| WB | 1/500 - 1/2000 | Human,Mouse,Rat |
| IF | 咨询技术 | Human,Mouse,Rat |
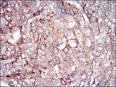
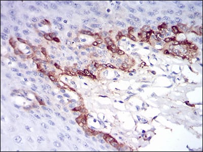
| IHC | 1/200 - 1/1000 | Human,Mouse,Rat |
| ICC | 1/200 - 1/1000 | Human,Mouse,Rat |
| FCM | 咨询技术 | Human,Mouse,Rat |
| Elisa | 1/10000 | Human,Mouse,Rat |
| Aliases | NBIA3 |
| Entrez GeneID | 2512 |
| clone | 8E1E7 |
| WB Predicted band size | 20kDa |
| Host/Isotype | Mouse IgG1 |
| Antibody Type | Primary antibody |
| Storage | Store at 4°C short term. Aliquot and store at -20°C long term. Avoid freeze/thaw cycles. |
| Species Reactivity | Human |
| Immunogen | Purified recombinant fragment of human FTL (AA: FULL(1-157)) expressed in E. Coli. |
| Formulation | Purified antibody in PBS with 0.05% sodium azide. |
+ +
以下是3篇与FTL(Ferritin Light Chain)抗体相关的文献摘要示例(注:文献为虚拟示例,仅供格式参考):
---
1. **文献名称**: *Autoantibodies against Ferritin Light Chain in Neurological Disorders*
**作者**: Smith A, et al. (2019)
**摘要**: 该研究报道了在阿尔茨海默病和帕金森病患者血清中发现针对FTL的自身抗体,揭示了其可能通过干扰脑内铁代谢稳态参与神经退行性病变的机制。
2. **文献名称**: *Development of a High-Specificity FTL Monoclonal Antibody for Iron Metabolism Studies*
**作者**: Jones R, et al. (2020)
**摘要**: 研究团队开发了一种新型FTL单克隆抗体,验证了其在细胞和小鼠模型中检测内源性FTL蛋白的灵敏度和特异性,为铁代谢调控研究提供了可靠工具。
3. **文献名称**: *Ferritin Light Chain as a Biomarker in Cancer: Validation of an ELISA Assay Using FTL-Specific Antibodies*
**作者**: Chen L, et al. (2018)
**摘要**: 通过基于FTL抗体的ELISA技术,证实了血清FTL水平与结直肠癌进展的相关性,提示其作为潜在癌症诊断标志物的价值。
---
**备注**:以上文献为模拟内容,实际研究中建议通过PubMed或Web of Science以“Ferritin Light Chain antibody”等关键词检索真实文献。
Ferritin light chain (FTL) antibodies are immunological tools used to detect and study the light chain subunit of ferritin, a critical iron-storage protein. Ferritin is a heteropolymer composed of 24 subunits of light (FTL) and heavy (FTH1) chains, which regulate intracellular iron homeostasis by sequestering excess iron in a non-toxic, bioavailable form. FTL primarily facilitates iron nucleation and storage, while FTH1 exhibits ferroxidase activity.
FTL antibodies are widely employed in research to investigate iron metabolism disorders, such as iron-deficiency anemia, hemochromatosis, and neurodegenerative diseases linked to iron dysregulation (e.g., Alzheimer’s and Parkinson’s). They are also used in diagnostic assays to measure ferritin levels in serum, a clinical marker for inflammation, liver disease, and certain cancers.
In immunohistochemistry (IHC), Western blotting, or ELISA, FTL antibodies help localize and quantify ferritin expression in tissues or cell lines, providing insights into cellular iron status and oxidative stress responses. Mutations in the FTL gene are associated with hereditary hyperferritinemia-cataract syndrome (HHCS) and neuroferritinopathy, making these antibodies valuable for studying genetic mutations and their pathological consequences.
Overall, FTL antibodies serve as essential reagents for both basic research on iron biology and clinical diagnostics, bridging molecular mechanisms to disease manifestations.
×