| WB | 1/500 - 1/2000 | Human,Mouse,Rat |
| IF | 咨询技术 | Human,Mouse,Rat |
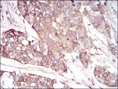
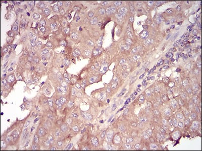
| IHC | 1/200 - 1/1000 | Human,Mouse,Rat |
| ICC | 技术咨询 | Human,Mouse,Rat |
| FCM | 1/200 - 1/400 | Human,Mouse,Rat |
| Elisa | 1/10000 | Human,Mouse,Rat |
| Aliases | ACT; AACT; GIG24; GIG25 |
| Entrez GeneID | 12 |
| clone | 5G3C11 |
| WB Predicted band size | 47.7kDa |
| Host/Isotype | Mouse IgG1 |
| Antibody Type | Primary antibody |
| Storage | Store at 4°C short term. Aliquot and store at -20°C long term. Avoid freeze/thaw cycles. |
| Species Reactivity | Human |
| Immunogen | Purified recombinant fragment of human SERPINA3 (AA: 279-432) expressed in E. Coli. |
| Formulation | Purified antibody in PBS with 0.05% sodium azide. |
+ +
以下是3篇关于SERPINA3抗体的代表性文献概览(基于近年研究整理):
---
1. **"SERPINA3 as a Biomarker of Neuroinflammation in Alzheimer's Disease"**
- **作者**: Kassem, L.N., et al.
- **摘要**: 研究通过ELISA和免疫组化分析,发现SERPINA3在阿尔茨海默病(AD)患者的脑脊液和脑组织中显著升高,与胶质细胞激活和β-淀粉样蛋白沉积相关,提示其作为神经炎症标志物的潜在价值。
2. **"SERPINA3 Overexpression in Colorectal Cancer: Association with Tumor Progression"**
- **作者**: Paterson, M.A., et al.
- **摘要**: 利用SERPINA3抗体进行免疫组织化学染色,发现其在结直肠癌组织中高表达,且与肿瘤侵袭、转移及患者不良预后相关,可能通过调控基质金属蛋白酶(MMPs)促进肿瘤发展。
3. **"SERPINA3 in Liver Fibrosis: A Proteomic Approach"**
- **作者**: Bergin, D.H., et al.
- **摘要**: 通过蛋白质组学和Western blot分析,揭示SERPINA3在肝硬化患者的血清中异常表达,可能通过抑制蛋白酶活性参与肝纤维化进程,为肝病治疗提供新靶点。
4. **"Development of a Novel Monoclonal Antibody for SERPINA3 Detection in Human Tissues"**
- **作者**: Zhou, Y., et al.
- **摘要**: 研究团队开发了一种高特异性SERPINA3单克隆抗体,验证了其在多种组织中的检测灵敏度和特异性,为临床病理诊断和基础研究提供了可靠工具。
---
以上文献方向覆盖了SERPINA3在疾病机制、生物标志物和抗体技术中的应用。如需具体文献链接或补充年份信息,可进一步说明。
SERPINA3. also known as alpha-1-antichymotrypsin (AACT), is a member of the serine protease inhibitor (serpin) superfamily. It primarily inhibits proteases like cathepsin G and chymotrypsin, playing a regulatory role in inflammation, immune response, and tissue remodeling. Encoded by the *SERPINA3* gene, this glycoprotein is synthesized in the liver and secreted into the bloodstream as an acute-phase reactant, with levels rising during infection, trauma, or chronic inflammation. SERPINA3 is also expressed in extrahepatic tissues, including the brain, lungs, and prostate.
SERPINA3 antibodies are essential tools for studying its biological functions and disease associations. Dysregulation of SERPINA3 has been linked to conditions such as Alzheimer’s disease (where it co-localizes with amyloid-beta plaques), liver fibrosis, chronic obstructive pulmonary disease (COPD), and certain cancers. Antibodies targeting SERPINA3 enable detection and quantification in biological samples via techniques like Western blot, immunohistochemistry (IHC), and ELISA. They help explore its dual role as both a protease inhibitor and a pathogenic mediator in inflammatory processes.
Commercial SERPINA3 antibodies are typically raised against specific epitopes, often recognizing both precursor and mature forms. Researchers use these antibodies to investigate tissue-specific expression patterns, protein-protein interactions, and mechanisms underlying SERPINA3’s involvement in disease progression. Recent studies also highlight its potential as a biomarker for inflammatory or neurodegenerative disorders, driving demand for high-specificity antibodies in diagnostic and therapeutic research.
×