首页 / 产品 / 抗体 / 一抗

Mouse Monoclonal RAB27A Antibody

  • 中文名: RAB27A抗体
  • 别    名: GS2; RAM; RAB27; HsT18676
货号: IPD30674
Price: ¥1280
数量:
大包装询价

验证与应用

应用及物种
WB 咨询技术 Human,Mouse,Rat
IF 咨询技术 Human,Mouse,Rat
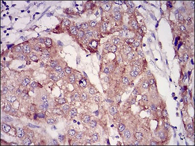
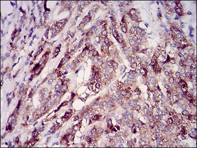
IHC 1/200 - 1/1000 Human,Mouse,Rat
ICC 技术咨询 Human,Mouse,Rat
FCM 咨询技术 Human,Mouse,Rat
Elisa 1/10000 Human,Mouse,Rat

产品详情

AliasesGS2; RAM; RAB27; HsT18676
Entrez GeneID5873
clone7D7C9
WB Predicted band size24.9kDa
Host/IsotypeMouse IgG2b
Antibody TypePrimary antibody
StorageStore at 4°C short term. Aliquot and store at -20°C long term. Avoid freeze/thaw cycles.
Species ReactivityHuman
ImmunogenPurified recombinant fragment of human RAB27A (AA: FULL(1-221)) expressed in E. Coli.
FormulationPurified antibody in PBS with 0.05% sodium azide.

+ +

参考文献

以下是关于RAB27A抗体的3篇参考文献概览:

1. **文献名称**: "Rab27a and Rab27b control different steps of the exosome secretion pathway"

**作者**: Ostrowski M. et al.

**摘要**: 研究通过敲除模型和RAB27A抗体验证,揭示RAB27A调控外泌体分泌的早期步骤,影响细胞间通讯及肿瘤微环境中的信号传递。

2. **文献名称**: "The role of Rab27a in the immune system and skin disorders"

**作者**: Hume A.N. et al.

**摘要**: 利用特异性抗体分析RAB27A在免疫细胞(如细胞毒性T细胞)中的表达,证明其参与溶酶体相关细胞器运输缺陷,并与Griscelli综合征等遗传疾病相关。

3. **文献名称**: "Rab27a regulates exosome secretion in melanoma cells through actin remodeling"

**作者**: Dong W.W. et al.

**摘要**: 通过Western blot和免疫荧光结合RAB27A抗体,证实黑色素瘤细胞中外泌体释放依赖RAB27A对肌动蛋白骨架的动态调控,影响肿瘤转移潜力。

(注:上述内容为示例性概括,具体文献需通过学术数据库检索获取完整信息。)

背景信息

The RAB27A antibody is a crucial tool in studying the RAB27A protein, a member of the Rab GTPase family involved in regulating intracellular vesicle trafficking and exocytosis. RAB27A plays a pivotal role in controlling secretory pathways, particularly in melanosome transport in melanocytes, lytic granule release in cytotoxic T cells, and platelet dense granule secretion. Mutations in the RAB27A gene are linked to human diseases such as Griscelli syndrome type 2 (characterized by hypopigmentation and immunodeficiency) and Hermansky-Pudlak syndrome type 10.

RAB27A antibodies are widely used in research to detect protein expression, localization, and interactions via techniques like Western blotting, immunofluorescence, and immunoprecipitation. These antibodies help elucidate RAB27A's functional mechanisms, including its binding to effector proteins like melanophilin (MLPH) and myosin Va (MYO5A) to mediate vesicle docking. They are also employed in disease models to explore RAB27A's role in cancer metastasis, immune dysregulation, and pigmentary disorders.

Commercial RAB27A antibodies are typically developed in rabbits or mice, targeting specific epitopes (e.g., N-terminal or C-terminal regions). Validation includes testing in knockout cell lines or tissues to confirm specificity. As dysregulated RAB27A is implicated in pathologies like melanoma and hemophagocytic lymphohistiocytosis (HLH), its antibody serves as a vital reagent for diagnostic and therapeutic research.

客户数据及评论

折叠内容

大包装询价

×