首页 / 产品 / 抗体 / 一抗

Mouse Monoclonal CK5 Antibody

  • 中文名: CK5抗体
  • 别    名: K5; KRT5; DDD; EBS2; KRT5A
货号: IPD30496
Price: ¥1280
数量:
大包装询价

验证与应用

应用及物种
WB 1/500 - 1/2000 Human,Mouse,Rat
IF 咨询技术 Human,Mouse,Rat
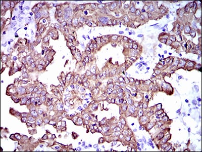
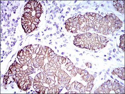
IHC 1/200 - 1/1000 Human,Mouse,Rat
ICC 技术咨询 Human,Mouse,Rat
FCM 1/200 - 1/400 Human,Mouse,Rat
Elisa 1/10000 Human,Mouse,Rat

产品详情

参考文献

以下是关于CK5抗体的3篇参考文献及其摘要信息:

---

1. **文献名称**:*Cytokeratin 5/6 immunohistochemical expression in breast carcinomas*

**作者**:Livasy CA, Perou CM, Karaca G, et al.

**摘要**:研究CK5/6抗体在乳腺癌中的表达模式,证实其作为基底样乳腺癌的特异性标记物,与激素受体阴性及较差的临床预后相关。

---

2. **文献名称**:*Utility of cytokeratin 5/6 in the differential diagnosis of benign and malignant papillary lesions of the breast*

**作者**:Tse GM, Tan PH, Lui PC, et al.

**摘要**:探讨CK5抗体在乳腺乳头状病变鉴别诊断中的应用,发现CK5阴性表达有助于区分良性乳头状瘤与恶性乳头状癌。

---

3. **文献名称**:*Cytokeratin 5 positivity predicts response to platinum-based chemotherapy in triple-negative breast cancer*

**作者**:Rakha EA, El-Sayed ME, Reis-Filho JS, et al.

**摘要**:通过CK5抗体标记分析三阴性乳腺癌,发现CK5阳性患者对铂类化疗敏感性更高,提示其作为治疗反应的潜在预测标志物。

---

4. **文献名称**:*Comparative analysis of CK5 and P63 antibodies in identifying myoepithelial cells in breast lesions*

**作者**:Dabbs DJ, Goyal A, Bshara W, et al.

**摘要**:比较CK5与P63抗体在乳腺病变中识别肌上皮细胞的效果,证实CK5对基底细胞层的高特异性,适用于病理诊断中的肌上皮标记。

---

以上文献均聚焦CK5抗体在肿瘤分型、诊断及治疗中的临床应用,提供关键病理学依据。

背景信息

Cytokeratin 5 (CK5) is a type II intermediate filament protein belonging to the keratin family, primarily expressed in basal epithelial cells and myoepithelial cells of glandular tissues. It plays a structural role in maintaining cellular integrity and resilience. As a marker of progenitor or stem cells in stratified epithelia, CK5 is crucial in studying epithelial differentiation and regeneration. In diagnostic pathology, CK5 serves as a key immunohistochemical marker to identify basal-like breast carcinomas, distinguish squamous cell carcinomas from adenocarcinomas, and evaluate metastatic tumors of unknown origin. Its expression often correlates with aggressive tumor behavior and resistance to certain therapies, such as hormone-targeted treatments in breast cancer. CK5 is frequently co-expressed with CK14. and its absence in luminal epithelial subtypes aids in tumor subtyping. Research also explores its role in skin biology, wound healing, and epithelial-mesenchymal transition. Commercial CK5 antibodies (e.g., clones XM26. D4/1B4) are widely validated for FFPE tissue analysis using IHC, supporting both diagnostic applications and experimental studies in epithelial biology and oncology.

客户数据及评论

折叠内容

大包装询价

×