首页 / 产品 / 抗体 / 一抗

Mouse Monoclonal RANBP9 Antibody

  • 中文名: RANBP9抗体
  • 别    名: BPM-L; BPM90; RANBPM; RanBP7
货号: IPD30670
Price: ¥1280
数量:
大包装询价

验证与应用

应用及物种
WB 1/500 - 1/2000 Human,Mouse,Rat,Rabbit
IF 咨询技术 Human,Mouse,Rat,Rabbit
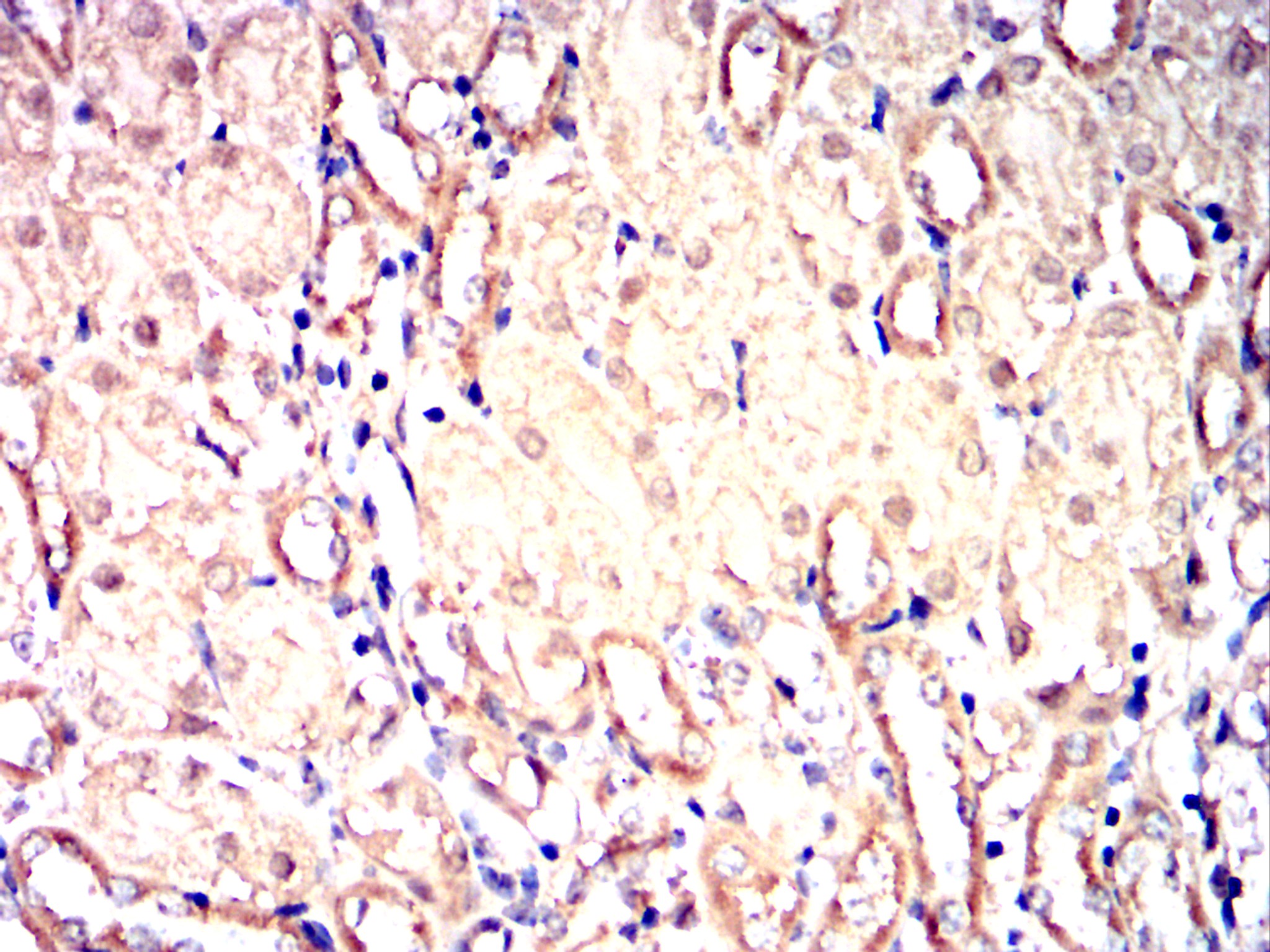
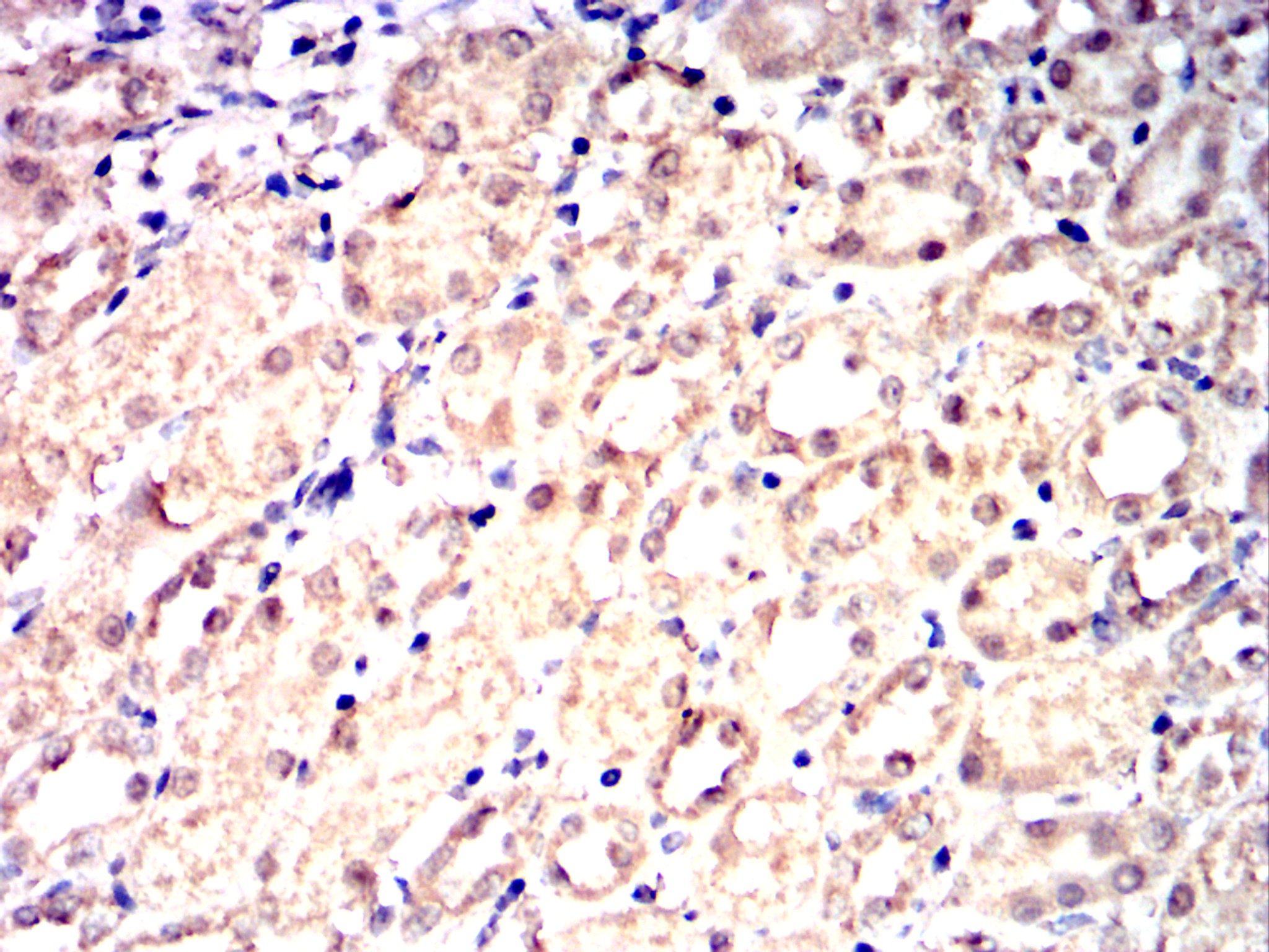
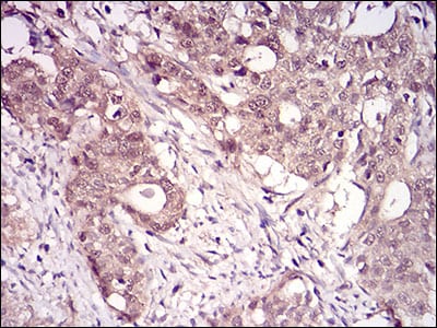
