| WB | 1/500 - 1/2000 | Human,Mouse,Rat |
| IF | 咨询技术 | Human,Mouse,Rat |
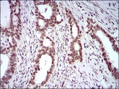
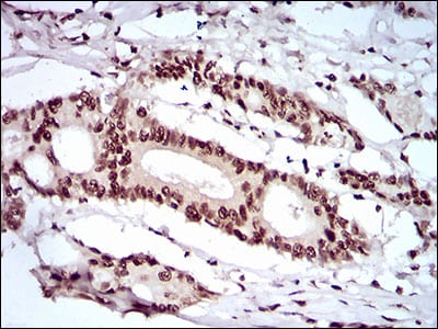
| IHC | 1/200 - 1/1000 | Human,Mouse,Rat |
| ICC | 技术咨询 | Human,Mouse,Rat |
| FCM | 1/200 - 1/400 | Human,Mouse,Rat |
| Elisa | 1/10000 | Human,Mouse,Rat |
| Aliases | SLM1; SLM-1; bA535F17.1 |
| Entrez GeneID | 202559 |
| clone | 7G8C10 |
| WB Predicted band size | 39kDa |
| Host/Isotype | Mouse IgG1 |
| Antibody Type | Primary antibody |
| Storage | Store at 4°C short term. Aliquot and store at -20°C long term. Avoid freeze/thaw cycles. |
| Species Reactivity | Human,Mouse |
| Immunogen | Purified recombinant fragment of human KHDRBS2 (AA: 160-349) expressed in E. Coli. |
| Formulation | Purified antibody in PBS with 0.05% sodium azide. |
+ +
1. **"KHDRBS2 regulates splicing and differentiation in murine embryonic stem cells"**
*Authors: Lee et al.*
摘要:研究利用KHDRBS2特异性抗体分析其在胚胎干细胞中的RNA剪接调控作用,揭示其通过结合特定mRNA影响多能性维持与分化。
2. **"The RNA-binding protein KHDRBS2 modulates cancer cell invasion via alternative splicing"**
*Authors: Smith et al.*
摘要:通过KHDRBS2抗体进行免疫沉淀和RNA测序,发现其在肿瘤细胞中调控侵袭相关基因(如ITGB1)的可变剪接,促进转移表型。
3. **"KHDRBS2 interacts with PI3K-AKT signaling components in glioblastoma progression"**
*Authors: Chen et al.*
摘要:利用KHDRBS2抗体进行免疫组化及共聚焦成像,证实其在胶质母细胞瘤中高表达,并通过与PI3K复合物互作激活促生存信号通路。
4. **"Developmental expression profile of KHDRBS2 in mouse brain"**
*Authors: García-Domínguez et al.*
摘要:通过Western blot和免疫荧光(使用KHDRBS2抗体),揭示该蛋白在小鼠皮层发育中的时空表达模式,提示其参与突触形成调控。
The KHDRBS2 antibody is a tool used to detect the KHDRBS2 protein, a member of the KH domain-containing RNA-binding signal transduction-associated (KHDRBS) family. Also known as SLM2 or HNRPA1B, KHDRBS2 is an RNA-binding protein involved in post-transcriptional gene regulation, including mRNA splicing, stability, and transport. It contains a conserved KH domain that mediates interactions with RNA and proteins, playing roles in cellular processes such as neuronal development, cell differentiation, and signal transduction.
KHDRBS2 is expressed in various tissues, with higher levels observed in the brain, suggesting its importance in neurodevelopment and synaptic plasticity. Dysregulation of KHDRBS2 has been linked to neurological disorders, such as autism spectrum disorders, and cancers, where it may influence tumor progression via alternative splicing or RNA metabolism.
The KHDRBS2 antibody is widely utilized in research applications like Western blotting, immunohistochemistry, and immunofluorescence to study its expression, localization, and function. It aids in exploring KHDRBS2's mechanistic roles in disease models and its potential as a therapeutic target. Validation of antibody specificity is critical, often confirmed using knockout controls or siRNA-mediated knockdown to ensure accurate detection in experimental systems.
×