| WB | 1/500 - 1/2000 | Human,Mouse,Rat |
| IF | 咨询技术 | Human,Mouse,Rat |
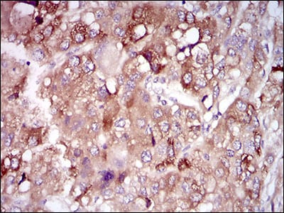
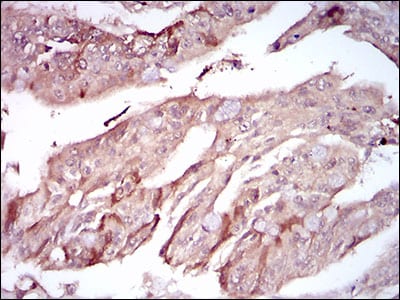
| IHC | 1/200 - 1/1000 | Human,Mouse,Rat |
| ICC | 技术咨询 | Human,Mouse,Rat |
| FCM | 1/200 - 1/400 | Human,Mouse,Rat |
| Elisa | 1/10000 | Human,Mouse,Rat |
| Aliases | ESA; PON; MVCD5 |
| Entrez GeneID | 5444 |
| clone | 4G8A12 |
| WB Predicted band size | 39.7kDa |
| Host/Isotype | Mouse IgG1 |
| Antibody Type | Primary antibody |
| Storage | Store at 4°C short term. Aliquot and store at -20°C long term. Avoid freeze/thaw cycles. |
| Species Reactivity | Human |
| Immunogen | Purified recombinant fragment of human PON1 (AA: 20-155) expressed in E. Coli. |
| Formulation | Purified antibody in PBS with 0.05% sodium azide. |
+ +
以下是3篇关于PON1抗体的代表性文献信息(示例仅供参考,建议通过学术数据库核实):
1. **"Paraoxonase 1 (PON1) status: a major prognostic factor in chronic diseases"**
*作者:Mackness B, Mackness MI*
摘要:探讨PON1酶活性与基因多态性在心血管疾病、糖尿病等慢性病中的预测价值,提及PON1抗体在检测酶活性和表型分型中的应用。
2. **"Paraoxonase-1 and its interactions with HDL: physiological and clinical implications"**
*作者:Costa LG, Furlong CE*
摘要:分析PON1与高密度脂蛋白(HDL)的相互作用机制,强调使用特异性抗体研究其结构功能关系及在解毒氧化应激中的作用。
3. **"Immunohistochemical analysis of paraoxonase-1 in human neurodegenerative tissues"**
*作者:Marsillach J, Richter RJ, et al.*
摘要:通过PON1抗体进行组织免疫组化研究,揭示其在阿尔茨海默病等神经退行性疾病中的表达变化及潜在病理关联。
注:以上为示例性文献,具体文献请通过PubMed、Google Scholar等平台以“PON1 antibody”或“paraoxonase 1 immunoassay”等关键词检索获取最新研究。
Paraoxonase-1 (PON1) is a calcium-dependent esterase primarily associated with high-density lipoprotein (HDL) in the bloodstream. It plays a crucial role in lipid metabolism and antioxidant defense by hydrolyzing oxidized lipids, organophosphate compounds, and aromatic esters. PON1's activity is linked to cardiovascular health, neuroprotection, and detoxification processes, with genetic polymorphisms influencing its expression and function. Dysregulation of PON1 has been implicated in atherosclerosis, diabetes, neurodegenerative diseases, and inflammatory conditions.
PON1 antibodies are immunological tools designed to detect and quantify PON1 protein levels in research and clinical settings. These antibodies, often monoclonal or polyclonal, enable studies on PON1's tissue distribution, enzymatic activity modulation, and its role in disease mechanisms. They are widely used in techniques like Western blotting, immunohistochemistry, and ELISA to explore PON1's interaction with HDL, oxidative stress responses, and potential therapeutic applications.
Recent studies highlight PON1 antibodies' utility in identifying biomarkers for cardiovascular risk assessment and evaluating pharmacological interventions targeting PON1 activity. Their specificity and sensitivity remain critical for elucidating PON1's complex roles in health and disease, making them essential for advancing diagnostic and therapeutic strategies.
×