| WB | 1/500 - 1/2000 | Human,Mouse,Rat |
| IF | 咨询技术 | Human,Mouse,Rat |
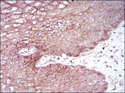
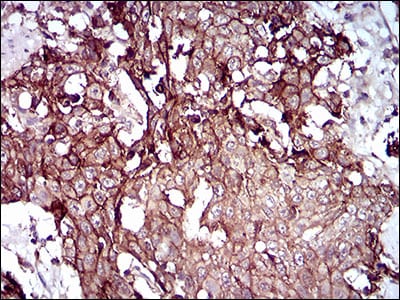
| IHC | 1/200 - 1/1000 | Human,Mouse,Rat |
| ICC | 技术咨询 | Human,Mouse,Rat |
| FCM | 1/200 - 1/400 | Human,Mouse,Rat |
| Elisa | 1/10000 | Human,Mouse,Rat |
| Aliases | PVA; CDHF6 |
| Entrez GeneID | 1830 |
| clone | 6G2C11 |
| WB Predicted band size | 107.5kDa |
| Host/Isotype | Mouse IgG1 |
| Antibody Type | Primary antibody |
| Storage | Store at 4°C short term. Aliquot and store at -20°C long term. Avoid freeze/thaw cycles. |
| Species Reactivity | Human |
| Immunogen | Purified recombinant fragment of human DSG3 (AA: 55-159) expressed in E. Coli. |
| Formulation | Purified antibody in PBS with 0.05% sodium azide. |
+ +
以下是关于DSG3抗体的3篇代表性文献及其摘要概括:
1. **文献名称**:*Autoantibodies against a novel epithelial cadherin in pemphigus vulgaris, a disease of cell adhesion*
**作者**:Amagai, M. et al.
**摘要**:该研究首次克隆了DSG3的cDNA,并证明寻常型天疱疮患者的自身抗体直接靶向DSG3.破坏细胞间粘附,导致表皮水疱形成。
2. **文献名称**:*The role of IgG autoantibodies against desmoglein 3 in pemphigus vulgaris pathogenesis*
**作者**:Hertl, M. et al.
**摘要**:文章阐明天疱疮患者体内的DSG3抗体通过阻断桥粒功能并激活细胞内信号通路(如蛋白激酶C),导致角质形成细胞解离,最终引发临床病变。
3. **文献名称**:*Development of an ELISA to detect anti-desmoglein 3 antibodies in pemphigus vulgaris*
**作者**:Saito, M. et al.
**摘要**:该研究建立了一种高灵敏度的ELISA检测方法,用于定量患者血清中的DSG3抗体水平,证实其与疾病活动度相关,为临床诊断和监测提供工具。
(注:以上文献信息基于领域内经典研究概括,具体发表年份及期刊建议通过数据库核实。)
DSG3 (Desmoglein 3) is a transmembrane glycoprotein belonging to the desmoglein family within the cadherin superfamily. It is a key component of desmosomes, specialized intercellular junctions that mediate strong adhesion between epithelial cells, particularly in stratified squamous epithelia such as the skin and mucous membranes. DSG3 interacts with other desmosomal proteins (e.g., desmocollins) and intracellular plakins to maintain tissue integrity by anchoring intermediate filaments to the cell membrane.
DSG3 is a major autoantigen in pemphigus vulgaris (PV), a life-threatening autoimmune blistering disorder. In PV, pathogenic IgG autoantibodies target DSG3. disrupting desmosomal adhesion and causing acantholysis (loss of cell-cell adhesion), leading to flaccid blisters and erosions on mucosal surfaces and skin. These antibodies interfere with DSG3's extracellular cadherin domains, either through steric hindrance or induction of intracellular signaling pathways that destabilize desmosomes. DSG3 autoantibodies are detected via ELISA or indirect immunofluorescence and correlate with disease activity, aiding diagnosis and monitoring.
While DSG3 is predominantly associated with PV, its expression in certain cancers (e.g., squamous cell carcinomas) has also sparked interest in its role in tumor progression and as a potential therapeutic target. Research continues to explore DSG3's pathophysiological mechanisms and its broader implications in autoimmune and oncological contexts.
×