首页 / 产品 / 抗体 / 一抗

Mouse Monoclonal SQSTM1 Antibody

  • 中文名: SQSTM1抗体
  • 别    名: p60; p62; A170; OSIL; PDB3; ZIP3; p62B
货号: IPD30497
Price: ¥1280
数量:
大包装询价

验证与应用

应用及物种
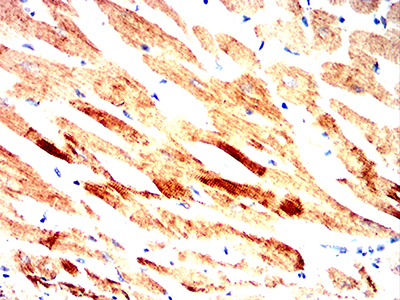
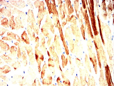
WB 1/500 - 1/2000 Human,Mouse,Rat
IF 咨询技术 Human,Mouse,Rat
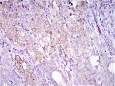
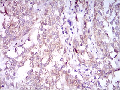
IHC 1/200 - 1/1000 Human,Mouse,Rat
ICC 1/100-1/200 Human,Mouse,Rat
FCM 1/200 - 1/400 Human,Mouse,Rat
Elisa 1/10000 Human,Mouse,Rat

产品详情

Aliasesp60; p62; A170; OSIL; PDB3; ZIP3; p62B
Entrez GeneID8878
clone5H7E2
WB Predicted band size47.7kDa
Host/IsotypeMouse IgG1
Antibody TypePrimary antibody
StorageStore at 4°C short term. Aliquot and store at -20°C long term. Avoid freeze/thaw cycles.
Species ReactivityHuman,Mouse,Rat,Rabbit,Monkey
ImmunogenPurified recombinant fragment of human SQSTM1 (AA: 232-356) expressed in E. Coli.
FormulationPurified antibody in PBS with 0.05% sodium azide

+ +

参考文献

以下是3篇与SQSTM1/p62抗体相关的文献摘要信息:

1. **文献名称**:*p62/SQSTM1 binds directly to Atg8/LC3 to facilitate degradation of ubiquitinated protein aggregates by autophagy*

**作者**:Pankiv S et al. (2007)

**摘要**:该研究通过免疫共沉淀和免疫荧光技术,利用SQSTM1抗体验证了p62蛋白通过LC3结合域与自噬标记物LC3的相互作用,揭示了其在介导泛素化蛋白聚集体自噬降解中的关键作用。

2. **文献名称**:*SQSTM1 mutations in familial and sporadic amyotrophic lateral sclerosis*

**作者**:Fecto F et al. (2011)

**摘要**:通过Western blot和免疫组化技术(使用SQSTM1抗体),研究发现ALS患者中SQSTM1基因突变导致p62蛋白异常聚集,提示其与运动神经元变性疾病的病理关联。

3. **文献名称**:*Defective recognition of LC3B by mutant SQSTM1/p62 implicates impairment of autophagy as a pathogenic mechanism in ALS-FTD*

**作者**:Goode A et al. (2016)

**摘要**:该文献利用SQSTM1抗体进行细胞定位分析,发现ALS-FTD相关突变破坏了p62与LC3B的结合能力,导致自噬功能障碍和神经细胞中异常蛋白积累。

4. **文献名称**:*Validation of commercial SQSTM1/p62 antibodies for neurodegenerative disease research*

**作者**:Thompson AG et al. (2020)

**摘要**:研究系统比较了多种市售SQSTM1抗体的特异性,通过敲除细胞系验证其在人脑组织中的可靠性,为神经退行性疾病中p62病理沉积的检测提供方法学支持。

*提示*:实际引用时建议通过PubMed或期刊官网核对文献详细信息及DOI编号。

背景信息

The SQSTM1 antibody targets the SQSTM1 protein, also known as p62. encoded by the SQSTM1 gene. This multifunctional protein serves as a critical adaptor in selective autophagy, linking ubiquitinated cargo (e.g., damaged proteins, pathogens) to autophagosomes via its ubiquitin-binding domain (UBD) and LC3-interacting region (LIR). It also regulates cellular stress responses, including the Keap1-Nrf2 antioxidant pathway, and modulates signaling cascades such as NF-κB and mTOR. Dysregulation of SQSTM1/p62 is implicated in neurodegenerative diseases (e.g., Alzheimer’s, ALS), cancer, and Paget’s disease of bone, where mutations or altered expression disrupt autophagy or signaling. In research, SQSTM1 antibodies are widely used in techniques like Western blotting, immunofluorescence, and immunohistochemistry to assess protein levels, autophagic flux, or disease-associated aggregates. Elevated p62 often indicates autophagy inhibition, while its depletion may reflect enhanced degradation. These antibodies also help study tumor progression, as p62 overexpression in cancers correlates with metastasis and therapy resistance. Validating SQSTM1 antibody specificity is crucial, as splice variants and post-translational modifications (e.g., phosphorylation) can influence detection. Overall, SQSTM1 antibodies are indispensable tools for exploring autophagy, proteostasis, and disease mechanisms.

客户数据及评论

折叠内容

大包装询价

×