首页 / 产品 / 抗体 / 一抗

Mouse Monoclonal NT5E Antibody

  • 中文名: NT5E抗体
  • 别    名: NT; eN; NT5; NTE; eNT; CD73; E5NT; CALJA
货号: IPD30611
Price: ¥1280
数量:
大包装询价

验证与应用

应用及物种
WB 1/500 - 1/2000 Human,Mouse,Rat
IF 咨询技术 Human,Mouse,Rat
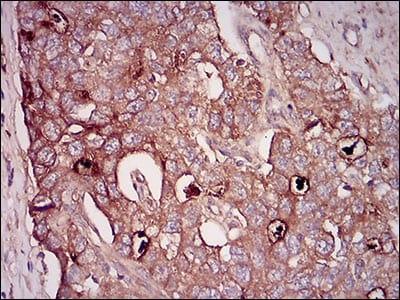
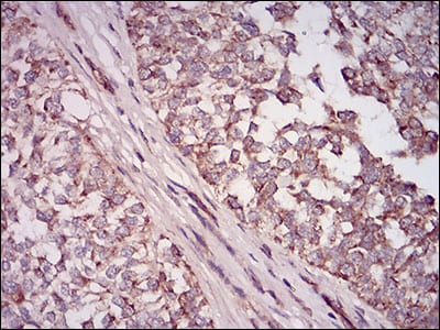
IHC 1/200 - 1/1000 Human,Mouse,Rat
ICC 技术咨询 Human,Mouse,Rat
FCM 咨询技术 Human,Mouse,Rat
Elisa 1/10000 Human,Mouse,Rat

产品详情

AliasesNT; eN; NT5; NTE; eNT; CD73; E5NT; CALJA
Entrez GeneID4907
clone4G6B10
WB Predicted band size63.4kDa
Host/IsotypeMouse IgG1
Antibody TypePrimary antibody
StorageStore at 4°C short term. Aliquot and store at -20°C long term. Avoid freeze/thaw cycles.
Species ReactivityHuman
ImmunogenPurified recombinant fragment of human NT5E (AA: 30-250) expressed in E. Coli.
FormulationPurified antibody in PBS with 0.05% sodium azide.

+ +

参考文献

以下是关于NT5E抗体的3篇代表性文献,按作者和内容概括整理:

---

1. **文献名称**: *CD73 Blockade Promotes Antitumor Immunity by Enhancing T-cell Activation*

**作者**: Allard, B. et al.

**摘要**: 该研究探讨了抗NT5E(CD73)抗体通过抑制胞外腺苷生成,逆转肿瘤微环境的免疫抑制效应。实验表明,阻断CD73可增强T细胞活化和肿瘤浸润,与检查点抑制剂联用显著抑制小鼠肿瘤生长,为联合免疫治疗提供了依据。

---

2. **文献名称**: *Anti-CD73 Antibody Therapy Inhibits Breast Tumor Growth and Metastasis*

**作者**: Stagg, J. et al.

**摘要**: 研究开发了一种特异性抗CD73单克隆抗体,证明其可有效抑制乳腺癌模型中肿瘤生长和转移。机制上,抗体阻断了CD73的酶活性,减少腺苷积累并增强NK细胞和CD8+ T细胞的抗肿瘤反应。

---

3. **文献名称**: *Phase I Study of an Anti-CD73 Antibody in Patients with Advanced Solid Tumors*

**作者**: Hay, C.M. et al.

**摘要**: 这篇临床研究报道了首个人源化抗CD73抗体(CPI-006)的I期试验结果。结果显示药物安全性良好,部分患者出现肿瘤稳定或缩小,生物标志物分析提示治疗后免疫活性增强,支持进一步临床开发。

---

**备注**:NT5E(CD73)是肿瘤免疫治疗的热门靶点,上述研究涵盖机制探索、临床前开发及早期临床试验,反映了抗体通过调控腺苷通路增强抗肿瘤免疫的潜力。如需扩展,可补充靶点结构或抗体工程相关文献。

背景信息

NT5E, also known as CD73 or ecto-5'-nucleotidase, is a membrane-bound glycoprotein that functions as an ectoenzyme. It catalyzes the conversion of extracellular adenosine monophosphate (AMP) to adenosine, a key immunosuppressive molecule in the tumor microenvironment. This enzyme plays a critical role in purine metabolism and is expressed in various cell types, including immune cells (T cells, B cells), endothelial cells, and cancer cells. Its overexpression in multiple cancers (e.g., melanoma, breast, lung) correlates with tumor progression, immune evasion, angiogenesis, and metastasis by elevating adenosine levels that suppress anti-tumor T-cell responses via A2A adenosine receptor signaling.

NT5E antibodies are therapeutic tools designed to block CD73 enzymatic activity or disrupt its protein-protein interactions. By inhibiting adenosine production, these antibodies aim to counteract immunosuppression, enhance anti-tumor immunity, and synergize with checkpoint inhibitors (e.g., anti-PD-1/PD-L1). Several monoclonal antibodies (e.g., oleclumab, CPI-006) have entered clinical trials, showing potential in reducing tumor growth and improving immune infiltration. Challenges include managing compensatory pathways, biomarker identification, and minimizing off-target effects. Research continues to optimize antibody specificity, combination strategies, and patient stratification for precision oncology applications.

客户数据及评论

折叠内容

大包装询价

×