首页 / 产品 / 抗体 / 一抗

Mouse Monoclonal NT5E Antibody

  • 中文名: NT5E抗体
  • 别    名: NT; eN; NT5; NTE; eNT; CD73; E5NT; CALJA
货号: IPD30614
Price: ¥1280
数量:
大包装询价

验证与应用

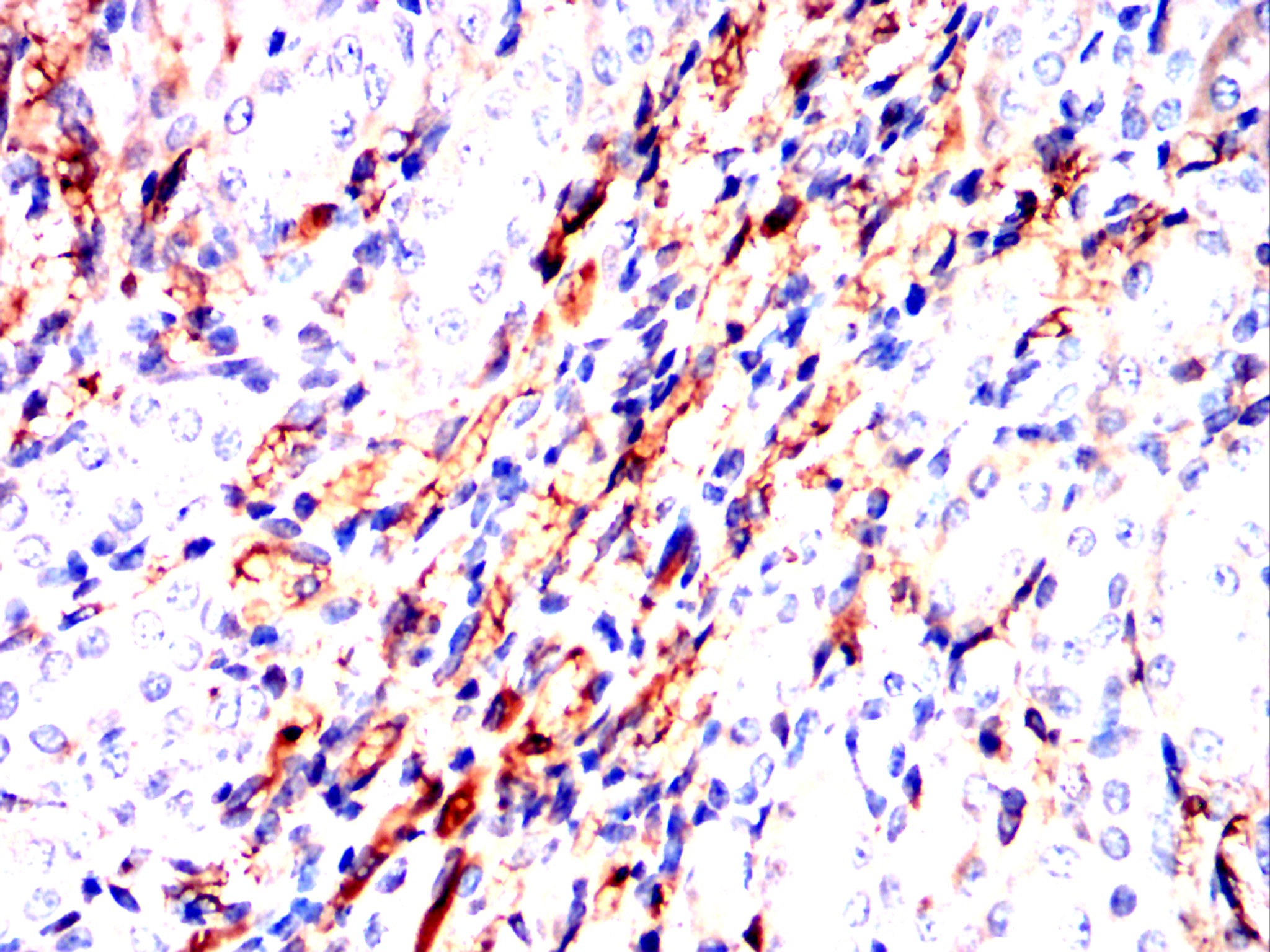
