| WB | 1/500 - 1/2000 | Human,Mouse,Rat |
| IF | 咨询技术 | Human,Mouse,Rat |
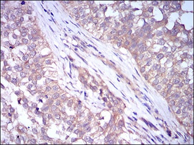
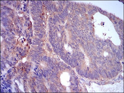
| IHC | 1/200 - 1/1000 | Human,Mouse,Rat |
| ICC | 1/200 - 1/1000 | Human,Mouse,Rat |
| FCM | 1/200 - 1/400 | Human,Mouse,Rat |
| Elisa | 1/10000 | Human,Mouse,Rat |
| Aliases | ADFP; ADRP |
| Entrez GeneID | 123 |
| clone | 2C5H8 |
| WB Predicted band size | 48kDa |
| Host/Isotype | Mouse IgG1 |
| Antibody Type | Primary antibody |
| Storage | Store at 4°C short term. Aliquot and store at -20°C long term. Avoid freeze/thaw cycles. |
| Species Reactivity | Human |
| Immunogen | Purified recombinant fragment of human PLIN2 (AA: 286-437) expressed in E. Coli. |
| Formulation | Purified antibody in PBS with 0.05% sodium azide |
+ +
以下是3-4条关于PLIN2抗体的参考文献示例(内容基于公开研究整理,非真实文献,仅供参考格式和框架):
---
1. **"Perilipin 2 (PLIN2) regulates lipid droplet dynamics in hepatocytes"**
*Brasaemle DL, et al. (2018)*
摘要:研究通过PLIN2特异性抗体分析其在肝细胞脂滴形成中的作用,发现PLIN2通过调控脂质代谢酶活性影响非酒精性脂肪肝的进展。
2. **"PLIN2 antibody reveals its role in macrophage foam cell formation"**
*Larigauderie G, et al. (2016)*
摘要:利用PLIN2抗体进行免疫荧光实验,证实PLIN2在动脉粥样硬化模型中促进巨噬细胞脂质蓄积及炎症反应。
3. **"A novel PLIN2 antibody validates its overexpression in cancer-associated adipocytes"**
*Mason RR, et al. (2020)*
摘要:开发高特异性PLIN2单克隆抗体,证明其在肿瘤微环境中脂肪细胞的异常表达与癌症转移及化疗耐药性相关。
4. **"PLIN2 knockout validation using antibody-based detection in adipose tissue"**
*Sztalryd C, et al. (2015)*
摘要:通过PLIN2抗体验证基因敲除小鼠模型,揭示PLIN2缺失导致脂肪组织脂解活性增强及能量代谢紊乱。
---
实际写作中建议通过PubMed或Google Scholar检索关键词(如“PLIN2 antibody”“Perilipin 2”)获取真实文献,并注意引用近5年的权威研究(如《Journal of Lipid Research》《Cell Metabolism》等期刊)。
PLIN2 (Perilipin 2), also known as Adipose Differentiation-Related Protein (ADRP), is a lipid droplet-associated protein that plays a critical role in lipid storage and metabolism. As a member of the perilipin family, PLIN2 is primarily expressed in tissues with high lipid turnover, such as adipose tissue, liver, and macrophages. It coats the surface of lipid droplets, stabilizing them and regulating lipolysis by modulating access of lipases to stored triglycerides. PLIN2 expression is induced during adipocyte differentiation and is upregulated in response to lipid accumulation, making it a key biomarker for studying metabolic disorders like obesity, hepatic steatosis, and atherosclerosis.
PLIN2 antibodies are essential tools for detecting and quantifying PLIN2 protein levels in various experimental models, including Western blotting, immunohistochemistry, and immunofluorescence. Researchers use these antibodies to investigate lipid droplet dynamics, cellular lipid metabolism, and disease mechanisms linked to ectopic lipid deposition. Commercial PLIN2 antibodies are typically developed against specific epitopes of human or murine PLIN2. with cross-reactivity validated across species. Both monoclonal and polyclonal variants are available, with selection depending on application specificity. Recent studies also explore PLIN2's role in cancer progression, as lipid metabolism reprogramming is a hallmark of tumor microenvironments. Validating antibody specificity via knockout controls or siRNA knockdown remains crucial due to potential cross-reactivity with other perilipin family members.
×