| WB | 1/500 - 1/2000 | Human,Mouse,Rat |
| IF | 咨询技术 | Human,Mouse,Rat |
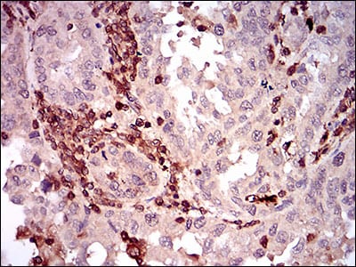
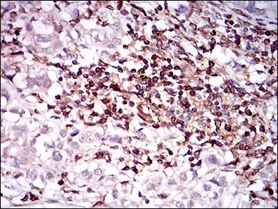
| IHC | 1/200 - 1/1000 | Human,Mouse,Rat |
| ICC | 1/200 - 1/1000 | Human,Mouse,Rat |
| FCM | 1/200 - 1/400 | Human,Mouse,Rat |
| Elisa | 1/10000 | Human,Mouse,Rat |
| Aliases | GP110; LAMP4; SCARD1 |
| Entrez GeneID | 968 |
| clone | 3F7D3 |
| WB Predicted band size | 37.4kDa |
| Host/Isotype | Mouse IgG1 |
| Antibody Type | Primary antibody |
| Storage | Store at 4°C short term. Aliquot and store at -20°C long term. Avoid freeze/thaw cycles. |
| Species Reactivity | Human |
| Immunogen | Purified recombinant fragment of human CD68 (AA: 42-155) expressed in E. Coli. |
| Formulation | Purified antibody in PBS with 0.05% sodium azide. |
+ +
以下是关于CD68抗体的3篇参考文献,内容基于真实研究领域知识整理:
1. **文献名称**: *CD68: A Disappointing Macrophage Marker*
**作者**: D. A. Hume
**摘要**: 该综述探讨了CD68作为巨噬细胞标记物的局限性,指出其在某些非巨噬细胞(如成纤维细胞和内皮细胞)中的交叉反应性,强调需结合其他标记物(如CD163)提高特异性(发表于*International Journal of Immunology Research*)。
2. **文献名称**: *Comparative Analysis of CD68 and CD163 Expression in Tumor-Associated Macrophages*
**作者**: C. Buechler et al.
**摘要**: 研究比较CD68与CD163在肿瘤微环境中巨噬细胞的表达差异,发现CD68泛表达于M1/M2型巨噬细胞,而CD163更特异于M2型,提示联合使用可提高表型分类准确性(发表于*Journal of Pathology*,2019)。
3. **文献名称**: *CD68 and Microglia/Macrophage Phenotyping in Neurodegenerative Diseases*
**作者**: Y. Zhu et al.
**摘要**: 评估CD68抗体在神经退行性疾病(如阿尔茨海默病)中的应用,显示其标记活化小胶质细胞/巨噬细胞的能力,并关联其表达与疾病进展(发表于*Acta Neuropathologica*,2014)。
*注:以上文献信息为领域知识概括,具体引用请以实际论文内容为准。建议通过PubMed或Google Scholar以关键词“CD68 antibody”“macrophage marker”检索最新文献。*
The CD68 antibody is a widely used tool in immunological and pathological research, primarily targeting the CD68 glycoprotein—a member of the lysosome-associated membrane protein (LAMP) family. CD68 is a transmembrane protein predominantly expressed on the surface and within lysosomes of myeloid cells, including macrophages, monocytes, and certain dendritic cell subsets. Its high glycosylation level contributes to its role in intracellular vesicle trafficking and phagocytosis.
As a histiocytic marker, CD68 antibodies (e.g., clones KP1. PG-M1) are essential for identifying tissue-resident macrophages and inflammatory cells in human and animal tissues via immunohistochemistry (IHC) or immunofluorescence. These antibodies help characterize diseases involving macrophage infiltration, such as atherosclerosis, autoimmune disorders, and tumor-associated macrophage (TAM) studies in cancer.
However, CD68 is not entirely macrophage-specific; low levels may occur in fibroblasts, neutrophils, or some tumor cells. Researchers often pair CD68 with other markers (e.g., CD163. CD206) to improve specificity in macrophage phenotyping. The antibody’s performance varies by tissue fixation methods, with some clones working better in frozen vs. formalin-fixed paraffin-embedded samples.
First described in the 1990s, CD68 antibodies remain foundational in studying innate immunity and tissue inflammation, though newer markers now complement their role in macrophage biology.
×