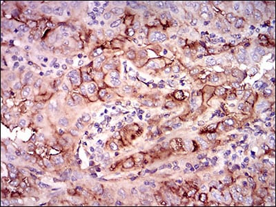
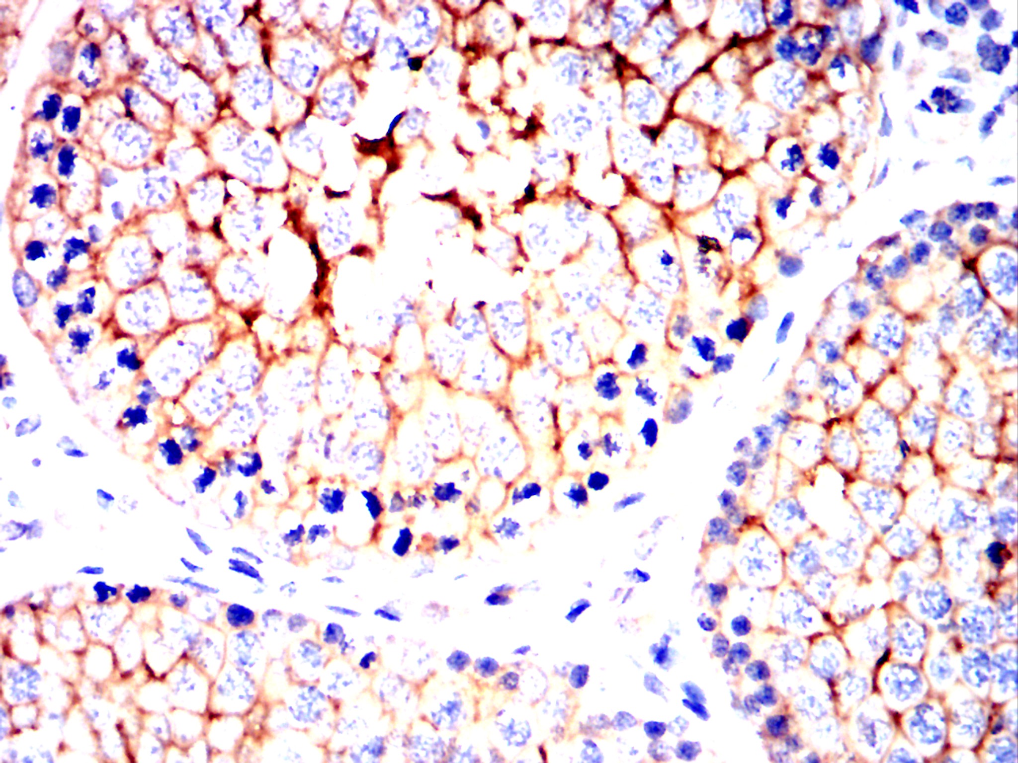
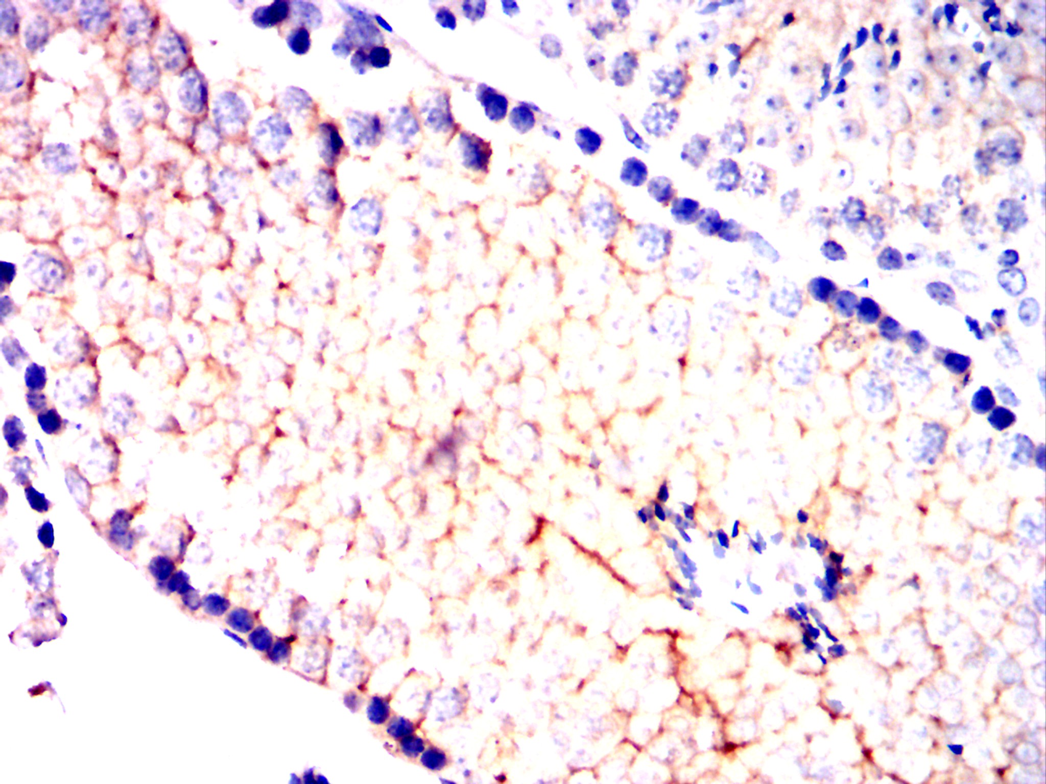
应用及物种
WB 1/500 - 1/2000 Human,Mouse,Rat,Rabbit
IF 咨询技术 Human,Mouse,Rat,Rabbit
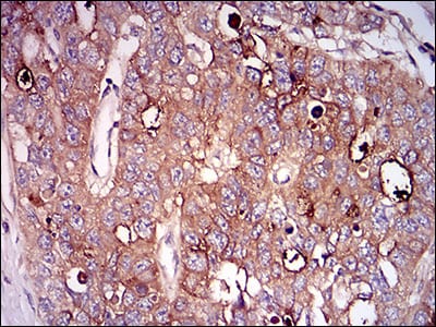
