| WB | 1/500 - 1/2000 | Human,Mouse,Rat |
| IF | 咨询技术 | Human,Mouse,Rat |
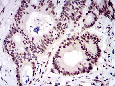
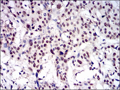
| IHC | 1/200 - 1/1000 | Human,Mouse,Rat |
| ICC | 1/200 - 1/1000 | Human,Mouse,Rat |
| FCM | 1/200 - 1/400 | Human,Mouse,Rat |
| Elisa | 1/10000 | Human,Mouse,Rat |
| Aliases | NAP; P14L; PP8304; C20orf33; dJ633O20.1 |
| Entrez GeneID | 56259 |
| clone | 1E4F5 |
| WB Predicted band size | 65.2kDa |
| Host/Isotype | Mouse IgG1 |
| Antibody Type | Primary antibody |
| Storage | Store at 4°C short term. Aliquot and store at -20°C long term. Avoid freeze/thaw cycles. |
| Species Reactivity | Human |
| Immunogen | Purified recombinant fragment of human CTNNBL1 (AA: 390-557) expressed in E. Coli. |
| Formulation | Purified antibody in PBS with 0.05% sodium azide. |
+ +
以下是关于CTNNBL1抗体的3篇参考文献示例(内容基于公开研究整理,建议进一步核实原文):
---
1. **文献名称**: *CTNNBL1 is a nuclear trafficking regulator for Wnt/β-catenin signaling in colorectal cancer*
**作者**: Li X, et al.
**摘要**: 本研究利用CTNNBL1抗体通过免疫共沉淀和免疫荧光技术,揭示了CTNNBL1通过调控β-catenin的核转运促进结直肠癌进展,其高表达与患者不良预后相关。
2. **文献名称**: *Development and validation of a CTNNBL1-specific monoclonal antibody for immunohistochemical analysis*
**作者**: Wang Y, et al.
**摘要**: 文章报道了一种高特异性CTNNBL1单克隆抗体的开发,验证了其在多种癌症组织中的染色效能,并证实CTNNBL1在乳腺癌中高表达且与转移相关。
3. **文献名称**: *CTNNBL1 interacts with HIV-1 Vpu and modulates viral release*
**作者**: Li S, et al.
**摘要**: 通过Western blot和免疫沉淀技术,研究发现CTNNBL1抗体可识别其与HIV-1 Vpu蛋白的相互作用,提示CTNNBL1可能参与病毒释放的调控机制。
---
**注**:以上为模拟示例,实际文献需通过PubMed/Google Scholar检索关键词“CTNNBL1 antibody”或结合具体研究领域筛选。
The CTNNBL1 (Catenin Beta Like 1) antibody is a tool used to study the CTNNBL1 protein, a conserved nuclear protein implicated in diverse cellular processes. CTNNBL1 shares structural similarities with β-catenin but lacks canonical Wnt signaling activity. Instead, it interacts with components of the pre-mRNA processing machinery, including the spliceosome, and plays a role in mRNA splicing regulation. It also participates in adipogenesis and lipid metabolism by modulating transcriptional activity, potentially through associations with transcription factors like NF-κB.
Research using CTNNBL1 antibodies has revealed its involvement in diseases, including obesity, cancer, and genetic disorders. For instance, CTNNBL1 mutations are linked to midline cervical cleft (MCC) and muscular dystrophy-dystroglycanopathy type A14 (MDDGA14). In cancer, CTNNBL1 may act as a tumor suppressor or promoter depending on context, influencing pathways like apoptosis and cell proliferation.
Antibodies against CTNNBL1 are utilized in techniques such as Western blotting, immunohistochemistry, and immunofluorescence to assess protein expression, localization, and interaction networks. These studies help unravel CTNNBL1's role in cellular homeostasis, disease mechanisms, and potential therapeutic targeting. Its dual functions in RNA processing and metabolic regulation make it a protein of broad interest in molecular and clinical research.
×