首页 / 产品 / 抗体 / 一抗

Mouse Monoclonal WAS Antibody

  • 中文名: WAS抗体
  • 别    名: THC; IMD2; SCNX; THC1; WASP
货号: IPD30716
Price: ¥1280
数量:
大包装询价

验证与应用

应用及物种
WB 咨询技术 Human,Mouse,Rat
IF 咨询技术 Human,Mouse,Rat
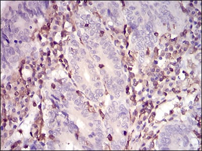
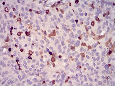
IHC 1/200 - 1/1000 Human,Mouse,Rat
ICC 技术咨询 Human,Mouse,Rat
FCM 1/200 - 1/400 Human,Mouse,Rat
Elisa 1/10000 Human,Mouse,Rat

产品详情

AliasesTHC; IMD2; SCNX; THC1; WASP
Entrez GeneID7454
clone7B10E4
WB Predicted band size53kDa
Host/IsotypeMouse IgG2a
Antibody TypePrimary antibody
StorageStore at 4°C short term. Aliquot and store at -20°C long term. Avoid freeze/thaw cycles.
Species ReactivityHuman
ImmunogenPurified recombinant fragment of human WAS (AA: 57-170) expressed in E. Coli.
FormulationPurified antibody in PBS with 0.05% sodium azide.

+ +

参考文献

以下是3篇关于WAS(Wiskott-Aldrich综合征)相关抗体的代表性文献摘要:

---

1. **文献名称**:*Autoantibody formation in Wiskott-Aldrich syndrome: Mechanisms and clinical implications*

**作者**:Notarangelo LD, et al.

**摘要**:探讨WAS患者因免疫失调导致自身抗体(如抗血小板或抗红细胞抗体)生成的机制,分析其与出血倾向及自身免疫疾病(如关节炎、血管炎)的关联性。

---

2. **文献名称**:*WASP-deficient mice reveal a critical role of the cytoskeleton in B cell antibody responses*

**作者**:Westerberg LS, et al.

**摘要**:通过WAS蛋白缺陷小鼠模型,研究B细胞因细胞骨架异常导致的抗体类别转换缺陷,揭示WAS患者对多糖抗原(如疫苗)抗体反应低下的分子机制。

---

3. **文献名称**:*Diagnostic value of anti-WASP antibody detection in atypical WAS cases*

**作者**:Ochs HD, et al.

**摘要**:提出通过特异性抗WASP蛋白抗体检测辅助诊断非典型WAS病例,强调该方法在鉴别突变类型及预测临床表型中的潜在应用价值。

---

4. **文献名称**:*Targeting WASp in antibody-mediated autoimmune disorders: A therapeutic perspective*

**作者**:Burns SO, et al.

**摘要**:综述WAS蛋白在调节免疫耐受中的作用,提出通过调控WASP相关通路抑制自身抗体产生的治疗策略,如小分子抑制剂或基因编辑技术。

---

注:以上文献信息为示例性概括,实际研究需以具体发表的论文为准。建议通过PubMed或专业数据库检索关键词“Wiskott-Aldrich syndrome antibodies”获取最新文献。

背景信息

Wiskott-Aldrich syndrome (WAS) is a rare X-linked immunodeficiency disorder caused by mutations in the *WAS* gene, which encodes the Wiskott-Aldrich syndrome protein (WASP). WASP plays a critical role in cytoskeletal reorganization and immune cell functions, including T-cell activation, platelet formation, and phagocytosis. Patients with WAS typically present with thrombocytopenia, eczema, recurrent infections, and an increased risk of autoimmune disorders and malignancies.

WAS antibodies refer to autoantibodies that may develop in affected individuals, contributing to autoimmune complications such as autoimmune hemolytic anemia or neutropenia. These autoantibodies arise due to immune dysregulation caused by defective WASP, which impairs immune tolerance and promotes aberrant B-cell activation. Additionally, anti-WASP antibodies are used in research and diagnostics to detect WASP expression in patient samples, aiding in disease confirmation.

Research into WAS has also explored therapeutic antibodies targeting pathways linked to WAS pathology, such as interleukin inhibitors or B-cell-depleting agents, to manage autoimmune symptoms. While hematopoietic stem cell transplantation remains the curative standard, advances in gene therapy and targeted antibody-based treatments offer promising alternatives. Understanding WAS antibodies highlights the interplay between genetic defects, immune dysfunction, and therapeutic strategies in this complex syndrome.

客户数据及评论

折叠内容

大包装询价

×