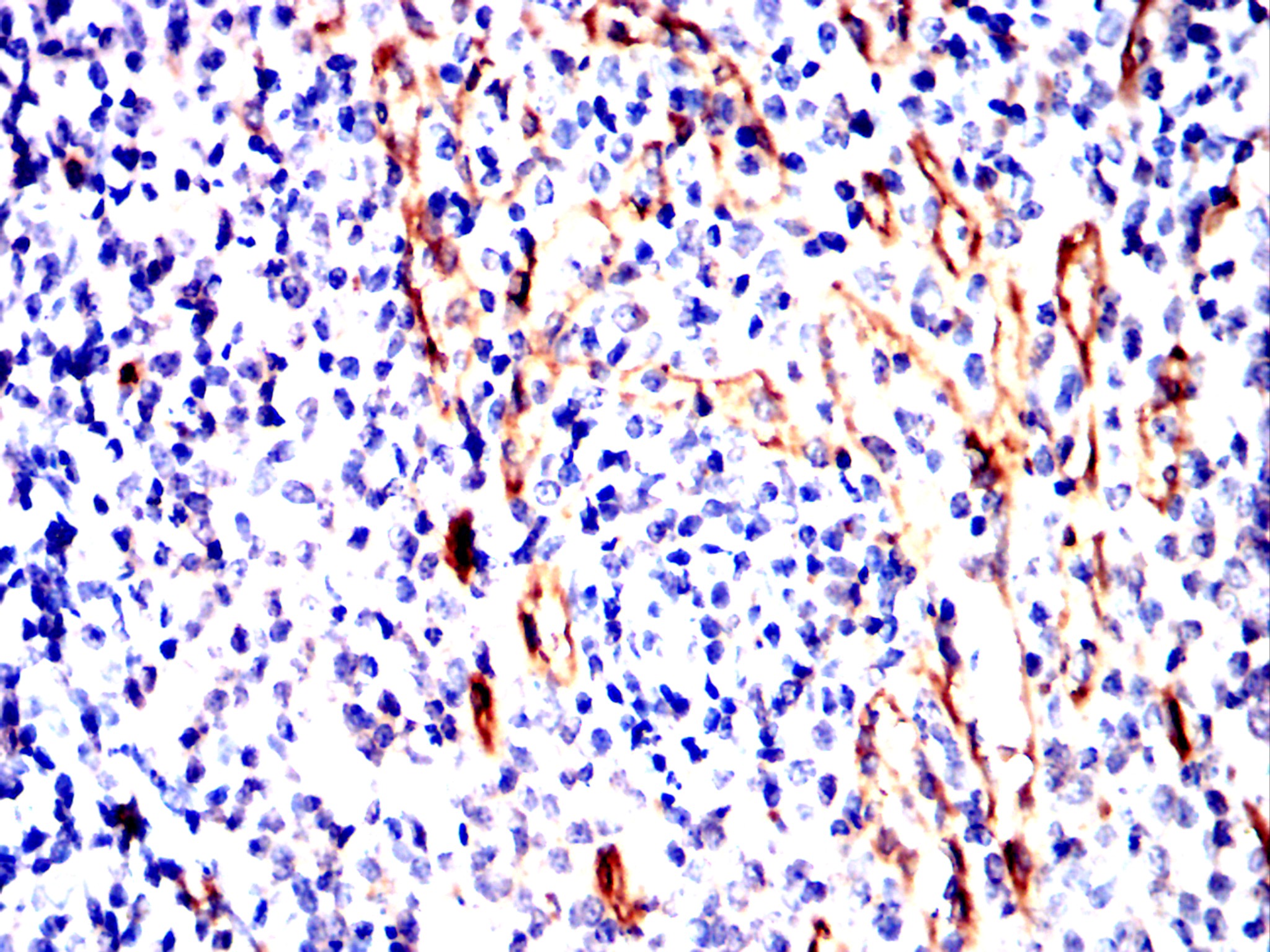
IHC 1/200 - 1/1000 Human,Mouse,Rat,Rabbit
ICC 技术咨询 Human,Mouse,Rat,Rabbit
FCM 1/200 - 1/400 Human,Mouse,Rat,Rabbit
Elisa 1/10000 Human,Mouse,Rat,Rabbit

