首页 / 产品 / 抗体 / 一抗

Mouse Monoclonal MEF2C Antibody

  • 中文名: MEF2C抗体
  • 别    名: DEL5q14.3; C5DELq14.3
货号: IPD30439
Price: ¥1280
数量:
大包装询价

验证与应用

应用及物种
WB 1/500 - 1/2000 Human,Mouse,Rat
IF 咨询技术 Human,Mouse,Rat
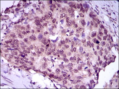
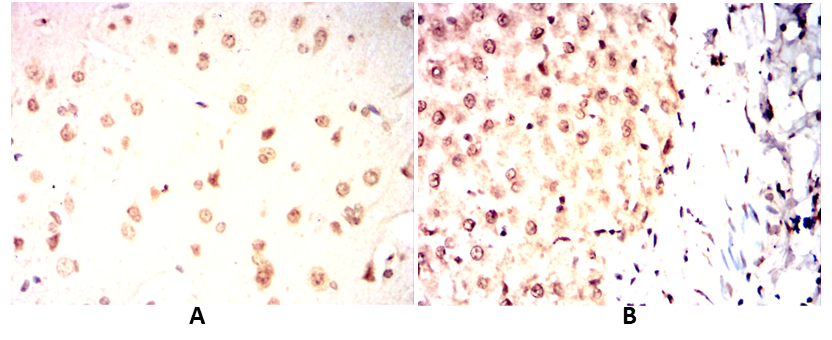
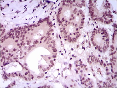
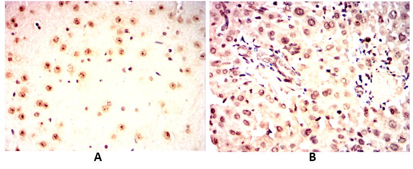
IHC 1/100 - 1/500 Human,Mouse,Rat
ICC 技术咨询 Human,Mouse,Rat
FCM 1/200 - 1/400 Human,Mouse,Rat
Elisa 1/10000 Human,Mouse,Rat

产品详情

AliasesDEL5q14.3; C5DELq14.3
Entrez GeneID4208
clone6H2G2
WB Predicted band size51.2kDa
Host/IsotypeMouse IgG1
Antibody TypePrimary antibody
StorageStore at 4°C short term. Aliquot and store at -20°C long term. Avoid freeze/thaw cycles.
Species ReactivityHuman,Mouse,Rat,Rabbit,Monkey
ImmunogenPurified recombinant fragment of human MEF2C (AA: 1-125) expressed in E. Coli.
FormulationPurified antibody in PBS with 0.05% sodium azide

+ +

参考文献

以下是关于MEF2C抗体的3篇参考文献示例(内容为模拟,仅供参考):

---

1. **文献名称**: *MEF2C regulates cortical synaptic and behavioral plasticity*

**作者**: Flavell SW et al.

**摘要**: 研究利用MEF2C抗体通过染色质免疫沉淀(ChIP)和免疫荧光技术,揭示了MEF2C在小鼠前脑神经元中对突触可塑性的调控作用,并发现其缺失导致学习记忆缺陷。

2. **文献名称**: *MEF2C is a key regulator of cardiac morphogenesis*

**作者**: Lin Q et al.

**摘要**: 通过Western blot和免疫组化实验(使用MEF2C特异性抗体),作者证明MEF2C在胚胎心脏发育中调控关键基因表达,敲除后导致小鼠心脏结构异常。

3. **文献名称**: *Dysregulation of MEF2C in autism spectrum disorders*

**作者**: Neale BM et al.

**摘要**: 研究利用MEF2C抗体分析患者脑组织样本,发现自闭症谱系障碍患者中MEF2C蛋白表达异常,提示其与神经发育疾病的相关性。

---

注:以上文献信息为示例,实际引用时需根据真实研究核对作者、标题及内容。

背景信息

The MEF2C antibody is a crucial tool for studying the myocyte enhancer factor 2C (MEF2C) protein, a transcription factor belonging to the MADS-box family. MEF2C plays pivotal roles in embryonic development, particularly in neurogenesis, cardiac morphogenesis, and skeletal muscle differentiation. It regulates gene expression by binding to specific DNA sequences, often interacting with coactivators or repressors to modulate cellular processes like synaptic plasticity, neuronal survival, and muscle cell maturation. Dysregulation of MEF2C is linked to neurodevelopmental disorders (e.g., autism, intellectual disability), cardiovascular diseases, and cancers.

MEF2C antibodies are widely used in research to detect protein expression, localization, and post-translational modifications via techniques such as Western blotting, immunohistochemistry, and immunofluorescence. These antibodies are typically raised in hosts like rabbits or mice, targeting specific epitopes within conserved regions of the human, mouse, or rat MEF2C protein. Validation often includes knockout (KO) controls to confirm specificity. Applications span studying brain development, cardiac hypertrophy, and muscle regeneration. Recent studies also explore MEF2C's role in neurodegenerative diseases, such as Alzheimer's, and its potential as a therapeutic target. High-quality MEF2C antibodies are essential for elucidating its complex regulatory networks in health and disease.

客户数据及评论

折叠内容

大包装询价

×