首页 / 产品 / 抗体 / 一抗

Mouse Monoclonal MCAM Antibody

  • 中文名: MCAM抗体
  • 别    名: CD146; MUC18
货号: IPD30560
Price: ¥1280
数量:
大包装询价

验证与应用

应用及物种
WB 1/500 - 1/2000 Human,Mouse,Rat
IF 咨询技术 Human,Mouse,Rat
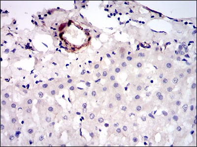
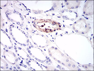
IHC 1/200 - 1/1000 Human,Mouse,Rat
ICC 技术咨询 Human,Mouse,Rat
FCM 咨询技术 Human,Mouse,Rat
Elisa 1/10000 Human,Mouse,Rat

产品详情

AliasesCD146; MUC18
Entrez GeneID4162
clone6C3F1
WB Predicted band size71.6kDa
Host/IsotypeMouse IgG1
Antibody TypePrimary antibody
StorageStore at 4°C short term. Aliquot and store at -20°C long term. Avoid freeze/thaw cycles.
Species ReactivityHuman
ImmunogenPurified recombinant fragment of human MCAM (AA: 84-189) expressed in E. Coli.
FormulationPurified antibody in PBS with 0.05% sodium azide

+ +

参考文献

以下是关于MCAM抗体的3篇代表性文献及其简要摘要:

---

1. **文献名称**:*MCAM (CD146) promotes an aggressive phenotype in glioblastoma via activation of mTORC2/AKT signaling*

**作者**:Huang, C., et al. (2020)

**摘要**:该研究揭示MCAM在胶质母细胞瘤中通过激活mTORC2/AKT信号通路促进肿瘤侵袭和化疗耐药性,靶向MCAM抗体可抑制肿瘤生长并增强传统化疗效果。

---

2. **文献名称**:*CD146-targeted antibody blocks angiogenesis and tumor progression in preclinical models*

**作者**:Dudley, A.C., et al. (2018)

**摘要**:研究证明抗MCAM抗体通过抑制内皮细胞迁移和血管生成显著延缓多种小鼠肿瘤模型的进展,提示其作为抗血管生成疗法的潜力。

---

3. **文献名称**:*CD146 as a biomarker for enrichment of circulating tumor cells in melanoma*

**作者**:Klein, A., et al. (2019)

**摘要**:该文献开发了一种基于MCAM抗体的微流控芯片技术,高效捕获黑色素瘤患者循环肿瘤细胞,为无创诊断和疗效监测提供新方法。

---

这些研究覆盖了MCAM抗体在肿瘤治疗、血管抑制及诊断中的应用。如需更多领域(如自身免疫疾病)文献,可进一步补充。

背景信息

MCAM (Melanoma Cell Adhesion Molecule), also known as CD146 or MUC18. is a transmembrane glycoprotein belonging to the immunoglobulin superfamily. First identified in melanoma cells, it is expressed in various cell types, including endothelial cells, smooth muscle cells, and mesenchymal stem cells. Structurally, MCAM contains five extracellular immunoglobulin-like domains, a transmembrane region, and a short cytoplasmic tail. It mediates cell-cell and cell-matrix interactions, influencing cellular adhesion, migration, and signaling pathways.

MCAM plays critical roles in physiological processes like angiogenesis, immune response, and tissue repair, but its dysregulation is linked to pathological conditions. In cancer, MCAM overexpression correlates with tumor progression, metastasis, and poor prognosis, particularly in melanoma, prostate cancer, and glioblastoma. It facilitates epithelial-mesenchymal transition (EMT), enhances vascular mimicry, and promotes resistance to therapy.

MCAM-targeting antibodies have emerged as valuable tools for research and therapeutic development. These antibodies are used to study MCAM's functional mechanisms, detect its expression in tissues, or block its activity in experimental models. Preclinical studies demonstrate that anti-MCAM monoclonal antibodies can inhibit tumor growth, metastasis, and angiogenesis. Additionally, MCAM is explored as a diagnostic or prognostic biomarker for aggressive cancers. Despite promising data, clinical translation remains ongoing, with challenges including optimizing antibody specificity and addressing heterogeneous expression across cancer types. Research continues to unravel its dual roles in homeostasis and disease, highlighting its potential as a multifunctional therapeutic target.

(Word count: 249)

客户数据及评论

折叠内容

大包装询价

×