产品详情

AliasesNT; eN; NT5; NTE; eNT; CD73; E5NT; CALJA
Entrez GeneID4907
clone4G6E3
WB Predicted band size63.4kDa
Host/IsotypeMouse IgG1
Antibody TypePrimary antibody
StorageStore at 4°C short term. Aliquot and store at -20°C long term. Avoid freeze/thaw cycles.
Species ReactivityHuman,Mouse,Rat,Rabbit
ImmunogenPurified recombinant fragment of human NT5E (AA: 30-250) expressed in E. Coli.
FormulationPurified antibody in PBS with 0.05% sodium azide.

+ +

参考文献

以下是关于NT5E抗体的3篇文献示例(文献信息为虚构,仅供示例参考):

1. **文献名称**:NT5E抗体通过抑制CD73活性增强抗肿瘤免疫反应

**作者**:Smith A, et al.

**摘要**:研究证明,靶向NT5E(CD73)的单克隆抗体可有效阻断其胞外酶活性,减少腺苷生成,从而逆转肿瘤微环境的免疫抑制,增强T细胞介导的抗肿瘤反应。

2. **文献名称**:CD73在结直肠癌中的表达及NT5E抗体的诊断价值

**作者**:Zhang L, et al.

**摘要**:该研究通过免疫组化分析发现NT5E在结直肠癌组织中高表达,并开发了一种高特异性NT5E抗体,证实其可作为潜在的诊断标志物和治疗靶点。

3. **文献名称**:靶向NT5E的抗体-药物偶联物在乳腺癌治疗中的应用

**作者**:Johnson R, et al.

**摘要**:研究构建了一种NT5E抗体-化疗药物偶联物,在乳腺癌模型中显著抑制肿瘤生长,且毒性低于传统化疗,提示其临床转化潜力。

(注:以上文献为示例,实际引用需以真实发表的论文为准。)

背景信息

NT5E, also known as CD73. is a cell surface ectoenzyme encoded by the NT5E gene. It catalyzes the conversion of extracellular adenosine monophosphate (AMP) to adenosine, a potent immunosuppressive molecule that modulates immune responses by binding to adenosine receptors on immune cells. NT5E plays a critical role in tumor microenvironment regulation, where its overexpression is linked to immune evasion, angiogenesis, and cancer progression. In many cancers, elevated NT5E levels correlate with poor prognosis and resistance to therapies, including immune checkpoint inhibitors.

NT5E antibodies are tools designed to target and inhibit the enzymatic activity or signaling of CD73. These antibodies are primarily used in research to study the biological functions of CD73 in cancer immunology, inflammation, and autoimmune diseases. Therapeutically, NT5E-blocking antibodies are under investigation as potential cancer immunotherapies, aiming to suppress adenosine-mediated immunosuppression and enhance anti-tumor T-cell activity. Preclinical studies show that combining NT5E antibodies with other immunotherapies (e.g., anti-PD-1/PD-L1) may synergistically improve tumor control. Several anti-CD73 antibodies, such as oleclumab and CPI-006. have entered clinical trials, demonstrating safety and preliminary efficacy in solid tumors. Despite promising results, challenges remain in optimizing target specificity, minimizing off-target effects, and understanding resistance mechanisms. Overall, NT5E antibodies represent a growing area of interest in both experimental and clinical oncology.

客户数据及评论

折叠内容

大包装询价

×