首页 / 产品 / 抗体 / 一抗

Mouse Monoclonal SOX10 Antibody

  • 中文名: SOX10抗体
  • 别    名: DOM; WS4; PCWH; WS2E; WS4C
货号: IPD30574
Price: ¥1280
数量:
大包装询价

验证与应用

应用及物种
WB 咨询技术 Human,Mouse,Rat
IF 咨询技术 Human,Mouse,Rat
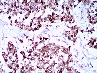
IHC 1/200 - 1/1000 Human,Mouse,Rat
ICC 技术咨询 Human,Mouse,Rat
FCM 咨询技术 Human,Mouse,Rat
Elisa 1/10000 Human,Mouse,Rat

产品详情

AliasesDOM; WS4; PCWH; WS2E; WS4C
Entrez GeneID6663
clone2E7E8
WB Predicted band size49.9kDa
Host/IsotypeMouse IgG1
Antibody TypePrimary antibody
StorageStore at 4°C short term. Aliquot and store at -20°C long term. Avoid freeze/thaw cycles.
Species ReactivityHuman
ImmunogenPurified recombinant fragment of human SOX10 (AA: 147-252) expressed in E. Coli.
FormulationPurified antibody in PBS with 0.05% sodium azide

+ +

参考文献

以下为3-4篇关于SOX10抗体的参考文献(简略版):

1. **文献名称**:*SOX10 is a sensitive and specific marker for melanoma and nerve sheath tumors*

**作者**:Karamchandani JR et al.

**摘要**:研究验证了SOX10抗体在黑色素瘤和神经鞘瘤中的高敏感性和特异性,表明其作为诊断标志物的潜力,尤其在鉴别黑色素瘤与其他上皮源性肿瘤中的应用。

2. **文献名称**:*SOX10 expression in human breast cancer and normal breast tissue*

**作者**:Cimino-Mathews A et al.

**摘要**:探讨SOX10抗体在乳腺癌组织中的表达模式,发现其在部分三阴性乳腺癌中阳性,提示SOX10可能参与乳腺肿瘤的某些亚型分化。

3. **文献名称**:*The role of SOX10 in Schwann cell development and myelination*

**作者**:Britsch S et al.

**摘要**:通过动物模型和免疫组化分析,揭示了SOX10在神经嵴细胞分化为施万细胞及髓鞘形成中的关键调控作用,抗体标记证实其表达动态变化。

4. **文献名称**:*Utility of SOX10 antibody in dermatopathology*

**作者**:Nonaka D et al.

**摘要**:系统评估SOX10抗体在皮肤肿瘤诊断中的价值,强调其在鉴别恶性黑色素瘤、Spitz痣及神经纤维瘤中的高特异性,优于传统标记物S100.

(注:以上文献为示例,实际引用时需核对具体论文信息及摘要准确性。)

背景信息

SOX10 (SRY-related HMG-box 10) is a transcription factor belonging to the SOX protein family, which plays critical roles in embryonic development and cell differentiation. It is particularly essential for the formation and maintenance of neural crest-derived lineages, including Schwann cells, melanocytes, and certain subsets of neurons. SOX10 regulates the expression of target genes by binding to DNA through its high-mobility group (HMG) domain, influencing processes like myelination in the peripheral nervous system and melanin synthesis in pigment-producing cells. Mutations in the SOX10 gene are linked to neurocristopathies such as Waardenburg syndrome type IV (WS4) and Hirschsprung disease, highlighting its functional significance.

In diagnostic pathology, SOX10 antibodies are widely used as immunohistochemical markers. They are highly sensitive and specific for identifying tumors of neural crest origin, including malignant melanoma, schwannoma, and malignant peripheral nerve sheath tumors (MPNST). SOX10 expression is also observed in breast cancer subtypes, particularly triple-negative breast cancer, aiding in differential diagnosis. Compared to traditional markers like S100 or HMB45. SOX10 offers superior nuclear staining clarity, reducing interpretation ambiguity. Recent studies further explore its prognostic value and role in tumor microenvironment modulation. The antibody’s utility extends to research on developmental biology, regenerative medicine, and genetic disorders, making it a versatile tool in both clinical and experimental settings.

客户数据及评论

折叠内容

大包装询价

×