| WB | 1/500 - 1/2000 | Human,Mouse,Rat |
| IF | 咨询技术 | Human,Mouse,Rat |
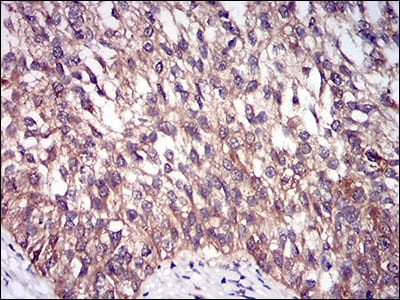
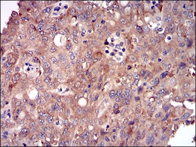
| IHC | 1/200 - 1/1000 | Human,Mouse,Rat |
| ICC | 技术咨询 | Human,Mouse,Rat |
| FCM | 1/200 - 1/400 | Human,Mouse,Rat |
| Elisa | 1/10000 | Human,Mouse,Rat |
| Aliases | FAM6A; PRLMNS |
| Entrez GeneID | 129563 |
| clone | 6C7B2 |
| WB Predicted band size | 99.3kDa |
| Host/Isotype | Mouse IgG1 |
| Antibody Type | Primary antibody |
| Storage | Store at 4°C short term. Aliquot and store at -20°C long term. Avoid freeze/thaw cycles. |
| Species Reactivity | Human |
| Immunogen | Purified recombinant fragment of human DIS3L2 (AA: 27-250) expressed in E. Coli. |
| Formulation | Purified antibody in PBS with 0.05% sodium azide |
+ +
1. **文献名称**:Mutations in DIS3L2 cause the Perlman syndrome of overgrowth and Wilms tumor susceptibility
**作者**:Astuti D, et al.
**摘要**:该研究首次发现DIS3L2基因突变与Perlman综合征及肾母细胞瘤易感性相关,通过免疫印迹实验证实突变导致DIS3L2蛋白稳定性下降,揭示其RNA外切酶功能异常在疾病发生中的作用。
2. **文献名称**:Lin28-mediated control of let-7 microRNA expression by DIS3L2 regulates cell proliferation
**作者**:Ustianenko D, et al.
**摘要**:研究阐明DIS3L2通过降解Lin28结合的pre-let-7 microRNA前体调控细胞增殖,利用DIS3L2抗体进行免疫共沉淀实验,证实其与Lin28复合物的相互作用及对RNA代谢的调控机制。
3. **文献名称**:DIS3L2 promotes colorectal cancer progression through regulating cell cycle-related proteins
**作者**:Wang Y, et al.
**摘要**:通过免疫组化技术分析结直肠癌组织,发现DIS3L2蛋白高表达与患者不良预后相关,功能实验表明其通过调控细胞周期蛋白促进肿瘤增殖,抗体用于组织定位及蛋白水平检测。
4. **文献名称**:Structural basis of polyuridine RNA recognition by DIS3L2 exoribonuclease
**作者**:Faehnle CR, et al.
**摘要**:该研究解析了DIS3L2识别特异性RNA底物的结构机制,利用抗体进行蛋白质纯化验证,阐明其3'-5'外切酶活性依赖的底物结合域特征,为相关疾病治疗提供靶点依据。
The DIS3L2 antibody is a crucial tool for studying the DIS3 Like 3'-5' Exoribonuclease 2 (DIS3L2), an RNA-processing enzyme involved in cytoplasmic RNA decay. DIS3L2. a member of the RNase II/R family, degrades diverse RNA substrates, including mRNAs, non-coding RNAs, and aberrant transcripts, often in collaboration with the exosome complex or through poly(U)-binding mechanisms. It plays a vital role in maintaining RNA homeostasis, impacting cellular processes like development, stress responses, and cell cycle regulation.
Mutations or dysregulation of DIS3L2 are linked to human diseases. Biallelic mutations cause Perlman syndrome, a congenital overgrowth disorder, while somatic deletions or mutations are observed in myelodysplastic syndromes and cancers. DIS3L2 also mediates the decay of uridylated miRNAs and mRNAs, connecting it to post-transcriptional gene regulation.
The DIS3L2 antibody, typically raised against specific epitopes (e.g., N-terminal or C-terminal regions), enables detection of endogenous DIS3L2 via techniques like Western blotting, immunofluorescence, and immunoprecipitation. Its specificity is validated using knockout controls or siRNA-mediated depletion. Researchers use this antibody to explore DIS3L2's expression patterns, subcellular localization, and interactions with RNA-binding partners, aiding investigations into its role in RNA quality control, disease pathogenesis, and potential therapeutic targeting.
×