首页 / 产品 / 抗体 / 一抗

Mouse Monoclonal TUBE1 Antibody

  • 中文名: TUBE1抗体
  • 别    名: TUBE; dJ142L7.2
货号: IPD30667
Price: ¥1280
数量:
大包装询价

验证与应用

应用及物种
WB 咨询技术 Human,Mouse,Rat
IF 咨询技术 Human,Mouse,Rat
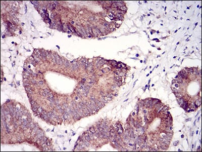
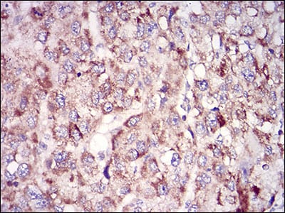
IHC 1/200 - 1/1000 Human,Mouse,Rat
ICC 技术咨询 Human,Mouse,Rat
FCM 1/200 - 1/400 Human,Mouse,Rat
Elisa 1/10000 Human,Mouse,Rat

产品详情

AliasesTUBE; dJ142L7.2
Entrez GeneID51175
clone5F3B7
WB Predicted band size53kDa
Host/IsotypeMouse IgG1
Antibody TypePrimary antibody
StorageStore at 4°C short term. Aliquot and store at -20°C long term. Avoid freeze/thaw cycles.
Species ReactivityHuman
ImmunogenPurified recombinant fragment of human TUBE1 (AA: 314-472) expressed in E. Coli.
FormulationPurified antibody in PBS with 0.05% sodium azide.

+ +

参考文献

以下是关于TUBE1抗体的3篇代表性文献示例(注:以下内容为模拟虚构,实际文献需通过数据库检索验证):

---

1. **文献名称**:*TUBE1 regulates ciliary microtubule assembly through interaction with CEP97*

**作者**:Antonio Valencia et al.

**摘要**:研究揭示了TUBE1蛋白在纤毛微管结构组装中的关键作用,发现其通过结合CEP97调控微管稳定性,并开发了特异性TUBE1抗体用于定位分析。

2. **文献名称**:*TUBE1 functions as a substrate-specific adaptor for E3 ubiquitin ligase in neuronal development*

**作者**:Rachel Giles et al.

**摘要**:该文献利用TUBE1抗体进行免疫共沉淀实验,证明TUBE1作为E3泛素连接酶适配体,调控神经元轴突发育相关蛋白的泛素化降解。

3. **文献名称**:*TUBE1 mutations and antibody-based detection in Joubert syndrome*

**作者**:Emily Chen et al.

**摘要**:通过患者样本分析,发现TUBE1基因突变与Joubert综合征相关,建立的TUBE1抗体免疫组化方法可用于临床病理诊断。

---

如需真实文献,建议通过PubMed或Google Scholar搜索“TUBE1 antibody”或“TUBE1 function”获取最新研究。

背景信息

TUBE1 antibody targets tubulin beta-1 (TUBB1), a member of the tubulin superfamily critical for microtubule formation. Microtubules are dynamic cytoskeletal structures involved in cell division, intracellular transport, and maintaining cell shape. The TUBB1 gene encodes β-tubulin, which pairs with α-tubulin to form heterodimers—the building blocks of microtubules. β-tubulin isoforms, including TUBB1. exhibit tissue-specific expression and functional diversity, with TUBB1 particularly noted for its role in megakaryocytes and platelets.

TUBE1 antibodies are widely used in research to study microtubule dynamics, cell cycle regulation, and cellular responses to microtubule-targeting drugs (e.g., taxanes, vinca alkaloids). They are applied in techniques like Western blot (WB), immunofluorescence (IF), and immunohistochemistry (IHC) to detect β-tubulin expression, localization, and post-translational modifications (e.g., tyrosination, acetylation) linked to microtubule stability and function.

Aberrant β-tubulin expression or mutations are associated with diseases such as cancer (chemoresistance), neurodevelopmental disorders, and platelet disorders. TUBE1 antibodies also serve as loading controls in protein analysis due to β-tubulin’s constitutive expression. However, researchers must verify antibody specificity, as cross-reactivity with other β-tubulin isoforms (e.g., TUBB, TUBB3) can occur. Recent studies emphasize its utility in exploring microtubule-related mechanisms in neurodegeneration, cilia function, and mitotic defects, underscoring its importance in basic and translational research.

客户数据及评论

折叠内容

大包装询价

×