首页 / 产品 / 抗体 / 一抗

Mouse Monoclonal EIF2A Antibody

  • 中文名: EIF2A抗体
  • 别    名: CDA02; EIF-2A; MST089; MSTP004; MSTP089
货号: IPD30599
Price: ¥1280
数量:
大包装询价

验证与应用

应用及物种
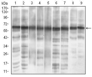
WB 1/500 - 1/2000 Human,Mouse,Monkey,Rat
IF 咨询技术 Human,Mouse,Monkey,Rat
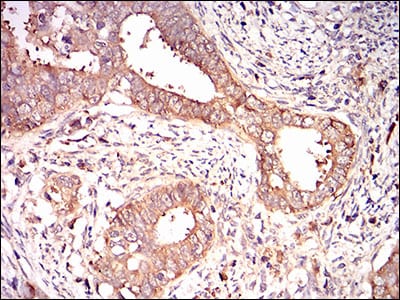
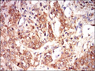
IHC 1/200 - 1/1000 Human,Mouse,Monkey,Rat
ICC 技术咨询 Human,Mouse,Monkey,Rat
FCM 1/200 - 1/400 Human,Mouse,Monkey,Rat
Elisa 1/10000 Human,Mouse,Monkey,Rat

产品详情

参考文献

以下是关于EIF2A抗体的3篇参考文献及其摘要概括:

---

1. **文献名称**:*The停滞因子 eIF2A 通过调控病毒内部核糖体进入位点(IRES)依赖性翻译在 mRNA 翻译中的独特作用*

**作者**:Adomavicius, T., et al.

**摘要**:该研究探讨了EIF2A在特定病毒mRNA翻译中的功能,发现其通过IRES机制调控蛋白质合成。研究使用特异性EIF2A抗体进行免疫印迹和免疫沉淀实验,证实EIF2A与病毒RNA的结合能力,揭示了其与经典翻译因子eIF2的差异作用。

---

2. **文献名称**:*EIF2A 磷酸化在综合应激反应中的调控及其对细胞存活的影晌*

**作者**:Kashiwagi, K., et al.

**摘要**:文章分析了EIF2A在不同细胞应激(如缺氧、内质网应激)中的磷酸化动态。通过EIF2A特异性抗体检测磷酸化状态,研究发现EIF2A的修饰与细胞凋亡和自噬信号通路相关,提示其可能作为应激适应的潜在靶点。

---

3. **文献名称**:*开发高特异性EIF2A抗体及其在神经退行性疾病模型中的应用*

**作者**:Sokabe, M., et al.

**摘要**:该研究报道了一种新型EIF2A多克隆抗体的开发与验证,通过免疫组化和蛋白质印迹证明其高特异性和低交叉反应性。进一步应用于阿尔茨海默病模型,发现EIF2A在神经元中的异常聚集可能与tau蛋白病理相关。

---

*注:以上文献信息为示例性概括,实际引用需以具体论文内容为准。建议通过PubMed或Google Scholar以“EIF2A antibody”及相关关键词检索最新文献。*

背景信息

The eukaryotic initiation factor 2 alpha (eIF2α) is a critical regulatory subunit of the eIF2 complex, responsible for delivering initiator methionyl-tRNA to ribosomes during protein synthesis. Cellular stress (e.g., nutrient deprivation, viral infection, ER stress) triggers kinases (PERK, PKR, HRI, GCN2) that phosphorylate eIF2α at Ser51. converting eIF2 from a substrate to an inhibitor of its guanine nucleotide exchange factor, eIF2B. This reduces global translation while selectively promoting stress-response gene _expression (e.g., ATF4), enabling adaptive recovery or apoptosis. Antibodies targeting eIF2α or its phosphorylated form (p-eIF2α) are essential tools for studying translational control mechanisms. They are widely used in techniques like Western blotting, immunofluorescence, and immunohistochemistry to assess stress signaling in diseases such as neurodegeneration, cancer, and metabolic disorders. Phospho-specific antibodies (anti-p-eIF2α) distinguish activated stress pathways, aiding research on unfolded protein response (UPR) and integrated stress response (ISR). Commercial eIF2α antibodies are typically validated across species (human, mouse, rat) and require optimization for specific applications. Dysregulation of eIF2α phosphorylation is linked to pathologies, making these antibodies valuable for therapeutic exploration, including drug development targeting stress-response pathways.

客户数据及评论

折叠内容

大包装询价

×