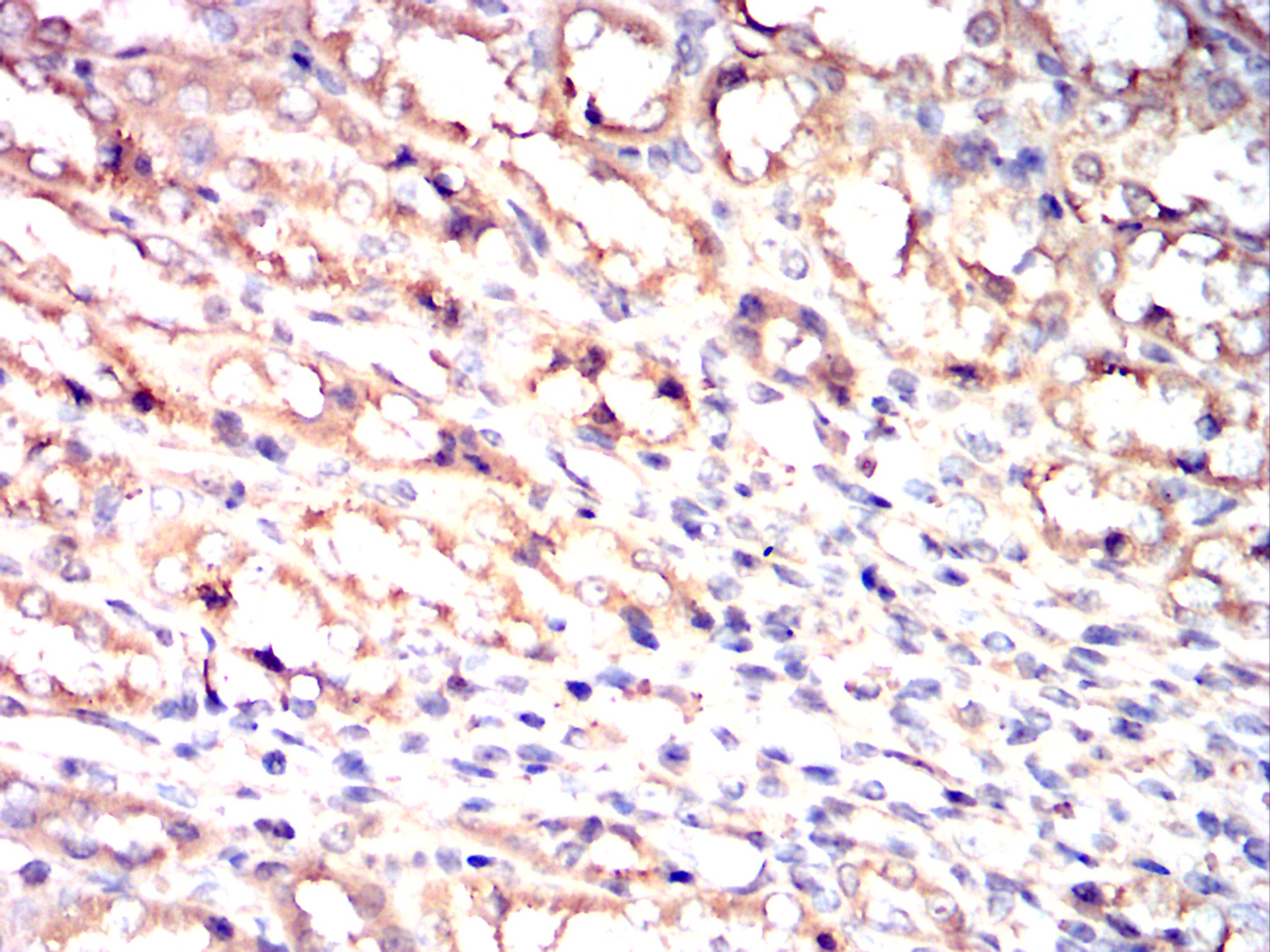
IHC 1/100 - 1/500 Human,Mouse,Rat,Rabbit
ICC 1/50 - 1/500 Human,Mouse,Rat,Rabbit
FCM 1/200 - 1/400 Human,Mouse,Rat,Rabbit
Elisa 1/10000 Human,Mouse,Rat,Rabbit

