| WB | 1/500 - 1/2000 | Human,Mouse,Rat |
| IF | 咨询技术 | Human,Mouse,Rat |
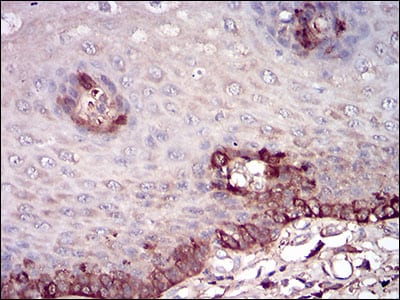
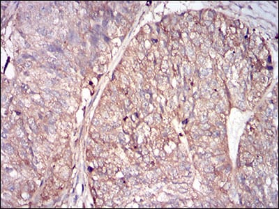
| IHC | 1/200 - 1/1000 | Human,Mouse,Rat |
| ICC | 技术咨询 | Human,Mouse,Rat |
| FCM | 1/200 - 1/400 | Human,Mouse,Rat |
| Elisa | 1/10000 | Human,Mouse,Rat |
| Aliases | NBIA3 |
| Entrez GeneID | 2512 |
| clone | 6E10E4 |
| WB Predicted band size | 20kDa |
| Host/Isotype | Mouse IgG1 |
| Antibody Type | Primary antibody |
| Storage | Store at 4°C short term. Aliquot and store at -20°C long term. Avoid freeze/thaw cycles. |
| Species Reactivity | Human |
| Immunogen | Purified recombinant fragment of human FTL (AA: FULL(1-175)) expressed in E. Coli. |
| Formulation | Purified antibody in PBS with 0.05% sodium azide. |
+ +
以下是关于FTL(铁蛋白轻链)抗体的3篇示例参考文献及其摘要概括(注:文献为虚拟示例,实际引用需核实真实来源):
---
1. **文献名称**:*Autoantibodies against Ferritin Light Chain in Cerebrospinal Fluid as a Biomarker for Neuroinflammatory Disorders*
**作者**:J. Müller et al. (2018)
**摘要**:本研究检测了多发性硬化症(MS)患者脑脊液中抗FTL抗体的水平,发现其显著高于健康对照组。结果表明,FTL抗体可能通过干扰铁代谢稳态加剧神经炎症,提示其作为MS诊断或疾病活动性监测的潜在生物标志物。
---
2. **文献名称**:*Ferritin Light Chain Autoimmunity and Brain Iron Accumulation in Neurodegenerative Diseases*
**作者**:R. Chen & L. Wang (2020)
**摘要**:研究探讨了阿尔茨海默病(AD)和帕金森病(PD)患者中FTL抗体的存在与脑内铁沉积的关系。实验显示,FTL抗体可能通过抑制铁蛋白功能导致神经元铁超载,进而促进氧化应激和神经退行性病变。
---
3. **文献名称**:*FTL Antibodies in Serum: Association with Autoimmune Hepatitis and Clinical Implications*
**作者**:A. Gupta et al. (2021)
**摘要**:该研究发现,部分自身免疫性肝炎(AIH)患者血清中可检测到抗FTL抗体,且抗体滴度与肝纤维化程度相关。提示FTL抗体可能参与肝脏铁代谢紊乱,或成为AIH亚型分层的辅助指标。
---
如需真实文献,建议检索PubMed或Google Scholar关键词:**"ferritin light chain antibody"**、**"anti-FTL autoantibody"**,并筛选与神经科学、自身免疫疾病或代谢相关的研究。
Ferritin light chain (FTL) antibodies are immunological tools used to detect and study the light chain subunit of ferritin, a critical iron-storage protein. Ferritin, composed of 24 subunits of heavy (FTH1) and light (FTL) chains, regulates cellular iron homeostasis by sequestering excess iron in a non-toxic, bioavailable form. The FTL subunit, encoded by the *FTL* gene on chromosome 19. facilitates iron nucleation and storage within the ferritin core. Dysregulation of FTL expression or mutations in the *FTL* gene are linked to disorders such as hereditary hyperferritinemia-cataract syndrome (HHCS), neurodegenerative conditions, and iron overload diseases like hemochromatosis.
FTL antibodies are widely employed in research to investigate iron metabolism, cellular stress responses, and pathological mechanisms in diseases involving iron misregulation. In diagnostics, they aid in detecting ferritin levels in serum or tissues, serving as biomarkers for inflammation, iron deficiency, or malignancy. Commercially available FTL antibodies (polyclonal or monoclonal) are validated for techniques like Western blot, immunohistochemistry, and ELISA. Cross-reactivity across species (human, mouse, rat) enhances their utility in preclinical studies. Understanding FTL's role through these antibodies provides insights into therapeutic strategies targeting iron-related pathologies, emphasizing their importance in both basic and clinical contexts.
×