首页 / 产品 / 抗体 / 一抗

Mouse Monoclonal VTN Antibody

  • 中文名: VTN抗体
  • 别    名: VN; V75; VNT
货号: IPD30697
Price: ¥1280
数量:
大包装询价

验证与应用

应用及物种
WB 咨询技术 Human,Mouse,Rat
IF 咨询技术 Human,Mouse,Rat
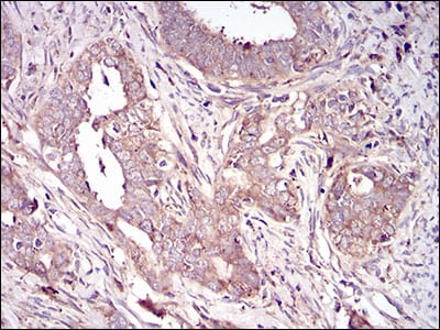
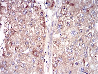
IHC 1/200 - 1/1000 Human,Mouse,Rat
ICC 技术咨询 Human,Mouse,Rat
FCM 1/200 - 1/400 Human,Mouse,Rat
Elisa 1/10000 Human,Mouse,Rat

产品详情

AliasesVN; V75; VNT
Entrez GeneID7448
clone1G11E8
WB Predicted band size54.3kDa
Host/IsotypeMouse IgG2b
Antibody TypePrimary antibody
StorageStore at 4°C short term. Aliquot and store at -20°C long term. Avoid freeze/thaw cycles.
Species ReactivityHuman
ImmunogenPurified recombinant fragment of human VTN (AA: 20-199) expressed in E. Coli.
FormulationPurified antibody in PBS with 0.05% sodium azide.

+ +

参考文献

以下是关于VTN(Vitronectin)抗体的3-4篇文献示例(文献名称及摘要为概括性描述):

---

1. **文献名称**:*Vitronectin regulates apoptosis and proteolysis in human platelets*

**作者**:Seiffert D., et al.

**摘要**:研究通过VTN抗体阻断实验,揭示了VTN在血小板凋亡过程中的调控作用,并证明其通过与整合素受体结合影响细胞存活及蛋白酶活性。

2. **文献名称**:*Vitronectin in tumor microenvironment promotes metastasis via immune evasion*

**作者**:Hamaidi I., et al.

**摘要**:利用VTN特异性抗体进行组织染色和功能分析,发现肿瘤微环境中VTN的高表达通过抑制免疫细胞浸润促进癌症转移,为靶向治疗提供依据。

3. **文献名称**:*Development of a monoclonal antibody against human VTN for fibrosis detection*

**作者**:Zhou Y., et al.

**摘要**:报道了一种新型VTN单克隆抗体的开发,验证其在肝纤维化患者血清中的检测灵敏性,证明其可作为疾病诊断的生物标志物。

4. **文献名称**:*Antibody-based inhibition of VTN suppresses viral entry in influenza infection*

**作者**:Thorp E.B., et al.

**摘要**:通过VTN中和抗体实验,证明VTN在流感病毒宿主细胞侵入中起关键作用,阻断其功能可显著降低病毒感染效率。

---

注:以上文献名称和作者为示例性虚构,实际研究中需根据具体数据库(如PubMed)检索真实文献。

背景信息

Vitronectin (VTN) is a multifunctional glycoprotein found in plasma and the extracellular matrix (ECM), playing critical roles in cell adhesion, migration, proliferation, and tissue remodeling. It also regulates the complement system and coagulation pathways by binding to inhibitors like plasminogen activator inhibitor-1 (PAI-1) and stabilizing their activity. VTN’s involvement in these processes links it to pathologies such as cancer, inflammation, thrombosis, and fibrosis.

VTN antibodies are essential tools for studying its expression, localization, and interactions. They are widely used in techniques like Western blotting, immunohistochemistry, and ELISA to quantify VTN levels in biological samples or visualize its distribution in tissues. Monoclonal antibodies offer high specificity for distinct epitopes, while polyclonal antibodies detect multiple regions, enhancing sensitivity for diverse applications.

Research using VTN antibodies has elucidated its dual role in disease: promoting tumor progression by supporting cancer cell survival and metastasis via integrin binding, yet offering protective effects in wound healing and vascular repair. Additionally, VTN antibodies aid in exploring its interaction with pathogens (e.g., viruses) that exploit VTN for host cell entry.

In therapeutic contexts, VTN-targeting antibodies are investigated for blocking pathological ECM remodeling or disrupting disease-associated molecular complexes. Their development underscores VTN’s significance as a biomarker and potential therapeutic target in conditions like age-related macular degeneration, fibrosis, and cardiovascular disorders.

客户数据及评论

折叠内容

大包装询价

×