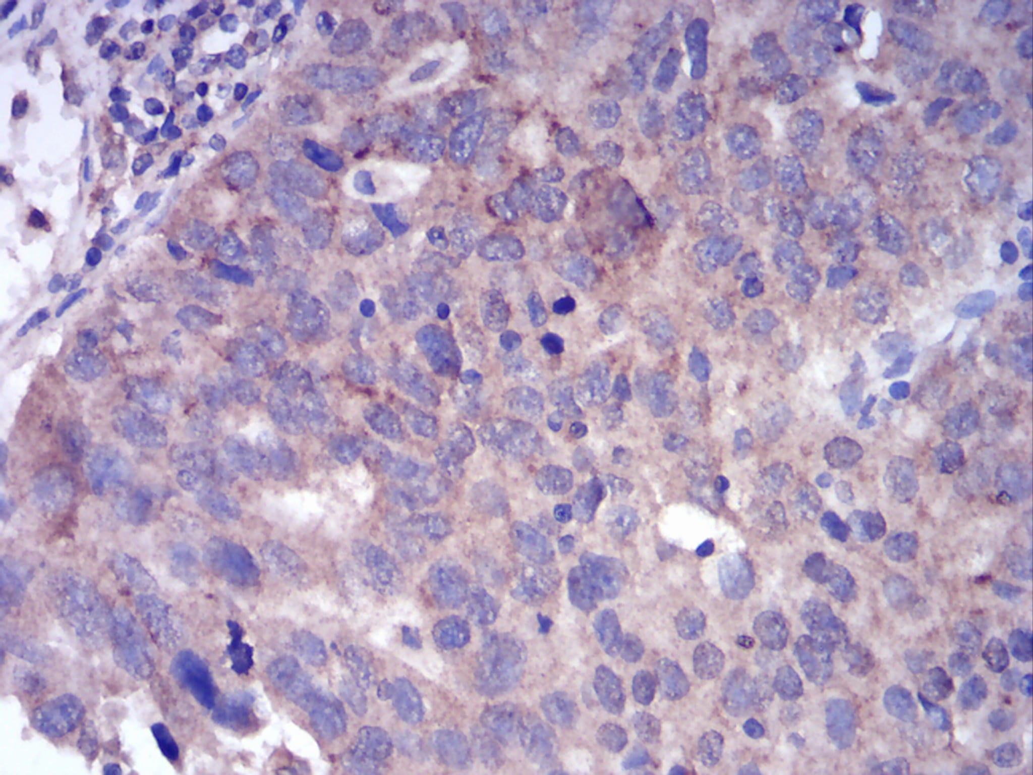
IHC 1/200 - 1/1000 Human,Mouse,Rat
ICC 技术咨询 Human,Mouse,Rat
FCM 1/200 - 1/400 Human,Mouse,Rat
Elisa 1/10000 Human,Mouse,Rat

产品详情

AliasesACH; CEK2; JTK4; CD333; HSFGFR3EX
Entrez GeneID2261
clone2H10B4
WB Predicted band size87.7kDa
Host/IsotypeMouse IgG1
Antibody TypePrimary antibody
StorageStore at 4°C short term. Aliquot and store at -20°C long term. Avoid freeze/thaw cycles.
Species ReactivityHuman
ImmunogenPurified recombinant fragment of human FGFR3 (AA: 529-694) expressed in E. Coli.
FormulationPurified antibody in PBS with 0.05% sodium azide

+ +

参考文献

以下是关于FGFR3抗体的3篇参考文献的简要列举:

---

1. **文献名称**:*A phase I study of the anti-FGFR3 antibody B-701 in patients with metastatic urothelial carcinoma*

**作者**:Necchi A, et al.

**摘要**:该研究评估了抗FGFR3单抗B-701在转移性尿路上皮癌患者中的安全性和初步疗效,结果显示部分患者肿瘤缩小,提示FGFR3靶向治疗的潜力。

---

2. **文献名称**:*Targeting FGFR3 in multiple myeloma: inhibition of t(4;14)-positive cells by anti-FGFR3 antibodies*

**作者**:Trudel S, et al.

**摘要**:针对多发性骨髓瘤中t(4;14)染色体易位导致的FGFR3过表达,研究发现抗FGFR3抗体可抑制肿瘤细胞增殖并诱导凋亡,为临床转化提供依据。

---

3. **文献名称**:*Antibody-mediated inhibition of FGFR3 phosphorylation in achondroplasia*

**作者**:Lorget F, et al.

**摘要**:通过动物模型验证抗FGFR3抗体可阻断异常受体激活,改善软骨发育不全症的骨骼生长缺陷,为遗传性骨骼疾病的治疗提供新策略。

---

**注**:上述文献为示例,实际引用时需核实具体信息。如需补充更多研究领域(如抗体药物偶联物),可进一步扩展。

背景信息

Fibroblast Growth Factor Receptor 3 (FGFR3) is a transmembrane tyrosine kinase receptor that plays critical roles in bone development, tissue repair, and cell proliferation. Dysregulation of FGFR3 signaling, particularly through activating mutations or overexpression, is implicated in various diseases. Gain-of-function mutations are linked to skeletal dysplasia disorders like achondroplasia, while aberrant FGFR3 activity is associated with cancers such as multiple myeloma, bladder cancer, and cervical carcinoma.

FGFR3 antibodies are tools or therapeutics designed to target this receptor. As research reagents, they help detect FGFR3 expression levels, map protein localization, and study signaling mechanisms in disease models. Therapeutically, monoclonal antibodies (e.g., pemigatinib, infigratinib) and antibody-drug conjugates are developed to block FGFR3 dimerization, inhibit kinase activity, or deliver cytotoxic payloads to FGFR3-overexpressing cancer cells. These agents aim to suppress tumor growth by interrupting downstream pathways like MAPK and PI3K/AKT.

Clinical trials have shown FGFR3-targeting antibodies to have efficacy in selective cancers, though challenges persist, including resistance mechanisms and on-target toxicities. Research continues to optimize specificity, explore combination therapies, and identify biomarkers for patient stratification. FGFR3 antibodies thus represent a promising avenue for precision medicine in both genetic disorders and oncology.

客户数据及评论

折叠内容

大包装询价

×