首页 / 产品 / 抗体 / 一抗

Mouse Monoclonal NAPSA Antibody

  • 中文名: NAPSA抗体
  • 别    名: KAP; Kdap; NAP1; NAPA; SNAPA
货号: IPD30515
Price: ¥1280
数量:
大包装询价

验证与应用

应用及物种
WB 1/500 - 1/2000 Human,Mouse,Rat
IF 咨询技术 Human,Mouse,Rat
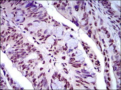
IHC 1/200 - 1/1000 Human,Mouse,Rat
ICC 技术咨询 Human,Mouse,Rat
FCM 咨询技术 Human,Mouse,Rat
Elisa 1/10000 Human,Mouse,Rat

产品详情

AliasesKAP; Kdap; NAP1; NAPA; SNAPA
Entrez GeneID9476
clone10C4B8
WB Predicted band size45.4kDa
Host/IsotypeMouse IgG1
Antibody TypePrimary antibody
StorageStore at 4°C short term. Aliquot and store at -20°C long term. Avoid freeze/thaw cycles.
Species ReactivityHuman,Rat
ImmunogenPurified recombinant fragment of human NAPSA (AA: 20-158) expressed in E. Coli.
FormulationPurified antibody in PBS with 0.05% sodium azide

+ +

参考文献

以下是关于NAPSA(Napsin A)抗体的3篇文献示例及简要摘要:

---

1. **文献名称**:*Napsin A and TTF-1 expression in pulmonary adenocarcinomas*

**作者**:Mukhopadhyay S, Katzenstein AL.

**摘要**:研究分析了Napsin A和TTF-1在肺腺癌中的表达模式,证实Napsin A可作为肺腺癌的特异性标志物,尤其在TTF-1阴性病例中具有互补诊断价值。

---

2. **文献名称**:*Napsin A expression in renal cell carcinomas: a potential diagnostic pitfall*

**作者**:Lin F, Shi J.

**摘要**:探讨Napsin A在肾细胞癌中的异常表达,提示其在诊断中可能导致误判,强调需结合其他标志物(如PAX8)进行鉴别诊断。

---

3. **文献名称**:*Utility of Napsin A in diagnostic pathology: a review*

**作者**:Bishop JA, Sharma R, Illei PB.

**摘要**:综述Napsin A抗体的应用,强调其在肺腺癌与鳞癌鉴别、转移性腺癌来源判断中的关键作用,并讨论其局限性及与其他标志物的联合使用。

---

**备注**:以上文献为示例,实际引用时需核实具体来源及内容准确性。如需具体文献链接或补充,可进一步提供研究方向。

背景信息

NAPSA (Napsin A aspartic peptidase) is a protease enzyme primarily expressed in the lungs and kidneys, where it plays a role in proteolytic processing of proteins. In the lungs, NAPSA is involved in the maturation of surfactant protein B (SP-B), critical for respiratory function. Its expression is largely restricted to type II pneumocytes and alveolar macrophages, making it a tissue-specific marker.

NAPSA antibodies are widely used in immunohistochemistry (IHC) to identify lung adenocarcinomas, as NAPSA is highly expressed in these tumors. It serves as a diagnostic marker to differentiate primary lung adenocarcinomas from metastatic carcinomas, especially when combined with other markers like TTF-1. NAPSA positivity in renal cell carcinomas has also been reported, highlighting its broader utility in tumor subtyping.

Research into NAPSA antibodies has expanded due to their potential role in targeted therapies and molecular diagnostics. For instance, NAPSA expression may correlate with tumor differentiation and prognosis in certain cancers. However, its biological mechanisms in cancer progression remain under investigation. Antibodies against NAPSA are thus essential tools in both diagnostic pathology and exploratory research, bridging clinical applications with ongoing studies into its functional significance.

客户数据及评论

折叠内容

大包装询价

×