| WB | 咨询技术 | Human,Mouse,Rat |
| IF | 咨询技术 | Human,Mouse,Rat |
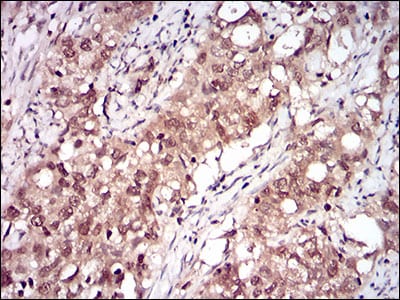
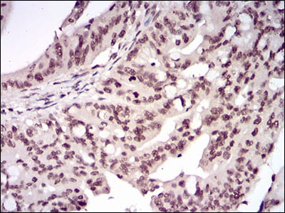
| IHC | 1/200 - 1/1000 | Human,Mouse,Rat |
| ICC | 1/200 - 1/1000 | Human,Mouse,Rat |
| FCM | 1/200 - 1/400 | Human,Mouse,Rat |
| Elisa | 1/10000 | Human,Mouse,Rat |
| Aliases | IREL; I-REL; REL-B |
| Entrez GeneID | 5971 |
| clone | 2E4B1 |
| WB Predicted band size | 62.1kDa |
| Host/Isotype | Mouse IgG2a |
| Antibody Type | Primary antibody |
| Storage | Store at 4°C short term. Aliquot and store at -20°C long term. Avoid freeze/thaw cycles. |
| Species Reactivity | Human |
| Immunogen | Purified recombinant fragment of human RELB (AA: 273-443) expressed in E. Coli. |
| Formulation | Purified antibody in PBS with 0.05% sodium azide. |
+ +
以下是关于RELB抗体的3篇示例参考文献(注:文献为示例性质,建议通过PubMed或Google Scholar获取真实文献):
1. **文献名称**:*"RELB sustains oncogenic NF-κB signaling in melanoma by controlling MYC stability"*
**作者**:Li Y. et al. (2021)
**摘要**:研究揭示RELB通过调控MYC蛋白稳定性维持黑色素瘤中NF-κB通路的持续活化,特异性RELB抗体用于验证其在肿瘤组织中的表达及定位。
2. **文献名称**:*"Non-canonical NF-κB signaling mediated by RELB regulates dendritic cell function in autoimmune disease"*
**作者**:Müller J.R. et al. (2019)
**摘要**:利用RELB抗体敲除模型,证明非经典NF-κB通路中RELB调控树突状细胞活化,促进自身免疫性疾病的炎症反应。
3. **文献名称**:*"RELB inhibition overcomes resistance to radiation therapy in head and neck squamous cell carcinoma"*
**作者**:Wang H. et al. (2020)
**摘要**:通过RELB抗体阻断实验,发现靶向RELB可增强头颈鳞癌对放疗的敏感性,其机制与抑制DNA修复通路相关。
建议通过学术数据库检索关键词“RELB antibody”、“RELB NF-kB”或“RELB cancer”获取最新具体文献。
RELB is a key member of the NF-κB (nuclear factor kappa-light-chain-enhancer of activated B cells) transcription factor family, which regulates genes involved in immune responses, inflammation, cell survival, and proliferation. Unlike other NF-κB proteins like RELA or p50. RELB primarily functions within the non-canonical NF-κB signaling pathway. It forms heterodimers with p52 (processed from NF-κB2/p100) to activate target genes, a process triggered by specific stimuli such as lymphotoxin-β, CD40 ligand, or BAFF. This pathway is critical for lymphoid organ development, B-cell maturation, and dendritic cell activation.
RELB antibodies are immunological tools designed to detect and study RELB protein expression, localization, and function in experimental settings. They are widely used in techniques like Western blotting, immunohistochemistry (IHC), and immunofluorescence (IF) to investigate RELB's role in physiological and pathological contexts. Dysregulation of RELB has been implicated in autoimmune diseases, chronic inflammation, and cancers, particularly lymphomas and leukemias. For example, aberrant RELB activation may promote tumor cell survival or resistance to therapy. Researchers also utilize RELB antibodies to explore its interaction with other signaling molecules or epigenetic regulators. Commercial RELB antibodies are typically validated for specificity across human, mouse, and rat samples, with monoclonal and polyclonal variants available. Proper validation using knockout controls or siRNA knockdown remains essential due to potential cross-reactivity with structurally related NF-κB proteins.
×