首页 / 产品 / 抗体 / 一抗

Mouse Monoclonal CD6 Antibody

  • 中文名: CD6抗体
  • 别    名: TP120; FLJ44171
货号: IPD30729
Price: ¥1280
数量:
大包装询价

验证与应用

应用及物种
WB 咨询技术 Human,Mouse,Rat
IF 咨询技术 Human,Mouse,Rat
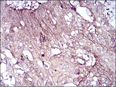
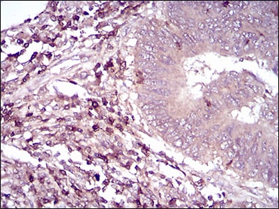
IHC 1/200 - 1/1000 Human,Mouse,Rat
ICC 技术咨询 Human,Mouse,Rat
FCM 1/200 - 1/400 Human,Mouse,Rat
Elisa 1/10000 Human,Mouse,Rat

产品详情

AliasesTP120; FLJ44171
Entrez GeneID923
clone6B11G6
WB Predicted band size71.8kDa
Host/IsotypeMouse IgG2b
Antibody TypePrimary antibody
StorageStore at 4°C short term. Aliquot and store at -20°C long term. Avoid freeze/thaw cycles.
Species ReactivityHuman
ImmunogenPurified recombinant fragment of human CD6 (AA: Extra(18-199)) expressed in E. Coli.
FormulationPurified antibody in PBS with 0.05% sodium azide.

+ +

客户数据及评论

折叠内容

大包装询价

×