首页 / 产品 / 抗体 / 一抗

Mouse Monoclonal CDH17 Antibody

  • 中文名: CDH17抗体
  • 别    名: HPT1; CDH16; HPT-1
货号: IPD30737
Price: ¥1280
数量:
大包装询价

验证与应用

应用及物种
WB 咨询技术 Human,Mouse,Rat
IF 咨询技术 Human,Mouse,Rat
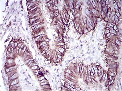
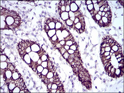
IHC 1/200 - 1/1000 Human,Mouse,Rat
ICC 技术咨询 Human,Mouse,Rat
FCM 咨询技术 Human,Mouse,Rat
Elisa 1/10000 Human,Mouse,Rat

产品详情

AliasesHPT1; CDH16; HPT-1
Entrez GeneID1015
clone7D10E1
WB Predicted band size92.2kDa
Host/IsotypeMouse IgG1
Antibody TypePrimary antibody
StorageStore at 4°C short term. Aliquot and store at -20°C long term. Avoid freeze/thaw cycles.
Species ReactivityHuman
ImmunogenPurified recombinant fragment of human CDH17 (AA: extra(600-707)) expressed in E. Coli.
FormulationPurified antibody in PBS with 0.05% sodium azide.

+ +

客户数据及评论

折叠内容

大包装询价

×