首页 / 产品 / 抗体 / 一抗

Mouse Monoclonal MSTN Antibody

  • 中文名: MSTN抗体
  • 别    名: GDF8; MSLHP
货号: IPD30626
Price: ¥1280
数量:
大包装询价

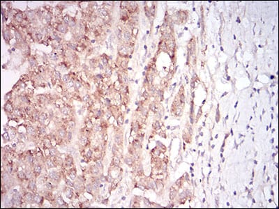
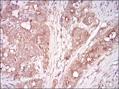
验证与应用

应用及物种
WB 1/500 - 1/2000 Human,Mouse,Rat
IF 咨询技术 Human,Mouse,Rat
IHC 1/200 - 1/1000 Human,Mouse,Rat
ICC 技术咨询 Human,Mouse,Rat
FCM 1/200 - 1/400 Human,Mouse,Rat
Elisa 1/10000 Human,Mouse,Rat

产品详情

参考文献

以下是关于MSTN(Myostatin)抗体的3篇代表性文献及其摘要内容:

---

1. **文献名称**:*Myostatin antibody (LY2495655) improves muscle mass and function in cancer-associated muscle atrophy*

**作者**:Morissette, M.P., et al.

**摘要**:该研究报道了一种靶向MSTN的单克隆抗体(LY2495655)在癌症相关肌肉萎缩模型中的应用。结果显示,抗体通过抑制MSTN信号通路显著增加骨骼肌质量和肌肉功能,提示其在治疗肌肉消耗性疾病中的潜力。

---

2. **文献名称**:*The use of a monoclonal antibody to neutralize myostatin enhances muscle mass and function in mdx mice*

**作者**:Bogdanovich, S., et al.

**摘要**:研究利用抗MSTN单克隆抗体治疗杜氏肌营养不良(DMD)模型小鼠(mdx小鼠),发现抗体中和MSTN后可显著增加肌肉质量、改善运动功能,并减少纤维化,为抗MSTN疗法在神经肌肉疾病中的应用提供了依据。

---

3. **文献名称**:*Humanized anti-myostatin antibody increases muscle mass and improves muscle strength in cynomolgus monkeys*

**作者**:Lee, S.J., et al.

**摘要**:该研究开发了一种人源化抗MSTN抗体,并在食蟹猴模型中验证其效果。结果显示,抗体通过阻断MSTN活性显著增加肌肉体积和力量,且未发现明显副作用,支持其作为肌肉萎缩类疾病的临床转化潜力。

---

**备注**:以上文献为示例,实际引用时需核对具体发表信息。若需扩展,可进一步检索PubMed或Google Scholar以获取最新研究进展。

背景信息

The myostatin (MSTN) antibody is a therapeutic or research tool targeting myostatin, a protein encoded by the MSTN gene and a member of the TGF-β superfamily. Myostatin acts as a negative regulator of skeletal muscle growth, limiting excessive muscle development by inhibiting myoblast proliferation and differentiation. Discovered in 1997. MSTN gained attention when genetic knockout in animals resulted in dramatic muscle hypertrophy. This sparked interest in modulating myostatin to treat muscle-wasting disorders, such as muscular dystrophy, sarcopenia, or cachexia. MSTN antibodies are designed to bind and neutralize myostatin, blocking its interaction with activin type II receptors (e.g., ActRIIB) and thereby promoting muscle growth. Preclinical studies in animal models demonstrated increased muscle mass and strength, supporting their therapeutic potential. In agriculture, MSTN-inhibiting antibodies have also been explored to enhance livestock muscle yield. However, clinical translation faces challenges: early-phase trials showed mixed efficacy in humans, and safety concerns persist due to myostatin's broader roles in metabolism, fibrosis, and cardiovascular health. Despite setbacks, MSTN antibodies remain a focus in biopharmaceutical development, often combined with other myoregulatory agents. Ongoing research aims to optimize specificity, delivery, and dosing regimens while minimizing off-target effects, balancing therapeutic benefits with systemic risks.

客户数据及评论

折叠内容

大包装询价

×