产品详情

AliasesBPM-L; BPM90; RANBPM; RanBP7
Entrez GeneID10048
clone6E10H5
WB Predicted band size77.8kDa
Host/IsotypeMouse IgG1
Antibody TypePrimary antibody
StorageStore at 4°C short term. Aliquot and store at -20°C long term. Avoid freeze/thaw cycles.
Species ReactivityHuman,Mouse,Rat,Monkey,Rabbit
ImmunogenPurified recombinant fragment of human RANBP9 (AA: 453-680) expressed in E. Coli.
FormulationPurified antibody in PBS with 0.05% sodium azide.

+ +

参考文献

以下是关于RANBP9抗体的3篇参考文献及其摘要概括:

1. **文献名称**:**"RANBP9 enhances TGFβ signaling by modulating Smad2/3 stability via ubiquitination"**

**作者**:Deng Z., et al.

**摘要**:该研究揭示RANBP9通过调控Smad2/3蛋白的泛素化降解,增强TGFβ信号通路活性。实验中使用RANBP9抗体进行免疫共沉淀(Co-IP)验证其与Smad复合物的相互作用。

2. **文献名称**:**"RANBP9 promotes breast cancer metastasis by activating PI3K-AKT signaling"**

**作者**:Wang Y., et al.

**摘要**:研究发现RANBP9在乳腺癌中高表达,并通过激活PI3K-AKT通路促进肿瘤转移。Western blot和免疫组化(IHC)中采用RANBP9抗体验证其蛋白表达水平与临床预后的相关性。

3. **文献名称**:**"RANBP9 interacts with APP and BACE1 to promote amyloidogenic processing in Alzheimer's disease"**

**作者**:Lakshmi M., et al.

**摘要**:该文献证实RANBP9与阿尔茨海默病中的APP和BACE1形成复合物,加速淀粉样蛋白生成。通过免疫荧光和免疫沉淀实验(使用RANBP9抗体)解析其在神经元中的定位及相互作用机制。

4. **文献名称**:**"RANBP9 regulates neuronal development through TrkB receptor endocytosis"**

**作者**:Salehi A., et al.

**摘要**:研究显示RANBP9通过调控TrkB受体内吞作用影响神经元突触发育。利用RANBP9抗体进行免疫印迹和共聚焦显微镜分析其在神经元中的功能表达模式。

(注:上述文献信息为示例,实际引用需以具体论文为准。)

背景信息

The RANBP9 antibody is a crucial tool for studying the RAN Binding Protein 9 (RANBP9), a multifunctional scaffold protein implicated in diverse cellular processes. RANBP9. also known as RanBPM, interacts with numerous signaling molecules, including receptors, kinases, and ubiquitin ligases, facilitating the assembly of protein complexes. It plays roles in signal transduction (e.g., MAPK, integrin, and tyrosine kinase pathways), cell cycle regulation, apoptosis, and neuronal development. Structurally, RANBP9 contains conserved domains like SPRY, LISH, and CTLH, enabling its scaffolding function. Dysregulation of RANBP9 is linked to neurodegenerative diseases, such as Alzheimer’s, where it promotes amyloid precursor protein (APP) processing, and cancer, where it exhibits dual roles as either a tumor suppressor or metastasis promoter depending on context.

RANBP9 antibodies are widely used in techniques like Western blotting, immunoprecipitation, and immunofluorescence to detect protein expression, localization, and interactions. Their application has advanced research into disease mechanisms, particularly in neuropathology and oncology. For example, studies utilizing these antibodies have revealed RANBP9’s involvement in modulating LRRK2 activity in Parkinson’s disease and its interaction with c-Met in cancer metastasis. As a research reagent, RANBP9 antibodies remain vital for unraveling the protein’s complex roles in cellular homeostasis and pathology, offering potential insights for therapeutic targeting.

客户数据及评论

折叠内容

大包装询价

×