首页 / 产品 / 抗体 / 一抗

Mouse Monoclonal CSF1R Antibody

  • 中文名: CSF1R抗体
  • 别    名: FMS; CSFR; FIM2; HDLS; C-FMS; CD115; CSF-1R; M-CSF-R
货号: IPD30589
Price: ¥1280
数量:
大包装询价

验证与应用

应用及物种
WB 咨询技术 Human,Mouse,Rat
IF 咨询技术 Human,Mouse,Rat
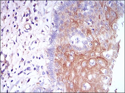
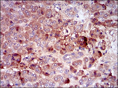
IHC 1/200 - 1/1000 Human,Mouse,Rat
ICC 1/200 - 1/1000 Human,Mouse,Rat
FCM 咨询技术 Human,Mouse,Rat
Elisa 1/10000 Human,Mouse,Rat

产品详情

AliasesFMS; CSFR; FIM2; HDLS; C-FMS; CD115; CSF-1R; M-CSF-R
Entrez GeneID1436
clone6B9B9
WB Predicted band size108kDa
Host/IsotypeMouse IgG2b
Antibody TypePrimary antibody
StorageStore at 4°C short term. Aliquot and store at -20°C long term. Avoid freeze/thaw cycles.
Species ReactivityHuman
ImmunogenPurified recombinant fragment of human CSF1R (AA: 344-497) expressed in E. Coli.
FormulationPurified antibody in PBS with 0.05% sodium azide

+ +

参考文献

以下是3篇关于CSF1R抗体的代表性文献概览:

1. **文献名称**:Targeting CSF1R in myeloid cells for cancer immunotherapy

**作者**:Pyonteck SM et al.

**摘要**:该研究证明使用CSF1R单克隆抗体可阻断肿瘤相关巨噬细胞的募集,重塑肿瘤微环境,增强PD-1抑制剂在胶质母细胞瘤模型中的疗效,为免疫联合治疗提供新策略。

2. **文献名称**:CSF1R inhibition with emactuzumab depletes tumor-associated macrophages

**作者**:Ries CH et al.

**摘要**:首次报道人源化CSF1R抗体emactuzumab的临床前数据,显示其通过抑制CSF1/CSF1R信号通路选择性清除肿瘤相关巨噬细胞,在实体瘤模型中显著抑制肿瘤生长。

3. **文献名称**:Anti-CSF1R antibody SNDX-6352 modulates myeloid cell populations

**作者**:Wicks EE et al.

**摘要**:该研究揭示SNDX-6352抗体通过阻断CSF1R信号通路,减少促肿瘤M2型巨噬细胞并增加抗肿瘤中性粒细胞,在转移性乳腺癌模型中表现出剂量依赖性抗肿瘤活性。

注:以上为简化摘要,建议通过PubMed(PMID检索)或DOI获取原文。近年研究多聚焦于CSF1R抗体在肿瘤免疫治疗及神经退行性疾病中的应用机制探索。

背景信息

The colony-stimulating factor 1 receptor (CSF1R), also known as CD115. is a tyrosine kinase receptor encoded by the *CSF1R* gene. It plays a critical role in regulating the survival, proliferation, and differentiation of mononuclear phagocytes, including monocytes, macrophages, and microglia. CSF1R binds to its ligands, CSF-1 and interleukin-34 (IL-34), activating downstream signaling pathways such as PI3K/AKT and MAPK, which are essential for immune homeostasis and tissue remodeling.

CSF1R-targeting antibodies are primarily developed to modulate macrophage activity in diseases where these cells contribute to pathology. In oncology, tumor-associated macrophages (TAMs) often promote immunosuppression and angiogenesis; blocking CSF1R signaling can inhibit TAM recruitment, enhancing anti-tumor immunity. Examples include emactuzumab and cabiralizumab, which are under clinical investigation for cancers like tenosynovial giant cell tumor (TGCT). In neurodegenerative disorders like Alzheimer’s disease, CSF1R inhibitors aim to regulate neuroinflammation by targeting microglia. Additionally, autoimmune conditions such as rheumatoid arthritis may benefit from CSF1R blockade to reduce inflammation.

Challenges include balancing therapeutic efficacy with potential side effects, as CSF1R inhibition can impair homeostatic functions of macrophages. Nonetheless, CSF1R antibodies represent promising tools for both therapeutic intervention and research into macrophage biology.

客户数据及评论

折叠内容

大包装询价

×