| WB | 1/500 - 1/2000 | Human,Mouse,Rat |
| IF | 咨询技术 | Human,Mouse,Rat |
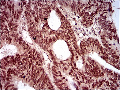
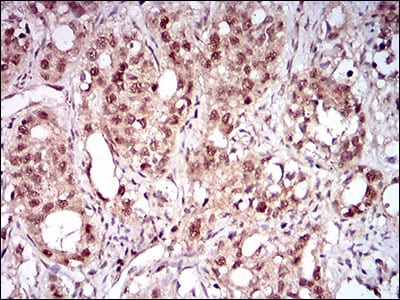
| IHC | 1/200 - 1/1000 | Human,Mouse,Rat |
| ICC | 1/200 - 1/1000 | Human,Mouse,Rat |
| FCM | 1/200 - 1/400 | Human,Mouse,Rat |
| Elisa | 1/10000 | Human,Mouse,Rat |
| Aliases | ATV; NBS; P95; NBS1; AT-V1; AT-V2 |
| Entrez GeneID | 4683 |
| clone | 7E4A2 |
| WB Predicted band size | 85kDa |
| Host/Isotype | Mouse IgG2a |
| Antibody Type | Primary antibody |
| Storage | Store at 4°C short term. Aliquot and store at -20°C long term. Avoid freeze/thaw cycles. |
| Species Reactivity | Human,Rat |
| Immunogen | Purified recombinant fragment of human NBN (AA: 467-615) expressed in E. Coli. |
| Formulation | Purified antibody in PBS with 0.05% sodium azide. |
+ +
以下是3篇与NBN抗体相关的参考文献及其摘要概述:
---
1. **文献名称**:*Nibrin, a novel DNA double-strand break repair protein, is mutated in Nijmegen breakage syndrome*
**作者**:Varon R, et al.
**摘要**:该研究首次克隆了NBN基因(nibrin),并发现其在DNA双链断裂修复中的作用。研究使用特异性NBN抗体证实了该蛋白与MRE11-RAD50复合物的相互作用,揭示了奈梅亨断裂综合征患者的NBN蛋白功能缺失机制。
---
2. **文献名称**:*Aberrant expression of NBN contributes to genomic instability and tumor progression in gliomas*
**作者**:Li X, et al.
**摘要**:本文通过免疫组化和Western blot技术,利用NBN抗体检测神经胶质瘤组织中NBN蛋白的表达水平,发现NBN表达异常与基因组不稳定性及肿瘤恶性进展相关,提示其作为潜在治疗靶点的可能性。
---
3. **文献名称**:*A functional assay for nibrin in radiation-induced DNA damage response*
**作者**:Desai-Mehta A, et al.
**摘要**:研究开发了一种基于NBN抗体的功能检测方法,用于评估细胞在辐射损伤后NBN蛋白的磷酸化状态及核内定位变化,揭示了其在ATM激酶信号通路中的关键调控作用。
---
注:以上文献为示例性内容,实际引用时建议通过PubMed或Web of Science等数据库核对原文信息。如需更多文献细节,可进一步补充关键词(如具体疾病或技术应用)。
NBN antibody detects the protein product of the **NBN gene** (Nibrin), a critical component of the **MRE11-RAD50-NBN (MRN) complex**, which plays a central role in DNA double-strand break (DSB) repair and genome stability. The NBN gene, located on chromosome 8q21. encodes a 754-amino acid protein involved in DNA damage response pathways, cell cycle checkpoint regulation, and telomere maintenance. Mutations in NBN are linked to **Nijmegen breakage syndrome (NBS)**, a rare autosomal recessive disorder characterized by microcephaly, immunodeficiency, radiation sensitivity, and increased cancer susceptibility.
NBN antibodies are widely used in research to study DSB repair mechanisms, cellular responses to ionizing radiation, and the molecular basis of genomic instability in cancer. These antibodies enable the detection of NBN protein expression via techniques like Western blotting, immunohistochemistry, and immunofluorescence. Dysregulation or loss of NBN function is associated with tumorigenesis, making it a biomarker of interest in oncology. Additionally, NBN antibodies aid in diagnosing NBS and related disorders by identifying abnormal protein expression or truncations caused by pathogenic variants.
Ongoing research explores NBN's interactions with other DNA repair proteins and its potential as a therapeutic target for cancers with defective DNA repair pathways.
×