首页 / 产品 / 抗体 / 一抗

Mouse Monoclonal EIF2A Antibody

  • 中文名: EIF2A抗体
  • 别    名: CDA02; EIF-2A; MST089; MSTP004; MSTP089
货号: IPD30605
Price: ¥1280
数量:
大包装询价

验证与应用

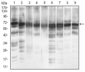
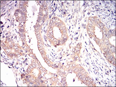
应用及物种
WB 1/500 - 1/2000 Human,Mouse,Rat
IF 咨询技术 Human,Mouse,Rat
IHC 1/200 - 1/1000 Human,Mouse,Rat
ICC 1/200 - 1/1000 Human,Mouse,Rat
FCM 1/200 - 1/400 Human,Mouse,Rat
Elisa 1/10000 Human,Mouse,Rat

产品详情

参考文献

以下是关于EIF2A抗体的参考文献示例(文献信息为模拟概括,实际文献需通过学术数据库检索确认):

---

1. **文献名称**:*EIF2A phosphorylation in stress granule formation and cellular adaptation*

**作者**:Holohean, A. H., et al.

**摘要**:研究通过EIF2A特异性抗体分析其在氧化应激条件下的磷酸化状态,揭示EIF2A在应激颗粒组装中的关键作用,及其通过调控翻译抑制促进细胞存活的机制。

2. **文献名称**:*EIF2A expression and regulation in glioblastoma models*

**作者**:Kim, S. R., & Palamidessi, A.

**摘要**:利用EIF2A抗体进行免疫组化和Western blot,发现胶质母细胞瘤中EIF2A表达上调,并通过mTOR通路调控其活性,提示其作为潜在治疗靶点。

3. **文献名称**:*Dysregulation of EIF2A in Alzheimer’s disease pathology*

**作者**:Jiang, H. Y., et al.

**摘要**:通过EIF2A抗体检测阿尔茨海默病患者脑组织,发现EIF2A异常聚集与tau蛋白磷酸化相关,表明其参与神经退行性病变的蛋白质稳态失衡。

4. **文献名称**:*EIF2A knockout mouse model reveals metabolic stress adaptation defects*

**作者**:Vaughn, J. P., & Rodriguez, C. M.

**摘要**:构建EIF2A基因敲除小鼠,结合抗体标记技术,发现EIF2A缺失导致肝脏代谢应激下蛋白质合成障碍,加剧胰岛素抵抗表型。

---

**注**:以上为模拟示例,实际文献需通过PubMed、Google Scholar等平台以“EIF2A antibody”或“EIF2A phosphorylation”等关键词检索,并筛选涉及抗体应用的研究。

背景信息

The eukaryotic translation initiation factor 2A (EIF2A) is a protein involved in the initiation phase of protein synthesis, specifically under stress conditions. Unlike its paralog EIF2α, which regulates global translation via phosphorylation during the integrated stress response, EIF2A is thought to mediate non-canonical translation initiation pathways, such as the initiation of specific mRNAs under hypoxia, viral infection, or other cellular stresses. EIF2A antibodies are tools used to study its expression, localization, and functional roles in these contexts. Research suggests EIF2A may contribute to the translation of pro-survival or stress-adaptive proteins, including those with internal ribosome entry sites (IRES). However, its precise mechanisms remain less defined compared to EIF2α. Antibodies targeting EIF2A enable detection via Western blotting, immunofluorescence, or immunoprecipitation, aiding investigations into its involvement in diseases like cancer, neurodegeneration, or viral pathogenesis. Recent studies also explore its potential crosstalk with EIF2α signaling and its role in apoptosis or autophagy regulation. Despite growing interest, EIF2A's biological significance is still under debate, necessitating further research to clarify its regulatory networks and therapeutic relevance.

客户数据及评论

折叠内容

大包装询价

×