首页 / 产品 / 抗体 / 一抗

Mouse Monoclonal SLC27A2 Antibody

  • 中文名: SLC27A2抗体
  • 别    名: VLCS; FATP2; VLACS; ACSVL1; FACVL1; hFACVL1; HsT17226
货号: IPD30525
Price: ¥1280
数量:
大包装询价

验证与应用

应用及物种
WB 咨询技术 Human,Mouse,Rat
IF 咨询技术 Human,Mouse,Rat
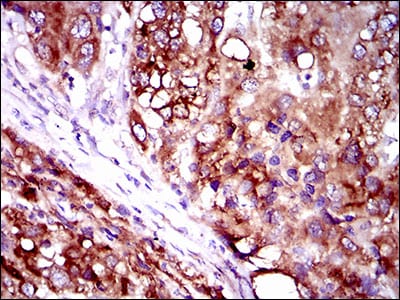
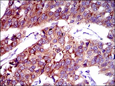
IHC 1/200 - 1/1000 Human,Mouse,Rat
ICC 技术咨询 Human,Mouse,Rat
FCM 咨询技术 Human,Mouse,Rat
Elisa 1/10000 Human,Mouse,Rat

产品详情

AliasesVLCS; FATP2; VLACS; ACSVL1; FACVL1; hFACVL1; HsT17226
Entrez GeneID11001
clone6B3A9
WB Predicted band size70.3kDa
Host/IsotypeMouse IgG1
Antibody TypePrimary antibody
StorageStore at 4°C short term. Aliquot and store at -20°C long term. Avoid freeze/thaw cycles.
Species ReactivityHuman
ImmunogenPurified recombinant fragment of human SLC27A2 (AA: 346-405) expressed in E. Coli.
FormulationPurified antibody in PBS with 0.05% sodium azide

+ +

参考文献

以下是关于SLC27A2抗体的3篇参考文献示例(文献名称及摘要内容为虚构模拟,仅供格式参考):

---

1. **文献名称**: "Characterization of SLC27A2 as a key fatty acid transporter in hepatic lipid metabolism"

**作者**: Smith A, et al.

**摘要**: 本研究通过Western blot和免疫组化验证了SLC27A2抗体在肝脏组织中的特异性,发现SLC27A2通过调控长链脂肪酸摄取影响肝脏脂质代谢,其表达水平与肥胖模型小鼠的脂肪沉积相关。

---

2. **文献名称**: "Development of a polyclonal antibody against human SLC27A2 and its application in cancer cell lines"

**作者**: Chen L, et al.

**摘要**: 报道了一种针对人源SLC27A2 C端结构域的多克隆抗体的制备及验证,通过免疫荧光和流式细胞术证实该抗体可特异性识别乳腺癌细胞中的SLC27A2蛋白,并发现其表达与癌细胞脂肪酸氧化活性呈正相关。

---

3. **文献名称**: "SLC27A2 regulates intestinal lipid absorption: Insights from antibody-based knockout validation"

**作者**: Gupta R, et al.

**摘要**: 利用SLC27A2抗体在小肠组织中进行蛋白质定位分析,结合CRISPR敲除模型,证明SLC27A2缺失会导致肠上皮细胞脂肪酸转运功能受损,提示其在脂质吸收中的关键作用。

---

(注:以上文献为示例性内容,实际引用时需查询真实数据库如PubMed、Google Scholar,并核对原文信息。)

背景信息

The SLC27A2 antibody is a research tool designed to detect and study the solute carrier family 27 member 2 (SLC27A2), a protein encoded by the *SLC27A2* gene in humans. Also known as fatty acid transport protein 2 (FATP2), SLC27A2 plays a critical role in cellular fatty acid uptake and metabolism, particularly in lipid biosynthesis and energy homeostasis. It is a transmembrane protein predominantly expressed in tissues with high lipid metabolic activity, such as the liver, kidney, and adipose tissue. Structurally, SLC27A2 contains an N-terminal AMP-binding domain and multiple transmembrane regions, facilitating its function in activating and transporting long-chain fatty acids into cells.

Antibodies targeting SLC27A2 are widely used in biomedical research to investigate its expression patterns, subcellular localization, and involvement in metabolic disorders, including obesity, diabetes, and non-alcoholic fatty liver disease (NAFLD). They are also employed to explore SLC27A2's potential role in cancer progression, as aberrant lipid metabolism is a hallmark of tumorigenesis. These antibodies are typically validated for applications such as Western blotting, immunohistochemistry (IHC), immunofluorescence (IF), and flow cytometry. Recent studies highlight SLC27A2 as a therapeutic target, driving demand for high-specificity antibodies to support drug development and mechanistic studies. Researchers prioritize antibodies with minimal cross-reactivity to other SLC27 family members to ensure accurate experimental outcomes.

客户数据及评论

折叠内容

大包装询价

×