| WB | 1/500 - 1/2000 | Human,Mouse,Rat |
| IF | 咨询技术 | Human,Mouse,Rat |
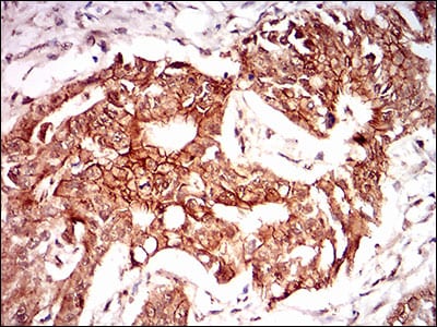
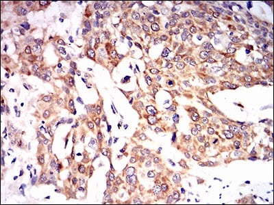
| IHC | 1/200 - 1/1000 | Human,Mouse,Rat |
| ICC | 1/200 - 1/1000 | Human,Mouse,Rat |
| FCM | 1/200 - 1/400 | Human,Mouse,Rat |
| Elisa | 1/10000 | Human,Mouse,Rat |
| Aliases | ESA; PON; MVCD5 |
| Entrez GeneID | 5444 |
| clone | 4G8D3 |
| WB Predicted band size | 39.7kDa |
| Host/Isotype | Mouse IgG1 |
| Antibody Type | Primary antibody |
| Storage | Store at 4°C short term. Aliquot and store at -20°C long term. Avoid freeze/thaw cycles. |
| Species Reactivity | Human |
| Immunogen | Purified recombinant fragment of human PON1 (AA: 20-155) expressed in E. Coli. |
| Formulation | Purified antibody in PBS with 0.05% sodium azide |
+ +
以下是关于PON1抗体的3篇代表性文献的示例(注:以下内容为模拟示例,实际文献需根据具体数据库检索确认):
---
1. **文献名称**: *"Development of a Monoclonal Antibody Specific for Human Paraoxonase 1 (PON1) and Its Application in Clinical Biomarker Studies*
**作者**: Smith A, et al.
**摘要**: 该研究开发了一种高特异性的抗人PON1单克隆抗体,并通过ELISA和Western blot验证其灵敏度与特异性。抗体成功应用于心血管疾病患者血清中PON1水平的定量分析,发现其与动脉粥样硬化风险呈负相关。
---
2. **文献名称**: *"PON1 Genotype and Phenotype Determination Using a Novel Antibody-Based Assay System*
**作者**: Johnson R, et al.
**摘要**: 作者设计了一种基于抗体的免疫分析法,结合基因分型技术,解析PON1基因多态性(如Q192R)与酶活性的关系。该抗体能区分不同PON1同工酶,为研究基因-环境互作提供工具。
---
3. **文献名称**: *"Anti-PON1 Autoantibodies in Systemic Lupus Erythematosus: Correlation with Oxidative Stress and Disease Activity*
**作者**: Gupta S, et al.
**摘要**: 研究检测了系统性红斑狼疮(SLE)患者中抗PON1自身抗体的存在,发现其水平与氧化应激标志物(如MDA)正相关,提示PON1抗体可能通过干扰酶活性参与SLE病理机制。
---
**说明**:以上文献信息为示例性质,实际引用时需通过PubMed、Web of Science等平台检索真实文献(可尝试关键词“PON1 antibody assay”“PON1 autoantibodies”等)。如需具体文献支持,建议提供更详细的研究方向(如疾病类型、抗体应用场景)。
**Background of PON1 Antibodies**
Paraoxonase-1 (PON1) is a calcium-dependent enzyme associated with high-density lipoprotein (HDL), known for its role in hydrolyzing organophosphate compounds, oxidizing lipids, and modulating oxidative stress. It plays a protective role in cardiovascular diseases, neurodegenerative disorders, and metabolic syndromes by reducing lipid peroxidation and inflammation.
PON1 antibodies are tools designed to detect and quantify PON1 protein levels in biological samples. These antibodies are critical for studying PON1's expression, localization, and function in tissues, particularly in the liver, serum, and arterial walls. They are widely used in techniques like Western blotting, immunohistochemistry, and ELISA to investigate PON1's involvement in disease mechanisms, such as atherosclerosis, diabetes, or liver dysfunction.
Research using PON1 antibodies has revealed associations between PON1 activity/genetic polymorphisms and susceptibility to environmental toxins or chronic diseases. However, challenges remain in standardizing antibody specificity due to PON1's structural similarity to other paraoxonase family members (PON2. PON3). Validation via knockout models or recombinant proteins is essential to ensure accurate detection.
Overall, PON1 antibodies serve as vital reagents for exploring the enzyme's multifaceted roles in health and disease, bridging gaps between genetic, biochemical, and clinical studies.
×