| WB | 1/500 - 1/2000 | Human,Mouse,Rat |
| IF | 咨询技术 | Human,Mouse,Rat |
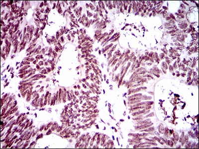
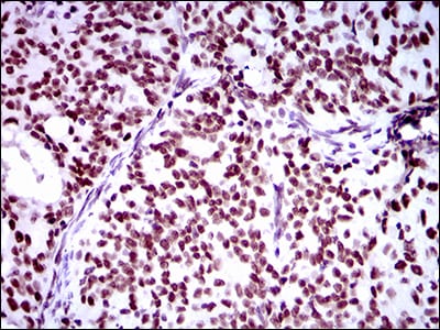
| IHC | 1/200 - 1/1000 | Human,Mouse,Rat |
| ICC | 技术咨询 | Human,Mouse,Rat |
| FCM | 1/200 - 1/400 | Human,Mouse,Rat |
| Elisa | 1/10000 | Human,Mouse,Rat |
| Aliases | RNF1; RING1A |
| Entrez GeneID | 6015 |
| clone | 8C12F4 |
| WB Predicted band size | 42.4kDa |
| Host/Isotype | Mouse IgG1 |
| Antibody Type | Primary antibody |
| Storage | Store at 4°C short term. Aliquot and store at -20°C long term. Avoid freeze/thaw cycles. |
| Species Reactivity | Human |
| Immunogen | Purified recombinant fragment of human Ring1 (AA: 79-263) expressed in E. Coli. |
| Formulation | Purified antibody in PBS with 0.05% sodium azide |
+ +
以下是3篇涉及Ring1抗体的参考文献及其摘要概括:
1. **"RING1B contributes to the oncogenic transformation of hematopoietic cells through epigenetic repression of tumor suppressor genes"**
- **作者**: Sánchez-Beato, M., et al.
- **摘要**: 研究利用Ring1B特异性抗体通过ChIP-seq和免疫印迹分析,揭示Ring1B在血液系统恶性肿瘤中通过抑制抑癌基因(如p16)促进细胞转化的表观遗传机制。
2. **"Polycomb group proteins Ring1A/B link ubiquitylation of histone H2A to heritable transcriptional silencing and X inactivation"**
- **作者**: de Napoles, M., et al.
- **摘要**: 通过Ring1A/B抗体的免疫荧光和染色质分析,证明Ring1蛋白介导组蛋白H2A泛素化,调控X染色体失活和转录沉默的遗传稳定性。
3. **"Role of the polycomb repressive complex 1 in embryonic stem cell differentiation"**
- **作者**: Endoh, M., et al.
- **摘要**: 使用Ring1抗体进行蛋白质敲除实验,发现PRC1复合体中的Ring1B通过抑制发育基因(如Hox家族)维持胚胎干细胞的未分化状态,并在分化过程中动态调控。
4. **"Structural basis for specific binding of Polycomb chromodomain to histone H3 methylated at lysine 27"**
- **作者**: Min, J., et al.
- **摘要**: 结合Ring1抗体进行免疫共沉淀实验,解析PRC1复合体中Ring1B与甲基化组蛋白H3K27的相互作用结构,阐明其靶向染色质修饰的分子机制。
这些文献均通过Ring1抗体的实验手段,探讨了其在表观遗传调控、发育和疾病中的功能。如需具体DOI或年份,可进一步补充检索。
Ring1 antibodies target proteins within the Polycomb Repressive Complex 1 (PRC1), a critical epigenetic regulator. The Ring1 family, primarily Ring1A (RING1) and Ring1B (RNF2), functions as E3 ubiquitin ligases that catalyze monoubiquitination of histone H2A at lysine 119 (H2AK119ub1), a hallmark of transcriptionally repressive chromatin. Ring1B is the predominant catalytic subunit in PRC1. essential for maintaining gene silencing during development, stem cell differentiation, and cellular identity. Dysregulation of Ring1 proteins is linked to cancers, developmental disorders, and metabolic diseases.
Antibodies against Ring1 are widely used to study PRC1 dynamics in chromatin immunoprecipitation (ChIP), immunofluorescence, and Western blotting. They help elucidate PRC1's role in recruiting other repressive complexes (e.g., PRC2) and its tissue-specific interactions with paralogs like PCGF or PHC proteins. Specificity is critical due to structural homology between Ring1A and Ring1B; many antibodies are isoform-selective, validated via knockout cell lines. Commercial variants (e.g., Millipore’s D7B8R, Abcam’s EPR5747) are optimized for distinct applications, such as detecting H2AK119ub1-associated chromatin regions or quantifying PRC1 levels in cancer models. Research using Ring1 antibodies has revealed their oncogenic or tumor-suppressive roles depending on cellular context, highlighting their therapeutic targeting potential in diseases like leukemia or solid tumors.
×