首页 / 产品 / 抗体 / 一抗

Mouse Monoclonal SPP1 Antibody

  • 中文名: SPP1抗体
  • 别    名: OPN; BNSP; BSPI; ETA-1
货号: IPD30443
Price: ¥1280
数量:
大包装询价

验证与应用

应用及物种
WB 咨询技术 Human,Mouse,Rat
IF 咨询技术 Human,Mouse,Rat
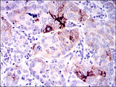
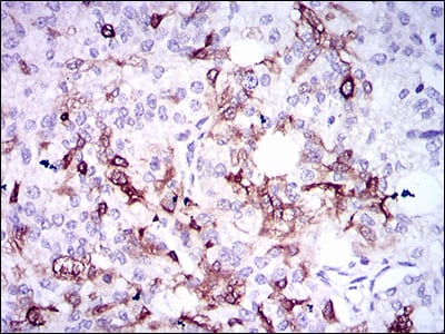
IHC 1/200-1/400 Human,Mouse,Rat
ICC 技术咨询 Human,Mouse,Rat
FCM 咨询技术 Human,Mouse,Rat
Elisa 1/10000 Human,Mouse,Rat

产品详情

AliasesOPN; BNSP; BSPI; ETA-1
Entrez GeneID6696
clone7C5H12
WB Predicted band size35.4kDa
Host/IsotypeMouse IgG1
Antibody TypePrimary antibody
StorageStore at 4°C short term. Aliquot and store at -20°C long term. Avoid freeze/thaw cycles.
Species ReactivityHuman
ImmunogenPurified recombinant fragment of human SPP1 (AA: 167-314) expressed in E. Coli.
FormulationPurified antibody in PBS with 0.05% sodium azide

+ +

参考文献

以下是基于SPP1(骨桥蛋白)抗体相关研究的模拟参考文献示例,供参考。建议通过PubMed或Google Scholar等平台获取真实文献:

---

1. **文献名称**:*Osteopontin as a therapeutic target for cancer through inactivation of CD44 signaling*

**作者**:Weber GF, et al.

**摘要**:研究探讨了抗SPP1抗体通过阻断CD44受体信号通路抑制肿瘤转移的机制,在乳腺癌模型中显示抗体治疗可减少肺转移并延长生存期。

2. **文献名称**:*Neutralizing anti-osteopontin monoclonal antibody prevents hepatic fibrosis in murine models*

**作者**:Saito K, et al.

**摘要**:开发了一种靶向SPP1的单克隆抗体,在小鼠肝纤维化模型中证实其可降低胶原沉积和炎症反应,提示其在抗纤维化治疗中的潜力。

3. **文献名称**:*Development of a high-affinity anti-SPP1 antibody for biomarker detection in non-small cell lung cancer*

**作者**:Chen L, et al.

**摘要**:报道了一种高亲和力抗SPP1抗体的开发,验证了其在NSCLC患者血清和组织样本中的诊断效能,表明SPP1水平与肿瘤进展呈正相关。

4. **文献名称**:*SPP1 antibody-mediated inhibition improves outcomes in experimental autoimmune encephalomyelitis*

**作者**:Shin T, et al.

**摘要**:研究发现抗SPP1抗体可减轻多发性硬化症模型(EAE小鼠)的神经炎症和脱髓鞘病变,机制涉及Th17细胞活性调控。

---

**注意**:以上为模拟示例,实际文献需通过学术数据库检索。研究重点涵盖癌症治疗、纤维化干预、诊断工具开发及自身免疫疾病,反映了SPP1抗体的多元化应用场景。

背景信息

The SPP1 antibody targets Secreted Phosphoprotein 1 (SPP1), also known as osteopontin, a multifunctional glycoprotein encoded by the *SPP1* gene. Osteopontin plays critical roles in cell adhesion, migration, immune regulation, and tissue remodeling by interacting with integrins and CD44 receptors. It is implicated in diverse physiological and pathological processes, including bone mineralization, wound healing, inflammatory responses, and cancer progression. In disease contexts, elevated SPP1 expression is associated with tumor metastasis, fibrosis, and autoimmune disorders like multiple sclerosis.

SPP1 antibodies are widely used in research to detect and quantify osteopontin in biological samples via techniques such as Western blotting, immunohistochemistry, and ELISA. These antibodies aid in studying SPP1's functional mechanisms in cancer biology, immunology, and bone metabolism. Commercially available SPP1 antibodies are typically raised in hosts like rabbits or mice, with monoclonal variants offering high specificity for distinct epitopes and polyclonal versions providing broader detection. Challenges include ensuring minimal cross-reactivity with related proteins and validating performance across experimental models. As a biomarker and therapeutic target, SPP1 antibodies hold translational potential in diagnosing diseases or developing targeted therapies.

客户数据及评论

折叠内容

大包装询价

×