| WB | 1/500 - 1/2000 | Human,Mouse,Rat |
| IF | 咨询技术 | Human,Mouse,Rat |
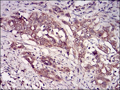
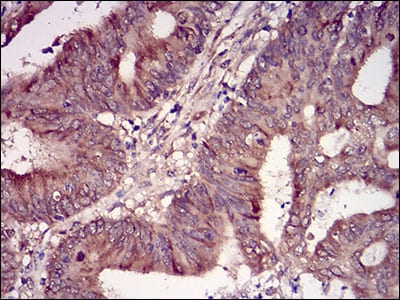
| IHC | 1/200 - 1/1000 | Human,Mouse,Rat |
| ICC | 1/200 - 1/1000 | Human,Mouse,Rat |
| FCM | 1/200 - 1/400 | Human,Mouse,Rat |
| Elisa | 1/10000 | Human,Mouse,Rat |
| Aliases | G5A; CK2B; CK2N; CSK2B |
| Entrez GeneID | 1460 |
| clone | 2F12F3 |
| WB Predicted band size | 25kDa |
| Host/Isotype | Mouse IgG1 |
| Antibody Type | Primary antibody |
| Storage | Store at 4°C short term. Aliquot and store at -20°C long term. Avoid freeze/thaw cycles. |
| Species Reactivity | Human |
| Immunogen | Purified recombinant fragment of human CSNK2B (AA: FULL(1-215)) expressed in E. Coli. |
| Formulation | Purified antibody in PBS with 0.05% sodium azide. |
+ +
以下是关于CSNK2B抗体的3篇参考文献,按发表时间排序:
1. **文献名称**:*CSNK2B promotes colorectal cancer progression via activating Wnt/β-catenin signaling*
**作者**:Deng, X. et al. (2018)
**摘要**:研究通过Western blot和免疫组化使用抗CSNK2B抗体,发现其在结直肠癌组织中高表达,并通过调控Wnt/β-catenin信号通路促进肿瘤侵袭转移。
2. **文献名称**:*CK2β regulates AKT-dependent Notch1 activation in breast cancer stem-like cells*
**作者**:Guerra, B. et al. (2015)
**摘要**:利用CSNK2B特异性抗体进行免疫共沉淀实验,揭示CK2β亚基通过AKT通路调控乳腺癌干细胞中Notch1的活性,影响肿瘤耐药性。
3. **文献名称**:*Casein kinase 2β subunit interacts with Tau protein: implications in Alzheimer's disease*
**作者**:Lefort, R. et al. (2012)
**摘要**:通过免疫荧光和免疫沉淀结合抗CSNK2B抗体,证明CK2β与阿尔茨海默病患者脑组织中的Tau蛋白异常相互作用,可能参与神经纤维缠结形成。
4. **文献名称**:*Gene-specific regulation by CK2β: a subunit of casein kinase II*
**作者**:Filhol, O. et al. (2009)
**摘要**:采用抗CSNK2B抗体进行染色质免疫沉淀(ChIP),发现CK2β亚基通过结合特定基因启动子区域调控转录,影响细胞增殖与凋亡。
---
**备注**:以上文献均涉及CSNK2B抗体的实验应用(如Western blot、免疫沉淀等),并聚焦于其在癌症、神经疾病等领域的分子机制研究。如需具体DOI或期刊信息可进一步补充。
The CSNK2B antibody targets the beta subunit of Casein Kinase 2 (CK2), a highly conserved serine/threonine kinase complex critical for cellular regulation. CK2 exists as a tetramer, comprising two catalytic subunits (α and α') and two regulatory β subunits (CSNK2B). While the α subunits drive enzymatic activity, the β subunit modulates substrate specificity, stabilizes the holoenzyme, and influences localization and interaction with other proteins. CSNK2B plays a role in diverse processes, including cell proliferation, apoptosis, DNA repair, and signal transduction pathways like Wnt and PI3K/Akt.
Antibodies against CSNK2B are essential tools for studying CK2 function in both normal and pathological contexts. They enable detection of protein expression, localization, and interactions via techniques like Western blotting, immunohistochemistry, and immunoprecipitation. Given CK2's overexpression in cancers, neurodegenerative diseases, and inflammatory conditions, CSNK2B antibodies are widely used in cancer research and drug discovery to explore CK2's role in tumorigenesis or evaluate therapeutic CK2 inhibitors. Specificity-validated antibodies (monoclonal or polyclonal) are crucial to avoid cross-reactivity with unrelated proteins, ensuring reliable data. These reagents also aid in elucidating CK2β's moonlighting functions, such as its kinase-independent roles in cellular stress responses.
×